病史:女;年龄:8岁;主 诉:睡眠张口呼吸伴打鼾2月余
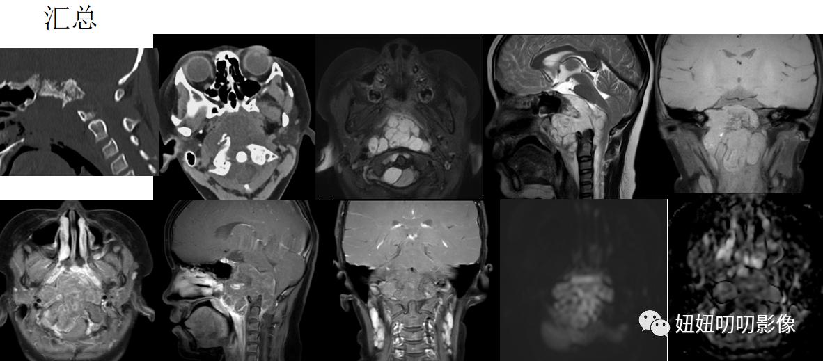
图像:




影像描述:
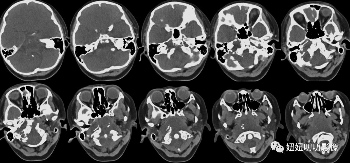
CT:鼻咽、口咽部后壁见一低密度软组织肿块,CT值约29Hu,边界不清,大小约5.8x4.6x6.1cm,内见斑片状高密度灶,包绕枕骨斜坡及右侧岩锥、右侧枕骨,骨质不同程度破坏。双侧咽隐窝、显示不清,病灶向鼻咽、口咽腔内凸出。双侧上颌窦、筛窦、蝶窦、额窦气化良好,窦腔显示清晰,未见明显粘膜增厚。
MRI:
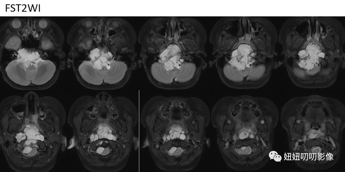
斜坡区见大小约5.6×5.7×6.1cm之不规则长短T1、长短T2信号肿块,其内见T2低信号分隔,DWI呈不均匀高信号,ADC图呈等低信号,增强呈明显不均匀强化,斜坡、枕骨骨质不同程度破坏,肿块向前凸向鼻咽口咽部,并推压斜坡-椎前软组织及双侧下鼻甲后部,局部增厚FS-T2WI呈稍高信号,双侧咽隐窝显示不清,向后压迫桥池及脑干延髓后方脑组织,第四脑室受压变扁,小脑扁桃体变尖下移,紧贴右侧听神经,部分包绕椎-基底动脉。
影像诊断:
CT:鼻咽、口咽后壁巨大软组织肿块,枕骨斜坡、右侧岩锥、右侧枕骨骨质破坏;符合恶性肿瘤CT表现。建议MR检查。
MRI:斜坡区异常信号灶,符合脊索瘤MRI表现,请结合临床及病理学检查。
学生发言:
A:年龄小,CT可见骨质破坏,可见点状钙化,强化轻度环状强化,中线生长,我觉得还是考虑畸胎瘤,虽然没有脂肪;
B:虽然要鉴别鼻咽癌,但是年龄,而且主要是斜坡后面,还是不考虑,斜坡骨质破坏太厉害,中线,强化都支持脊索瘤,虽然年龄确实太小了。
C:还是老三样,不是生殖细胞瘤,淋巴瘤,转移瘤就可以了,不影响手术方式,学好解剖,报肿瘤就可以了。
老师总结:
①:第病理:脊索瘤;
②:颅底脊索瘤较骶椎脊索瘤发病年轻约10岁,30-50岁为好发年龄;脊索瘤生长缓慢,手术切除局部复发率高;
③:脊索瘤无硬化边,强化轻中度,沙砾感,蜂窝状。