
近日,北京积水潭医院胸外科收治一位女性患者, 6月前查体发现肺部结节,位于右肺下叶背段,为3mm磨玻璃结节(GGO),结节无明显实性成分,当时未做治疗,密切随访6月后复查胸部CT,结节进展为5mm结节,GGO伴部分实性成分。

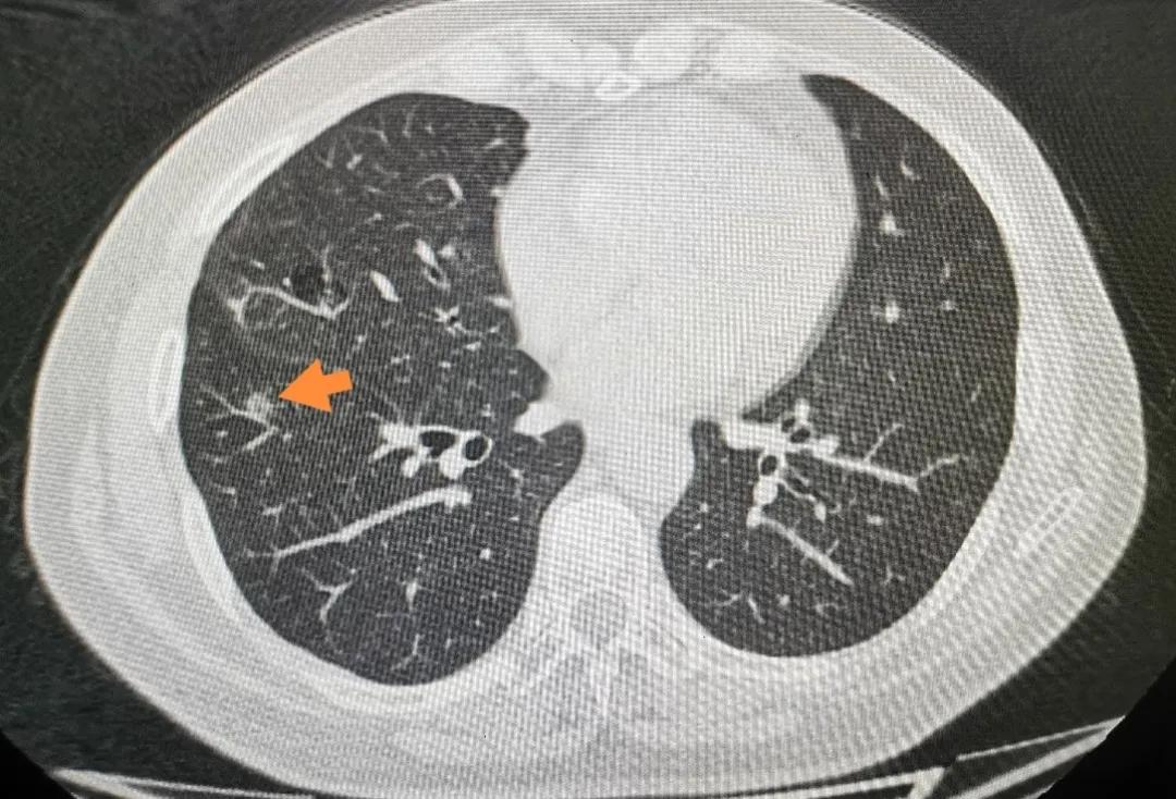
箭头所指即为肿瘤位置

患者6个月随访期间肺部结节有进展性改变,而且结节位置不深(距离肺门较远),经胸腔镜肺楔形手术能够完整切除,切除后对患者肺功能影响较小,建议手术治疗。但是,5mm结节胸腔内定位非常困难,能否通过胸腔镜找到结节是一项非常具有挑战的事情。更雪上加霜的是:患者既往有结核性胸膜炎病史,术中胸膜广泛粘连的可能性非常大,给原本就微小的肿瘤定位又增加了难度。
胸外科与放射科、病理科共同协作,经过完善的术前准备,充分的术前评估,制定了详细的治疗方案。
手术之前首先进行CT引导下经皮肺穿刺定位,在CT引导下将定位针放置在肺结节旁边。但是因为结节较小,而且紧贴靠肺动脉分支,穿刺过程中极容易引起肺内血肿,肺内出血更会加剧寻找结节的难度。在放射科的帮助下,我们通过术前CT定位,将穿刺针放置在结节下方约2cm左右的位置,术中根据定位针的位置在其下方行经胸腔镜肺楔形切除手术,不仅能够保证完整切除结节,且切缘距肿瘤能够保证有足够的距离。

上方箭头所指即为穿刺定位针进针位置;下方箭头所指为肿瘤位置。

箭头所指即为穿刺针定位最终位置
患者因结核性胸膜炎,胸膜广泛粘连,术中仔细分离粘连带,成功定位到肺部肿物,经胸腔镜肺楔形完整切除以后送病理检测。术后病理显示为微浸润性肺腺癌(最大直径<5mm),患者分期为早期,密切随访。

结核性胸膜炎术中胸膜广泛粘连

术后病理结果
随着新冠肺炎肺部CT筛查的开展,大量微小的肺部结节被发现,微小结节的诊疗,已经胸外科门诊工作非常重要的一部分。目前胸外科联合放射科、病理科、呼吸与危重症医学科等相关科室提供多学科诊疗模式的标准化肺癌诊疗方案。随着CT引导下肺结节穿刺定位技术的不断发展,微小结节定位越来越准确,通过精准的定位,让微小结节手术治疗成为可能。在肺部肿瘤早期对其进行完整切除,甚至将肿瘤扼杀在起跑线上。微小肺结节的早期诊断及治疗,极大地避免了肺癌进展及后期放化疗等问题,显著提高患者的生活质量。

积水潭医院胸外科一直致力于肺癌的诊断与外科治疗,近年来,对早期微小结节的诊断与治疗,更取得了非常良好的临床效果。胸外科秉承“精诚、精艺、精心”的院训,在微小肺结节的诊断及治疗中,希望可以帮到更多的患者,在起跑线上战胜肺部肿瘤。
文图丨胸外科
编辑丨靳晓方 于淼