【以案说医】
反复咳嗽 半年莫名晕厥三十次
四处求诊 名医巧断精治解困境
壹】 咳嗽就晕厥 怪病缠身愁煞一家人
银川有个58岁患者李先生,近半年来出现个怪现象:反复剧烈咳嗽后头晕,随之摔到在地,意识丧失,呼之不应,持续数秒~2分钟左右自行苏醒。
据李先生和家属叙述,李先生醒后四肢活动自如,无言语障碍等。发病时无口吐白沫、四肢抽搐,无恶心、呕吐等症状。令人震惊的是,李先生近半年症状发作30余次,多次住院,不能明确病因。
最后,李先生心灰意懒,不敢工作了,全家一筹莫展。万般无奈,辗转到西安交通大学第一附属医院寻求查找病因。
贰】 全身都是病 众医生会诊难断病因
李先生身体还真是多病缠身, 10年前李先生发现有高血压病,血压高达180/100mmHg,但长期服用降压药,目前保持平稳;7年前,李先生发现有糖尿病,由于李先生“管不住嘴”,虽然药物治疗,但血糖控制不理想。5年前,李先生又因为胸痛发作,在当地医院诊断为冠心病,不稳定心绞痛。给冠状动脉放了2枚支架。他曾有20余年吸烟史,但已戒烟5年。
李先生患高血压、冠心病和糖尿病等都可能引起晕厥。当地医院反复检查,多种治疗,李先生血压、血糖都控制正常,复查冠状动脉造影亦未见支架内再狭窄。但李先生仍反复莫名发作晕厥,真是愁煞全家人,难为了医生。
叁】 运用排除法 “咳嗽就晕厥”还是谜团
根据李先生的发作特点,医院认为李先生是“情景性晕厥”。文献资料显示,这类晕厥常涉及血容量的不足、交感递质不足和外周缩血管功能下降、大血管和心肺压力感受器等不同环节,导致心动过速或过缓、血压下降和脑供血不足,引起晕厥。
李先生家人就想搞清楚,为什么李先生总发生晕厥,到底能不能治疗。
医院开始为李先生进行排查,首先看李先生晕厥发作的时候是否有血压或心率的变化,让李先生剧烈咳嗽,李先生感觉头晕、要发作晕厥,但血压监测无低血压,心电监测除心跳稍快外,未发现明确心律失常及心肌缺血情况,这样排除了血压下降的因素。
医院不放心,又给李先生做了24小时动态心电图,除外了窦性停搏、心脏长间歇现象。
医院给李先生做了冠脉CTA,发现冠状动脉支架通畅,余血管没有大的问题。颈部血管超声和头颅MRA亦未发现明显狭窄。
为进一步明确诊断,医院再做了倾斜试验,发现倾斜体位时李先生未发作晕厥。一时,医生也不知李先生的晕厥到底是何原因,对家属也解释不清楚。
听了医生解释,李先生全家又乌云罩顶,李先生本人也吓得不敢外出,害怕受凉咳嗽,引起晕厥。
肆】 “升主动脉扩张” 张教授灼见拨迷雾
为明确李先生的病因,医院组织了多次会诊,针对提出可能病因一一进行排查,均未找到确切原因。
张玉顺教授认真翻阅了患者的资料,发现近5年来该患者升主动脉逐渐增宽,特别是近1年来,主动脉直径已达45mm以上,他判断患者平常血压控制不理想。
张教授认为,根据国内外研究发现,升主动脉根部明显增宽,房间隔会变短,房间隔摆动加强,如果心房有缺损(房缺或卵圆孔未闭),会加重右向左分流。具体到李先生,普通超声未发现间隔有问题,可以初步除外房间隔缺损,但不能除外卵圆孔未闭。
教授还认为,根据交大近万例诊断经验,有经验的超声医生,普通超声也容易漏诊卵圆孔未闭,交大的阳性率是50~60%。假设普通超声有漏诊,李先生有卵圆孔未闭,在升主动脉扩张的情况下,右向左分流明显。剧烈咳嗽作为一种诱因,进一步加重了右向左分流,导致患者一过性低氧,就有可能引起晕厥。证实这个假设就需要做发泡试验和食道超声心动图检查。
伍】存在卵圆孔 多次验证只求明确结论
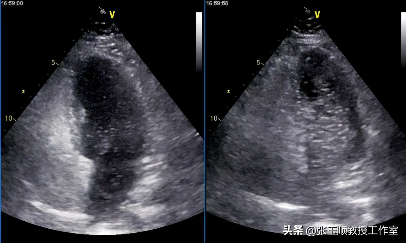
医院立即给李先生安排了发泡试验检查,果然发现静息状态下左心就有中到大量微气泡显影(40-50个/帧),行Valsalva动作后,即刻左心内有大量微气泡,整个心腔都浑浊。这样李先生很可能就有卵圆孔未闭了(图1)。

图1 发泡试验左心大量微气泡
为了进一步确诊,医院又给李先生做了食道超声心动图,发现李先生房间隔飘软,形成房间隔瘤,不但有卵圆孔未闭,还有小房间隔缺损。做食道超声发泡,除外了其他来源,证实微气泡来源于心脏。但是否与剧烈咳嗽后有关,尚需进一步评估(图2、3)。

图2 食道超声:房间隔缺损,卵圆孔未闭

图3 房间隔瘤和巨大卵圆孔未闭
张玉顺团队再次分析病情,李先生本身有房间隔瘤合并小ASD和PFO,平常并无头痛、头晕等症状及晕厥,剧烈咳嗽时才发作晕厥。如果要证实晕厥与房间隔通道有关,应该在李先生剧烈咳嗽后,观察其发作晕厥时右向左分流量,监测其血氧饱和度,看有无低氧血症。
为此,医生再次与家属和患者沟通,起初李先生全家有顾虑,经反复解释,李先生全家同意,在做好各种抢救措施的同时,同意试验性检查。
陆】循因找结果 精准封堵解除晕厥困扰
明确病因的这一天,医院做好了充分的抢救准备,给李先生进行了心电和血氧监测,发现李先生在检查前心率70次/分,血氧饱和度94%。检测开始了,先给李先生注射发泡液体,再让李先生剧烈咳嗽,发现有特别多的微气泡从右心房到了左心房,随之血氧饱和度监测发现,氧饱和度降到了80%~70%,随之李先生意识不清、呼之不应,一会李先生清醒了,其血氧饱和度也恢复了。而李先生的心跳除了加快外,未发现其他异常。看来,李先生的晕厥应该与房间隔异常通道有关。
这时,家人提出李先生从小有先心病,为什么到近几年才发生晕厥?对此,张玉顺教授解释,从李先生多次超声看,其升主动脉在不断扩张,现在已达45mm,扩张的主动脉可以加重右向左分流,如果剧烈咳嗽,分流量较无主动脉扩张会更多(图4)。既往不发生晕厥,可能与升主动脉不扩张或扩张不够大有关。李先生全家理解了,但手术后是否还会发生晕厥,医生不敢完全保证。医患双方最终达成共识,为李先生*房行**间隔缺损和卵圆孔未闭封堵术。

图4 扩张的升主动脉
状动脉造影,发现支架内有轻度狭窄,不需要放支架(图5)。

图5 冠状动脉造影
封堵开始了,由于李先生卵圆孔巨大,张教授团队给其放了两个房间隔缺损封堵器。手术非常顺利。术后李先生第二天就下地正常活动了(图6)。

图6 封堵术后
术后李先生是否还会发生晕厥呢?在术后第7天,医院为李先生再次复查发泡试验,虽然仍有右向左分流,但剧烈咳嗽后再无晕厥发生。
困扰患者多年的难题得到破解,李先生全家及医护人员都非常高兴。
【温馨提示】不是所有情景性晕厥患者都合并有卵圆孔未闭,其原因需要具体分析。
【阅读多一些】
晕厥是指突发、持续时间1~2分钟、自行终止、快速回复的短暂性意识障碍(2017ACC/AHA/HRS与2018ESC共识)。晕厥非常常见,人群调查发现,约40%的人有晕厥发作的经历,老年人占6%。约有30%~50%的晕厥患者需要住院评估。晕厥患者2年内再次发晕厥率为25%,晕厥死亡率为8.4%。晕厥病人常常会不安或焦虑、生活治疗显著下降。晕厥也严重影响到特殊行业如驾驶和飞行等的就业。一般认为,神经介导反射最为常见,占晕厥的60%。多见血管迷走性晕厥、颈动脉窦综合症等。其中咳嗽、排便、中暑、排尿、疼痛、延长站立、喷嚏、吞咽、演奏乐器、举重等原因诱发的晕厥,称为情景性晕厥。
更多消息,请关注张玉顺教授工作室 抖音号
