冠状动脉钙化 ,又称为冠脉钙化,在老年冠心病患者中非常常见,造影发现比率可达70%。但冠状动脉重度钙化是冠脉介入治疗的堡垒,很多合并有重度钙化的冠心病患者失去了介入治疗的机会而被迫选择搭桥。



北京积水潭医院心内科冠心病介入手术团队
6月24日,北京积水潭医院心内科在医院领导支持及多部门的协调下,学科带头人刘巍主任带领团队王继红,韩昊,兰永昊等成功在该院开展准分子激光冠脉内斑块消蚀术(ELCA)治疗及冠脉旋磨术治疗重度冠脉钙化病变,该技术的成功开展,标志北京积水潭医院心内科复杂冠状动脉介入技术再上一个台阶,并为更多的冠心病患者带来福音。
刘巍教授是以特殊人才方式引进积水潭医院心内科的新一代学科带头人,也是在准分子激光治疗复杂冠脉病变的开拓者,曾于2015年同我国著名心血管病专家北京安贞医院周玉杰教授共同开展全国首例准分子激光冠状动脉介入手术。据刘巍主任介绍,当日完成的这3例复杂冠脉病变均系冠脉严重狭窄合并钙化的病例,这些患者在很多医院都没有介入治疗的可能,只能选择搭桥。
病例一
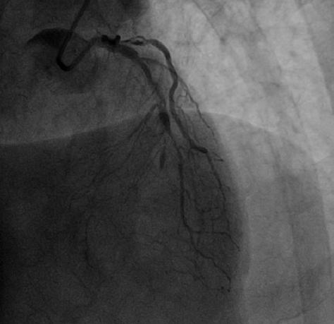
患者为60岁的老年男性,因反复的心绞痛在当地医院进行治疗,冠状动脉造影发现左前降支中段闭塞并伴有严重钙化,当地医院进行反复尝试,虽然导丝可通过闭塞病变到达远端,但是因钙化严重球囊无法通过,无法进一步治疗。
为解决问题,患者辗转于多家医院,均告知很难开通,必须搭桥。之后患者慕名找到刘巍主任。刘巍主任阅片后发现,病变不仅在前降支中段,对角支也有严重狭窄,考虑如果使用旋磨并不能保护对角支血流,所以决定使用准分子激光技术消融斑块开通血管。手术过程非常艰难,由于前降支血管闭塞,之前外院的医生已经对血管进行扩张处理,所以导丝很容易进入到血管夹层中,反复尝试才将导丝经过真腔送至血管远端。使用球囊扩张后,计划使用IVUS检查对前降支进行评估,但由于钙化严重IVUS无法通过,如果勉强植入支架,支架肯定膨胀不良,后果不堪设想。
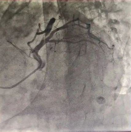
刘巍主任团队应用0.9mmECLA激光导管多病变处反复进行高能量消蚀,松解钙化病变,之后成功植入支架,术后效果非常满意。

CAG显示LAD近中段闭塞

激光导管进行销蚀治疗

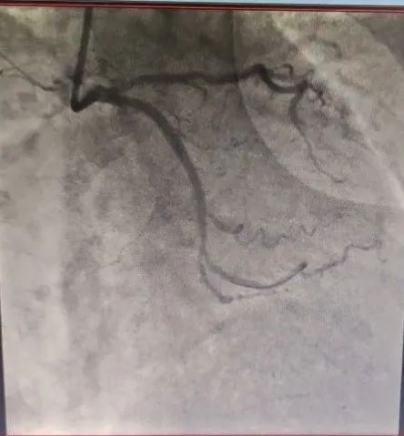
术后LAD显著改善
病例二
患者是一位84岁的老年女性,诊断为急性前壁心肌梗死,就诊时间已超过48小时,错过最佳再灌注时机,并且出现了心力衰竭并发症。医生予以充分优化的药物治疗后,病情逐步稳定,在患者心梗第7天予患者实施了冠脉造影检查,术中显示前降支为梗死相关动脉,左主干及前降支近端严重狭窄(99%)伴重度的钙化,导丝艰难通过后,应用常规介入方法球囊不能通过,刘巍主任团队遂采用准分子激光冠脉销蚀技术,成功开通梗死相关血管,并在前降支-左主干植入支架,患者恢复良好,无介入相关并发症发生。

CAG显示LAD近中段接近闭塞

激光导管进行销蚀治疗

术后LAD显著改善
病例三
患者为78岁女性,主因间断胸闷3年就诊,冠状动脉CTA提示冠状动脉严重钙化,左主干管壁多发钙化,管腔狭窄,前降支严重钙化伴管腔狭窄大于70%,回旋支严重钙化伴有管腔严重狭窄。由于钙化严重,术前刘巍主任团队就做好了充分的准备。冠状动脉造影提示左前降支严重钙化伴有多发斑块管腔偏细,回旋支远段85%狭窄,右冠状动脉全程钙化伴有多发斑块。计划使用IVUS对回旋支狭窄进行评估,但IVUS无法通过近段病变,IVUS提示近段钙化角度大于270°。刘巍主任使用1.25mm磨头对回旋支进行旋磨,旋磨后,球囊及IVUS可顺利通过钙化病变到达远端,IVUS提示管腔弥漫性斑块,斑块负荷重,远段管腔严重狭窄,刘巍主任决定植入支架,经旋磨后,支架可顺利通过钙化病变部位,成功释放,支架膨胀效果良好。术后患者胸闷明显缓解。

冠脉CTA显示LCX狭窄伴钙化

对LCX进行旋磨术

LCX血管狭窄明显改善
准分子激光冠脉消蚀术与冠脉旋磨术治疗冠脉钙化病变是治疗冠脉重度钙化病变的有效手段,二者各具有优势。ELCA是准分子激光冠脉内斑块消蚀术(Excimer Laser Coronary Atherectomy)的简称,它采用波长为308 nm的激光,作为一种冷激光在人体血液的吸收非常少,而在组织中吸收强。ELCA技术主要通过光化学效应、光热效应和光机械效应三种原理达到治疗效果。ELCA技术通过消蚀病变血管内斑块,适用于复杂性及严重钙化的冠脉病变的处理,包括支架内再狭窄病变、静脉桥血管病变、血栓病变、急性心梗血栓病变和冠状动脉慢性完全闭塞病变(CTO)等。相对于旋磨治疗并发症更少,更为安全。
目前,准分子激光冠脉内斑块消蚀术,被行业公认为非常安全有效的冠脉手术治疗方法,也是作为完成复杂冠脉介入手术的一项非常重要的辅助手段。伴随国际医疗技术的更新和发展,北京积水潭医院心血管内科紧跟行业领先水平,高度重视学科建设,注重发展学科前沿新技术,在学科带头人刘巍主任的带领下,致力于将北京积水潭医院心内科建设成为具有国际先进水平的综合心血管中心。在现有基础上,将成立冠心病精准治疗中心,与国外治疗中心合作,将建设成为全国乃至亚太地区腔内影像及冠脉功能学培训基地,在相关领域达到国际先进水平。此外,针对目前老年心脏瓣膜病高发的现状,将与北京安贞医院合作共同成立心脏瓣膜联合诊治中心,实现瓣膜病患者诊断、介入治疗、外科手术治疗及术后康复一条龙诊治流程。
心内科门诊
出诊院区: 新街口院区、回龙观院区
出诊时间: 周一至周五全天
文图丨心内科
编辑丨靳晓方 于淼
校对丨于淼