转载。 李永超Li Spine脊柱 2021-10-25 11:17
随着磁共振的出现,脊柱椎管内囊性病变的诊断率逐渐提高。根据解剖特征,最常见的病变部位是 蛛网膜 。
1988 年,Nabors 等提出 蛛网膜囊肿 (arachnoid cysts)分为三型:
- 不含神经根的硬膜外蛛网膜囊肿(I 型)
- 含神经根的硬膜外蛛网膜囊肿(II 型)
- 硬膜内蛛网膜囊肿(III 型)
但Nabor分型并未包括所有的脊膜囊性病变。事实上,硬膜外蛛网膜囊肿通常由硬膜外突形成,因此术语“硬膜外蛛网膜囊肿”(extradural arachnoid cyst)易导致迷惑。
按照解剖特征,有学者将椎管囊性病变分为:
- 与小关节和后部附件相关的囊性病变
- 与椎管前方相关的囊性病变(椎间盘囊肿)
- 脊膜囊性病变

不同位置的椎管囊性病变
一、与小关节和后部附件相关的脊柱囊肿
在椎管中,小关节周围的囊肿根据其解剖位置可分为三类: 小关节囊肿、黄韧带囊肿和后纵韧带囊肿 。而病理学分类可能更为合适,即 真性囊肿(滑膜囊肿) 和 假性囊肿 。
1. 滑膜囊肿 (synovial cysts):具有滑膜内皮细胞,与小关节腔连通并含有滑液。通常与相邻的小关节病变有关,且主要发生在腰段。在MRI上,滑膜囊肿边界清楚、光滑, 位于硬膜外且邻近小关节 。在T1和T2加权像上,囊肿内的蛋白质成份可显示出比周围脑脊液更明显的信号强度(下图)。囊壁可能会钙化,在T1和T2加权图像中呈现低信号,增强后囊壁可见强化。

一名55岁患者腰椎MRI提示L5/S1滑膜囊肿(箭头),右侧S1神经根明显受压。囊肿邻近肥大的小关节突
2. 假性囊肿 (pseudocysts): 假性囊肿或神经节囊肿可能是小关节、黄韧带或后纵韧带囊肿,具体取决于其解剖起源。其与真性囊肿具有共同的症状和影像学特征,但不与小关节腔直接相通。这些囊肿被认为是由脊柱活动中韧带的退变引起(下图)。
一名62岁患者腰椎MRI提示L4-L5平面的椎管内硬膜外黄韧带囊肿(蓝色箭头),绿色箭头为邻近肥厚的黄韧带
在手术策略方面,由于小关节的广泛切除和先前存在的不稳定性,真性囊肿常需置入内固定,而神经节囊肿可通过最小的通路成功地进行单纯切除。
二、椎间盘囊肿 (discal cyst)
椎间盘囊肿是一种罕见的与邻近的椎间盘相通硬膜外囊肿。在MRI上,表现为附着在椎间盘上的腹外侧、硬膜外的囊性肿块,增强后囊壁边缘可见强化。有时,病变可累及至侧隐窝。一般认为其由创伤性纤维环撕裂引起的液体积聚而形成的假性囊肿,其临床症状与椎间盘突出症或其他脊柱囊肿患者难以区分。组织学上,椎间盘囊肿与其他囊肿的主要区别在于椎间盘囊肿壁中缺少内皮细胞。

一名40岁患者的腰椎MRI提示L5/S1椎间盘囊肿(箭头),右侧S1神经根无明显受压。图A是T1加权像;图B为T2加权像
三、脊膜囊性病变
硬膜内蛛网膜囊肿 (Intradural arachnoid cyst)
这些病变似乎是由蛛网膜小梁 (arachnoid trabeculae) 的改变引起的(主要是特发性的,但也可继发于以前的创伤、蛛网膜炎和手术)。大多数位于胸椎,最常见的临床表现为瘫痪、疼痛、步态共济失调和感觉减退。
在MRI上,常发现与脊髓压迫相关的脑脊液等信号硬膜内囊肿,脊髓表面有广泛的扇形凹陷。CT或MR脊髓造影很重要,因为这些病变通常比蛛网膜下腔的其余部分充盈更慢(下图)。治疗主要以囊肿完全切除为主。

胸椎硬膜内蛛网膜囊肿的MR脊髓成像。矢状位T2加权像提示与脑脊液相同信号的硬膜内囊肿伴脊髓受压移位(箭头,图A)。矢状位注射钆对比剂后早期抑脂T1加权像显示病变的确切位置,并显示脊髓表面的扇形压迹(箭头,图B)。 模式图显示了硬膜内蛛网膜囊肿的典型外观(C)。横断位蛛网膜腔注射钆剂后早期(D)和延迟(E)抑脂T1加权像序列显示囊肿缓慢钆剂充填。
对于硬膜的囊性病变,最近出现了类似于血管动脉瘤的分类:
- I 型为囊状硬膜憩室
- II 型为硬膜内外层之间的囊肿
- III 型为梭形硬膜扩张
这 3 种类型可以通过 MRI 上的特征形态来区分。
1. 囊状硬膜憩室 (I 型)
一般被称为硬膜外蛛网膜囊肿或脊膜外侧膨出,表现为脑脊液通过硬膜的缺损形成的硬膜外囊性病变。根据具体位置,可区分2种亚型:
1.1 硬膜囊憩室 Diverticula of the dural sac
主要发生在胸段并通过硬膜颈与蛛网膜下腔连通。在椎管内,硬膜囊憩室位于硬膜囊的后方或外侧,在 MRI 上表现为囊状外突,其内无神经根(下图)。根据它们的大小,它们可能会引起局部疼痛和根性症状。通常需要手术治疗,但在 MRI 上定位硬膜缺损不是必需的。

一名68岁腰痛患者。模式图提示硬膜囊憩室的典型外观(A)。横断位和矢状位MPR FIESTA MR图像提示大的硬膜憩室,通过右侧椎间孔向外延伸,但无明显的脊髓受压(箭头,图B和C)
1.2 神经根袖憩室 Diverticula of root sleeves
历史上称为神经根旁囊肿或 Tarlov 囊肿,这些囊性病变在硬膜和周围神经鞘之间的过渡处与蛛网膜下腔相通。它们可能包含感觉神经根,但多数无症状,累及腰骶部可累及数个神经根 (下图)。

一名73岁左臀部疼痛5个月患者。模式图提示根袖憩室(神经根旁囊肿)的典型外观(A)。黑箭头为通过硬膜缺损的蛛网膜突出。横断面和矢状面T2加权像提示左侧S1神经根袖囊肿,注意神经根的位置,粘附在囊壁(白色箭头,图B和C)
2. 硬膜内外层之间的囊肿 (II 型)
通常认为是解剖性硬膜膨出,腹侧硬膜外囊肿和椎管内蛛网膜囊肿。硬膜内外层之间的囊肿是由于内层硬膜的局部缺损导致内外层硬膜之间的撕裂 。脑脊液可能长时间在硬膜两层之间的积聚而导致囊肿形成。硬膜内外层之间的囊肿主要影响硬膜的腹侧部分,导致脊髓从前方受压(下图)。在有颈椎创伤病史的患者中,硬膜内外层之间的囊肿通常影响靠近颈神经根袖的硬膜外侧部分。诊断的主要的挑战是硬膜缺损的定位,这通常需要 CT 或 MR 脊髓造影。

一名58岁患者,有 5 个月车祸后进行性脊髓病病史。 模式图提示硬膜内外层之间的囊肿的典型外观(A) 。矢状位 (B) 和横断面 (C) 颈椎MPR FIESTA MR图像提示从C4-T1硬膜撕裂,但不伴有脊髓疝
当这些硬膜内外层之间的囊肿与脊髓疝相关时,应考虑先天性或退行性改变。脊髓疝可导致进行性脊髓病,引起脊髓半切综合征Brown-Sequard综合征。在这种情况下,硬膜缺损可以通过MRI很容易定位,因为疝的位置标志着缺损部位(下图)。

一名50岁硬膜撕裂伴脊髓疝患者。模式图和横断位T2加权像提示T4水平脊髓前移(A)。FIESTA图像(B)提示脊髓伴右侧腹外侧硬膜突出(箭头)
与硬膜憩室相反,脑脊液可能会从蛛网膜下腔长期转移至硬膜内外层之间,导致低压综合征( low pressure syndrome)。与硬膜憩室的治疗不同,缺损需要在手术前进行证实。当没有脊髓疝时,通常需要进行脊髓造影后 CT 或 MRI检查。
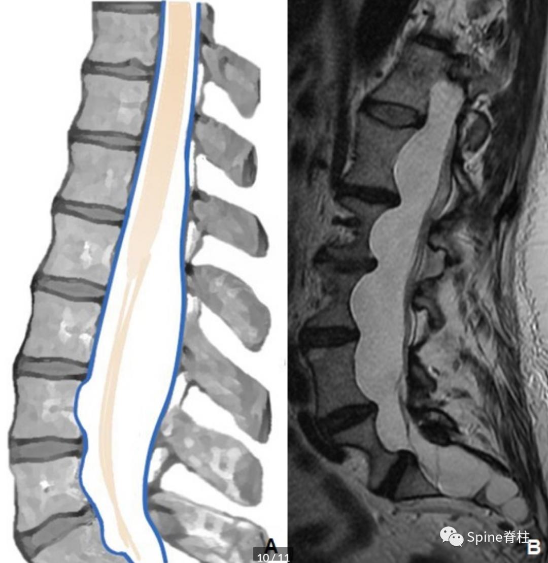
3. 硬膜扩张 (III 型)
硬膜梭形扩张主要见于影响结缔组织疾病如马凡综合征患者的腰骶段。这种表现也可能是强直性脊柱炎和Ⅰ型神经纤维瘤病的特征性表现,可能涉及整个硬膜或个别神经根袖。与硬膜内外层之间的囊肿(II型)类似,硬膜扩张也可导致低压综合征,尤其是马凡综合征患者。MRI上, 硬膜扩张很容易就可识别(下图)。

一名47岁的马凡综合征患者。模式图提示硬膜扩张的典型表现。矢状位T2加权像提示腰骶部硬膜扩张,脊髓圆锥粘附于硬膜后部(B)
单个的神经根袖扩张多见于创伤后或手术后假性脊膜膨出,常见于臂丛神经损伤。在这种情况下,神经根袖的破裂使得脑脊液从蛛网膜下腔漏出(下图)。类似于神经根袖憩室,多数患者是无症状的。

30岁左臂丛神经病变后进行性左侧脊髓病患者。模式图提示右侧假性脊膜膨出的典型外观(A)。横断面STIR提示左侧膨大的神经根袖囊肿压迫脊髓(B)。冠状STIR(B)显示左冈上下肌失神经支配性水肿(箭头)