何为【猫肾结石】

通常,肾结石在猫体内形成的原因有几个。确定不同的原因会预测结石是哪种类型的。而不同类型的结石,治疗方式也是不同的。
比较小的肾结石,从猫的身上,你可能看不出任何迹象来。有些肾结石,可能会出现在腹部 X 光片上,但是往往发现是因为你给猫治别的病,拍个片子,偶然发现了有结石。
最近很多猫友问我关于猫肾结石的问题,今天宠小爱就跟大家聊聊猫咪肾结石问题。
▽

〖 宠 爱 国 际 病 历 本 〗

- 宠物名:呵呵
- 性别:雄性
- 年龄:3岁
- 品种:英短
- 体重:4.7KG
主诉病史
呵呵第三眼睑增生已经有三四个月,最近来到宠爱国际维尼动物医院进行第三眼睑切除。家长反映呵呵近期虽然掉毛严重,其他未见明显异常。
医院检查
临床检查:
BCS4/9,被毛凌乱,脱毛严重,粘膜淡粉,左眼单侧第三眼睑增生,中度牙结石,心肺听诊尚可,腹部柔软,大量宿便,右侧肾区触诊有痛感。
实验室检查:




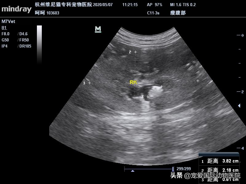
生化检测见肌酐尿素氮升高



B超检测,见右侧肾盂扩张
内有一直径6MM结石




未见明显扩张输尿管,遂镇静造影
初步诊断
右侧肾结石,右侧输尿管堵塞
治疗方案
与呵呵家长商议最终选择手术摘除肾脏
先尽量疏通输尿管
不到不得已不摘除肾脏
术中发现右侧肾动脉无明显搏动
输尿管全程未探及明显结石
切开肾脏取出结石,经肾盂疏通
未见明显输尿管扩张
综上考虑,进行右肾摘除

常规关腹手术

康复回家后的猫咪
病例讨论
在临床案例中,来自于肾脏结石导致的输尿管堵塞情况,猫比犬更常见。
部分患宠肾结石可能会在数小时或数日自行排出,反复进行X光片检查可帮助追踪其过程。若结石引起输尿管阻塞、肾衰竭,或者结石造成输尿管严重损伤等,通常需借助外科手术手段,但因为猫的输尿管特别细,输尿管结石取出手术还需要特殊的放大设备等。
输尿管堵塞部位若临近膀胱位置,可直接切除阻塞部位并将输尿管重新连接到膀胱,若瘢痕存在,则可考虑在输尿管中放入特殊导管,连接肾脏和膀胱(导管可长期放置),此手术难度较大,建议转诊专科宠物医院。
阻塞导致肾脏功能完全受损的情况,可考虑将单侧肾脏和输尿管摘除。若不进行手术,内科治疗同慢性肾衰的治疗方法类似。
宠爱国际治愈康复的多例肾结石 患宠 !

↑猫咪尿结石是猫咪易患疾病之一,根据其患病部位不同而分为肾结石、输尿管结石、膀胱结石和尿道结石。通常情况下,公猫较母猫更易患尿结石。猫咪一旦发生闭尿的情况,它们会在很短时间内出现急性肾衰的情况,还会进一步导致尿毒症的出现等,很多猫咪也都会因此而死亡。

↑膀胱结石,肾结石,肾衰,肝功异常的小黄,血尿严重,体温36℃,寒颤发抖明显,无食欲,严重脱水,三天的治疗体温37.5,食欲正常,精神状态正常,后天复查,但是其实这些只是指标未治本。

↑猫咪突发尿闭,检查发现不仅有肾结石和膀胱结石,还有严重的肥厚性心肌病。通过治疗,出院定期复查保障身体健康。
宠爱国际猫科专业化诊疗中心
猫咪一种性情较为敏感易怒、防卫意识极强的小动物。相对于狗狗而言,猫的体型较小,器官、血管和同年龄段的狗狗相比都要小很多,对宠物医生的水平来说是一个考验。就连最简单的抽血化验,和静脉注射都需要更多细心和耐心。
宠爱国际猫科专业化诊疗中心得益于医院优异的猫病诊断及照护能力,包括猫的慢性口炎及慢性肾衰竭、异物手术、血球血液及气体分析、预防医学及老年猫医学等,给爱猫提供完善的医疗照顾,致力于猫科医疗质量与福利,并针对猫咪特质来教育猫咪家长对于看诊流程的配合,让猫咪能快乐上医院并将紧迫性降至更低。
当您家猫咪遇到危机情况来到宠爱国际后,医护人员会进行犬猫分诊,将猫咪和家长引导到猫咪专属候诊区,在猫咪诊室由熟悉猫咪习性的猫科医生根据具体病情进行专业处理治疗。就诊期间,宠爱国际的助理会用喷了费洛蒙的毛毯、猫屋等贴心举动,最大可能性降低猫咪的应激反应。作为一家宠物医院,宠爱国际永远都会站在守护小动物的第一线。
预防方案及康复后保健措施
一般猫咪结石形成的原因有哪些?
大部分出现结石的原因都与食物有关,有些食物确实较会刺激尿结石的形成,尤其是:
1、以植物为原料的食物(市售一些以蔬菜为原料的猫饲料)。
2、含有矿物质(镁)的食物;亦有利晶体的形成当尿液偏向硷性(Ph值大于7)时,就会容易产生尿结石和晶体,尿结石的大小由砂粒大小到小石块不等,数目也可能由一颗到数颗,这些石头会对膀胱本身造成刺激,因而引起膀胱炎和其典型症状,也可能伴随肾脏结石。
3、水份的摄取量也与尿结石的形成有关,若水的摄取少相对的就会提高矿物质的浓度,减少排尿次数使得尿液停留在膀胱的时间加长,使得矿物质有时间结晶,而形成有利于结石的环境。
猫咪如果有肾结石的话,一般会有哪些症状?
一般会有如下症状体现:
高烧
腹部不适
肾痛
尿液中的带血
尿量变化(增加或减少)
嗜睡
食欲下降
呕吐
体重减轻
怎样预防猫咪患上结石?
1、猫咪多喝水;
2、猫咪多运动;
3、猫咪均衡饮食;
4、猫咪安逸生活。
主治医师
