个人体会:
阿米巴脑膜脑炎在寄生虫病教材中有一小段描述,属于肠外阿米巴病少见的类型。下面的病例中,丰富了教材中没有提供的脑脊液涂片细胞病理学特征。
============
福氏耐格里阿米巴是一种营自生生活的阿米巴原虫,存在于淡水水体、淤泥、尘土和腐败植物中。福氏耐格里阿米巴有滋养体和包囊2个生活阶段,滋养体又有阿米巴型和双鞭毛体型两种。福氏耐格里阿米巴偶然也可以营寄生生活,致病形态为阿米巴型滋养体。
耐格里阿米巴属一种致病的自生生活阿米巴。活动的滋养体呈长阿米巴形,常向一端伸出宽大奔放的伪足,另一端较细小,为伪尾区。侵入人体可引起原发性阿米巴脑膜脑炎。通常在人游泳或接触污染的水体时侵入鼻腔穿过鼻粘膜和筛状板,经嗅神经入脑 。
病例介绍
患者性别:男
患者年龄:44岁
简要病史:
室内游池游泳后发热咳嗽,5天后高热、意识障碍送急诊。
体格检查:
体温为39.8℃,心率为120次/分,血压120/90mmHg,呼吸20次/分。
患者处于昏迷状态。
脑干反射与肢体刺激反射存在。
无颈项强直,无皮疹。
辅助检查:
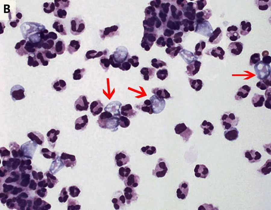
腰椎穿刺,结果显示脓性脑脊液(A图)

2083个有核细胞/μl(91%中性粒细胞)
葡萄糖水平为4.8mmol/L(2.2-3.9)
蛋白质水平477mg/dl(10-45)。
Wright–Giemsa染色法镜下检查发现阿米巴滋养体(图B)

聚合酶链反应鉴定为福氏耐格里阿米巴原虫
临床诊断:福氏耐格里阿米巴原虫脑膜炎
治疗经过:
两性霉素、利福平、氟康唑、阿奇霉素和米替福新
患者在发病5天后死亡。
=====
病例述评
病因
感染人体中枢神经系统引起原发性阿米巴脑膜脑炎只有福氏耐格里阿米巴。耐格里原虫首先进入人体鼻腔,通过嗅神经上皮的支持细胞,以吞噬方式摄入,然后沿着无髓鞘的嗅神经终丝轴系膜空间,穿过筛板后,到达含有脑脊液的亚蛛网膜空间进行增生,并由此扩散而入侵中枢神经系统。病理变化主要为化脓性脑膜脑炎和出血坏死性脑炎,形成出血性坏死和脓肿等组织病理学特征。原虫可进入脑室系统到达脉络膜的神经丛,引起脉络膜神经炎与急性室管膜炎。

临床表现
本病潜伏期较短,一般仅为3~5天,最多为7~15天。早期会出现味觉和嗅觉异常,此为病原体侵入的反应。常以剧烈头痛、高热、喷射性呕吐等症状开始,继而出现全身性或局限性癫痫发作,并有明显的脑膜刺激症状,如颈强直、克尼格征及布鲁津斯基征阳性等。多数在数天内转入谵妄、瘫痪及昏迷。有些患者还会出现运动失调,定向力障碍,行为、性格改变和精神错乱。患者常在1周内因严重脑水肿,导致呼吸、循环中枢衰竭而死亡。
检查
1.实验室检查
血中白细胞总数升高,以中性粒细胞为主,核左移,脑脊液呈脓性或血性,白细胞计数增高,培养无菌,但可查到福氏耐格里阿米巴。常用方法有:①直接涂片法;②培养法;③动物接种法。
2.其他辅助检查
CT检查,脑部显示有弥漫性密度增高区域并累及灰质。脑部及脑脚间处的脑池间隙闭塞,大脑半球上部环绕中脑和蛛网膜空间的亚显微结构均消失。
诊断
可从以下几方面加以诊断:
①流行病学史,多在夏季发病,起病前5~7天,曾在不流动的湖水或温热水中游泳;
②有上述中枢神经系统病变的临床表现;
③CT检查,脑部显示有弥漫性密度增高区域,并累及灰质。脑部及脑脚间处的脑池间隙闭塞,大脑半球上部环绕中脑和蛛网膜空间的亚显微结构均消失;
④腰椎穿刺,显示颅内压明显增高,为2.94~6.37kPa(300~650mmH2O,脑脊液中红细胞计数增高,多形核白细胞百分率增高,蛋白质增加,糖含量下降。
脑脊液镜检或体外培养确认为福氏耐格里阿米巴滋养体,才能确诊。
治疗
本病病死率极高,病程很短,一般在一周内死亡,预后极差。早期诊断与及时治疗十分必要。目前尚无肯定有效药物。静脉滴注与鞘内注射高剂量的两性霉素B和咪康唑联合使用可能有效。在治疗过程中应检测血清肌酸酐及尿素氮,防止出现肾损害。口服利福平或静脉滴注磺胺异恶唑可增加疗效。一般抗阿米巴药物无效。
==========
英文朗读
在关联视频号中有这两段音频朗读

若感兴趣可以去听听
