蛀牙从牙齿发黑,到出现牙洞,小牙洞会发展成大牙洞;牙齿由缺损一小块开始,一点点脱落……最后变成一个残留牙根,如若不能及时制止牙齿的这些病变,任其发展,失去的不仅是一颗牙,更是整个口腔健康。

经常有家长问医生,小孩牙齿都烂成这样怎么办呢?是修补还是拔了?
☞现代牙医的观念是能保留的尽量还是保留下来!如果坏得特别厉害,应该是伤及到了牙髓,可以先做根管治疗,消除病因和炎症,然后做个牙冠保护起来,尽量不拔牙。
坏牙是否应该拔掉
◆牙齿伴随我们的一生,而蛀牙是牙齿最常见的疾病。龋坏的牙齿应尽可能修补,除非坏得特别严重,没有挽救办法,才考虑拔除。蛀牙不一定都需要拔掉,即使拔掉之后也需要进行间隙管理。
重度龋齿的解决方法
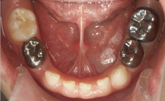
◆一般的蛀牙都能通过修补很好的解决,如果牙齿龋坏过于严重,牙洞深又大,做完根管治疗后,只是补牙就不太适用了,而需要做乳牙的预成冠。

◆乳牙金属预成冠跟恒牙烤瓷冠修复一样,一般用于乳牙做完根管治疗以后。许多家长不理解做牙冠的意义,它可以将整颗治疗后牙齿保护起来,阻断外界刺激,防止再次长蛀牙和补料的脱落,另一方面,恢复患牙完整性和外观。
牙齿去留的选择
◆龋坏严重的牙齿,在保留上,我们尽量听取牙医的建议。
◆王佳医生提醒:龋坏发展严重,或者有特别复杂的情况,才会建议拔牙,不想严重到这种程度,就一定要早预防、早治疗,这样节省不少时间和花费。
◆牙齿是我们身体很重要的一部分,承担着全部咀嚼力量,没有人愿意失去牙齿,所以要好好保护和珍惜自己的每一颗牙齿!
◆牙好,胃口就好!
作者:王佳(重庆医科大学附属口腔医院儿童口腔科)
关注我们的微信号:your-camp,进行免费咨询,看看我们是否可以帮助你的孩子。