

黑格骨科应用丨欣适康应用于桡骨远端骨折、骨裂真实案例分享 里出现 左侧桡骨中下段骨折 的小陈同学,在佩戴欣适康4周后已完全康复。
对欣适康,不仅是小陈,连小陈的母亲也非常认可,甚至多次向我们表达了感谢,感谢黑格科技能让小陈以舒适的方式顺利康复。
这是小陈母亲向我们发来的小陈康复后的视频:
视频加载中...
小陈的骨折目前已完全康复,且手腕能够轻松自如地进行活动和锻炼,这恰恰说明了 欣适康产品在为患者带来更舒适康复体验的同时也保证了良好的康复效果。

除了小陈之外,我们还有一位小患者。
6岁的阿宸—— 右尺桡骨双骨折。 骨折发生后,医生迅速为他进行了复位处理,并打上了石膏。


但两天后,阿宸在学校因防护不周导致石膏遇水,继而开始出现 皮肤瘙痒 ——这是因为石膏一旦遇水就难以干燥,与石膏接触的皮肤长期处于潮湿状态,就容易出现 局部细菌感染、溃疡和皮疹 等问题。
一天上课时, 阿宸觉得手臂瘙痒难耐,想用手挠,却挠不着石膏里的皮肤。
这时他突然发现,随着患处肿胀消退,石膏和患肢间出现了空隙,便随手抓起一只笔伸进石膏里,试图用笔来挠痒,结果笔差点掉进去拿不出来。
复诊时阿宸对医生说起此事,医生表示这种情况并不少见,他以前还见过把筷子捅进石膏里的,甚至还有 自己拆开石膏挠痒导致骨折移位最后不得不进行手术的。
由此可以看出,石膏带来的闷热、瘙痒等问题看似很小,但若处置不当,不仅会影响生活质量,还有可能影响整个治疗效果。
那要如何解决瘙痒、挠痒这些问题呢?阿宸父母向医生提出了这个困惑,于是医生向他们推荐了 欣适康腕关节固定器。

换上欣适康后,阿宸的第一感觉就是 轻便、透气 ,而且因为可清洗,患肢瘙痒的情况顿时有了好转,实在忍不住时,也可以用手轻松挠到,不需要再用笔“隔靴搔痒”了。
阿宸父母认真研究欣适康之后,发现这种偏硬的 高分子树脂材质比石膏更为坚固,而且安全无毒 ,哪怕孩子贴肤佩戴他们也非常放心。
欣适康的可调节功能,也让阿宸在佩戴过程中可以随着肢体的消肿情况不断调整松紧程度,使其始终保持 360°贴合肌肤的稳固效果。

最后一次复诊时,阿宸被问到:“佩戴欣适康感觉如何?”阿宸很高兴地说:“我喜欢这个!看起来很酷,而且可以挠痒!”

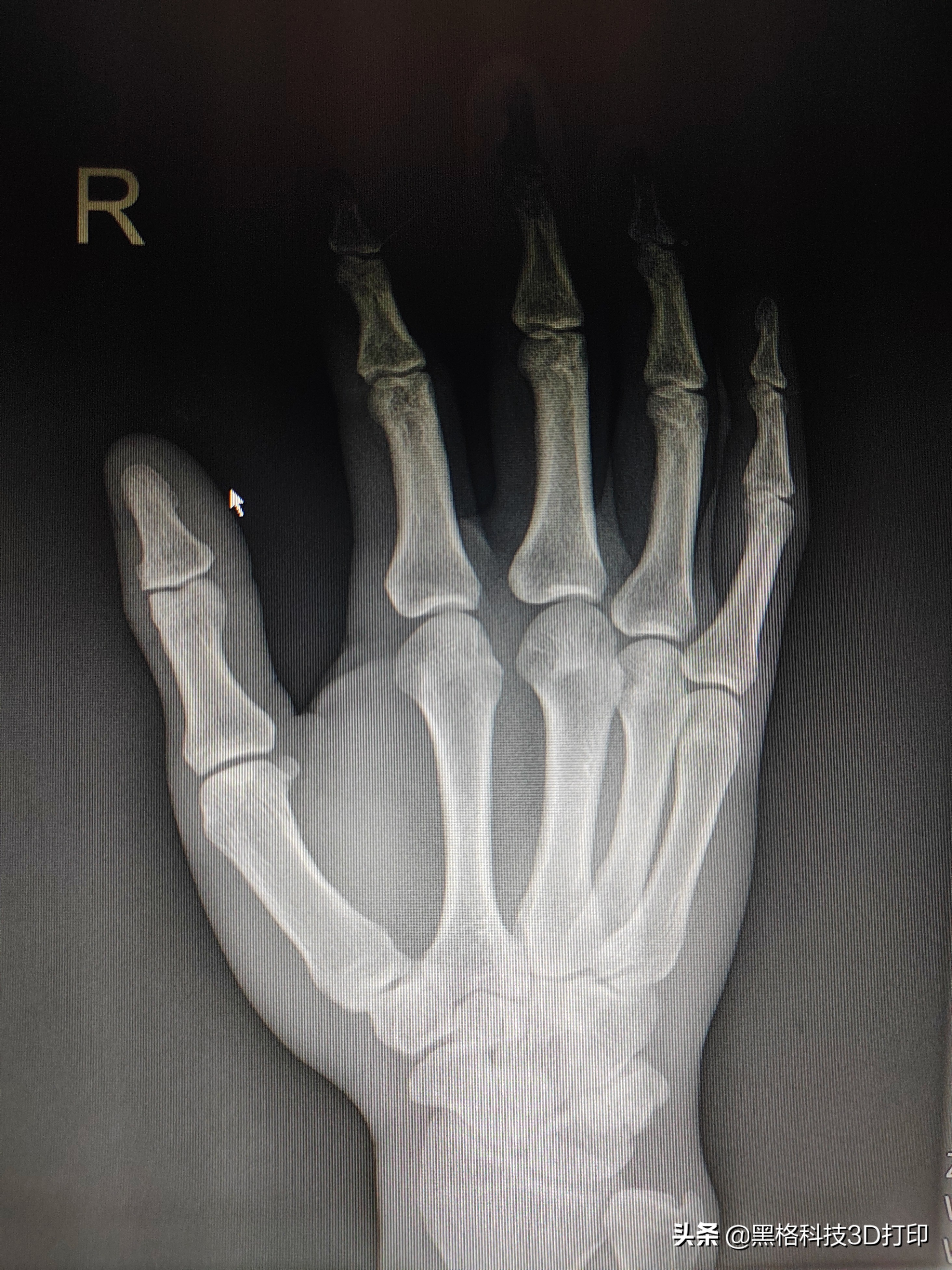
付先生是一家外贸公司的老板,平时不仅要往返各地出差,偶尔还要搬搬抬抬一些货物。
一次搬运过程中,货物突然从高处跌落,为了不让员工受伤,付先生及时接住了货物,结果导致 右手第5掌骨骨折。
因患处无明显移位,医生便直接使用热塑板进行了固定,限制手掌活动以便恢复。

但新的问题随之出现:因为热塑板需手工制作且不能百分百贴合手掌轮廓,只能做一个半托式的掌托再辅以魔术贴和纱布进行*绑捆**和固定。佩戴之后,付先生发现它在生活和工作中多有不便,希望能换上一个更方便工作和商旅的固定支具。
医生根据付先生的需求,为他推荐了欣适康。黑格科技通过扫描付先生的手掌,为他 打印了一款掌骨固定器 ,能够稳定第五掌骨的骨头。

而且佩戴着欣适康也能直接进行X光扫描检查,无需脱下。

付先生换上通过扫描他本人手掌定制出的手掌掌骨固定支具后,日常生活立刻变得方便和轻松多了,不仅不再需要担心热塑板是否会松脱滑落,而且在炎热的天气里摆脱了纱布和魔术贴的束缚,也能更舒适地进行商务活动。

通过以上的案例,我们希望欣适康能够帮助更多患者拥有更美好和更舒适的康复生活。
