最近,滨州医学院附属医院成立了保髋专病门诊,那么什么是“保髋”治疗?这个专病门诊主治哪些疾病呢?下面一起来了解一下吧。

髋关节是我们人体主要的负重关节,为人直立行走立下汗马功劳,但有些人的髋关节却因多种疾病而可能无法正常工作,从而严重制约了正常的生活和工作。
诸如被冠以“不死癌症”的股骨头坏死,很多人都认为股骨头坏死无法治愈,最终不得不“换关节”来治疗。
其实,人工关节置换是在股骨头坏死的病程到了晚期(股骨头严重塌陷,关节间隙变窄,“骨刺”形成),通过各种治疗方法不能缓解疼痛,尤其是对于年龄大于60岁的股骨头坏死的患者来说是一种疗效最为肯定的方法。而股骨头坏死多见于中青年,人工关节置换又存在一定的使用寿命(90%的病人可以使用20年左右),同时髋关节置换的年轻患者由于使用年限较短、翻修率较高、不能参加活跃活动及中重度体力劳动,其远期疗效不尽理想。那有没有不换关节的方法治疗股骨头坏死呢? 这就是我们要讲的股骨头坏死的保髋治疗。
什么是股骨头坏死保髋治疗呢?
股骨头坏死的保髋治疗就是指通过保守(如扶双拐、服用药物、避免负重等)或手术的方法,保留患者自身的股骨头,保留自身关节功能、推迟或避免关节置换的治疗方法。目前手术治疗是股骨头坏死保髋治疗的主要手段。保髋的适应症主要适合中青年股骨头坏死患者,股骨头坏死范围大但未塌陷,或股骨头塌陷早期(ARCO II期和III期),主要是通过清除坏死骨,然后植骨,促进骨坏死的修复,从而延缓股骨头坏死进展,推迟甚或避免人工髋关节置换术。股骨头坏死保髋治疗的关键在于早期诊断和早期治疗。
滨医附院骨关节外科一直致力于治疗股骨头坏死的全程治疗,针对坏死的不同分期选择不同的治疗方法,效果显著。为了顺应早中期股骨头坏死保髋治疗的国内外主流治疗理念,科室在学科带头人刘明廷教授的带领下,精心打造了专业的保髋团队,采用最新的髋关节外科脱位技术,彻底清理死骨、*压打**植骨的方法治疗早中期股骨头坏死,取得了良好的效果,为广大早中期股骨头坏死的患者带来了新的希望。
成立保髋专病门诊也是为了能够为股骨头坏死的患者提供全方位的诊疗服务,通过保髋专病门诊的专业知识,能够做到股骨头坏死的早期诊断、早期保髋治疗,延缓或治愈股骨头骨坏死。
髋关节的疾病是多样性的,许多疾病最终的治疗都是人工关节置换。那么,保髋治疗难道仅仅适用于股骨头坏死吗?答案是否定的,保髋治疗的方法可以适用于多种髋关节的疾病。
1.成人髋关节发育不良
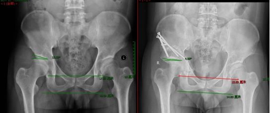
髋关节发育不良(developmental dysplasia of the hip, DDH)是指髋关节发育过程中出现的各种畸形,包括股骨头和髋臼的发育不良、髋关节半脱位以及髋关节脱位三种情况。正常的髋关节发育有赖于股骨头与髋臼之间的稳定性。成人髋关节发育不良多见于女性,有些患者毫无症状,仅仅在拍X线片示偶尔发现。大多数患者在20-40岁之间出现症状,早期症状表现为髋关节活动时的隐痛和酸胀不适感,长时间的行走后会加重疼痛症状,部分患者休息后不见缓解。髋臼周围截骨术能够有效地改善髋臼的覆盖、增盖加负重的关节面,使髋关节的旋转中心内移、减小髋关节负重面软骨的应力,从而达到预防和推迟骨关节炎发生目的。(如下图:该患者采取PAO手术,术前髋臼对股骨头包容差,头臼力学分布不均,术后明显增加了包容,生物力学分布更加合理)

2.髋关节撞击症
髋关节撞击症是特指一类以髋关节解剖结构轻度异常为特征的疾病,这种异常的撞击,导致盂唇和软骨的退变,最终形成髋关节骨关节炎。多因关节不匹配(关节发育不良)的运动后或关节匹配但长期不当运动而发生。对于FAI的治疗目前临床上首推髋关节镜治疗,可以微创清除增生的骨组织,但是对于髋关节发育不良伴有髋股撞击的需在行髋臼周围截骨基础上同时切开关节囊进行头颈成形术,可有效缓解症状。另外对于单纯髋股撞击综合征并且髋关节周围增生明显的患者,可以采取髋关节外科脱位入路,在保护股骨头血供基础上将股骨头脱出,直视下360°观察股骨头和髋臼,进行有效彻底的处理。(如图髋关节撞击,股骨头颈部增生,呈现Gam畸形,髋臼盂唇损伤)

采取外科脱位入路将股骨头脱位,可以360°观察股骨头及头颈部情况并同时可以了解髋臼盂唇损伤情况,同时可以对盂唇损伤进行处理。
3.其它髋关节相关疾病
以往对于髋关节疾病可能采取SP入路、KL入路等进行开放性治疗,但是存在显露不充分和股骨头坏死风险,髋关节外科脱位入路在保留股骨头血供前提下将关节脱位,可以360°观察股骨头及髋臼情况,可以彻底处理关节内相关疾病,如关节镜无法彻底处理的髋骨撞击综合征、髋关节滑膜软骨瘤病、髋关节滑膜血管瘤病、髋关节绒毛结节性、Perthes病遗留的髋关节疾患等,为保髋治疗提供一利器。
专家简介

刘明廷
滨医附院骨关节外科、运动医学科主任,大外科副主任,主任医师、教授。从事外科临床、教学,科研工作30余年,主要从事骨关节外科常见病多发病的诊断与治疗,在膝关节、肩关节镜手术治疗上有丰富的经验。
专家简介

孟 涛
主治医师。擅长运动损伤的诊治及运动医学研究,在人工髋膝关节置换、膝关节多发韧带损伤的关节镜微创治疗、髋关节疾病的关节镜治疗方面有颇深造诣,近年来在骨关节炎早中期保膝手术、股骨头缺血坏死中早期保头手术、髋关节发育不良早中期保髋手术取得优秀成果。
专家简介

张寿涛
医学博士,副主任医师。在膝关节骨关节炎、类风湿性关节炎、各期股骨头缺血性坏死、成人髋关节发育不良、膝关节半月板损伤、前后交叉韧带损伤、膝关节内外侧副韧带损伤、肩周炎、肩袖损伤等疾病的诊治方面积累了丰富的经验,熟练掌握早中期股骨头坏死保头手术、髋关节发育不良早中期保髋手术、膝关节骨关节炎保膝手术、髋膝关节置换及翻修、关节镜下半月板切除及缝合修复、前后交叉韧带重建、内外侧副韧带修复重建等手术。
专家简介

石 辉
医学博士,硕士研究生导师,副主任医师。在膝关节骨关节炎、髋关节发育不良、类风湿性关节炎、股骨头坏死、膝关节前后交叉韧带损伤、内外侧副韧带、半月板损伤的诊疗方面积累了丰富的临床经验。尤其在股骨头坏死的保头治疗、成人髋关节发育不良早期保髋治疗、膝关节骨关节炎保膝治疗方面经验丰富。人工关节置换及翻修、关节镜下前后交叉韧带重建术、内外侧副韧带修复重建、半月板缝合术等手术技术娴熟。
作 者:滨医附院骨关节外科、运动医学科,石 辉
觉得喜欢就告诉我们,你“在看”