5月26日,大连医科大学附属第一医院援助青海医疗队队员、心内科副主任医师董志超在与当地医护人员的通力配合下,顺利开展冠状动脉造影术+支架植入术,成功打开了患者闭塞的冠状动脉血管,恢复了心脏冠状血流。这也是青海民和回族土族自治县人民医院成功开展的首例冠状动脉造影术+支架植入术。
医护人员精心治疗、悉心护理,让患者和家属倍受感动。5月29日,两面饱含情意的锦旗送到民和县人民医院心血管内科病区医护及董志超副主任医师的手中。“真诚救治患者、践诺初心医德” “良医高尚解病痛、医术高明暖人心”,虽寥寥数语,却表达出患者及家属对帮扶专家精湛的诊疗技术和医护人员贴心的医疗护理服务的高度赞扬,蕴含着对医护人员仁心仁术的肯定和感激。


间断胸闷气短1月 加重伴胸背部疼痛
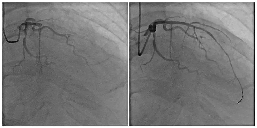
李某某,男,53岁,1月前突发胸闷就诊外院,诊断为冠心病 急性前壁心肌梗死,但就诊时已过急诊再灌注时间窗,且合并有严重心功能下降,心脏超声提示左室射血分数仅为37%,外院考虑患者病情危重,冠脉介入治疗风险较高,予药物保守治疗后出院。但患者出院后仍反复出现胸闷、气短症状进行性加重,伴有胸痛,于是来到民和县人民医院就诊,并入住心血管内科。入院后完善相关检查,考虑冠心病、近期广泛前壁心肌梗死、不稳定型心绞痛、2型糖尿病,诊断明确。大医一院心内科副主任医师董志超仔细查看患者,结合心电图、心脏超声等辅助检查,考虑患者梗死血管为前降支,建议进一步完善冠状动脉造影检查,必要时行冠状动脉支架植入术。

术前谈话
充分论证 周密安排 历时1小时 手术成功
考虑到冠脉造影支架植入手术在当地医院尚属首次开展,5月25日上午,董志超副主任医师及当地心血管内科医生对患者病情进行了充分论证,对术前相关事宜做了周密安排,与患者及家属进行沟通,讲解手术细节,彻底打消患者的顾虑。5月26日上午,在各科室的紧密配合下,董志超副主任医师与当地医护人员全力协作,顺利实施冠状动脉造影和冠状动脉支架置入术,整个手术历时1小时,患者无任何不适,术后患者胸闷、心悸、胸背疼痛症状缓解明显,效果显著。

术中

治疗前(左)及治疗后(右)
冠状动脉造影是诊断冠心病的一种常用且有效的方法,是诊断冠心病的“金标准”。对于冠脉造影发现冠脉有严重狭窄病变的患者,可以在此基础上进行介入治疗,从而通过早发现、早治疗,大大降低心肌梗死和心源性猝死的发生率。
此次冠脉造影及心脏支架植入手术在当地医院的顺利开展,标志着心血管疾病介入治疗在当地医院取得新突破,危急重症患者救治能力迈上新台阶,为民和县域广大心血管患者带来福音,让患者在家门口就能享受到优质、高效、便捷的医疗服务。
大医一院援助青海医疗队将继续凝心聚力、互助奋进,不辱使命、不负重托,无私奉献、敢于担当,用热忱和行动架起生命健康的桥梁,将更先进的理念、更高超的技术带到民和县,有效促进优质医疗资源下沉,发挥医疗“传帮带”作用,助推医学新技术、新理念在临床工作中的运用,助力民和县医疗卫生事业高质量发展,造福当地百姓。