患者男,65岁,主因腹部胀痛不适伴恶心、呕吐、肛门停止排气10天,病情加重,肛门完全停止排气3天以肠梗阻收住入院。
入院后一边按照肠梗阻治疗,一边行进一步检查。腹部增强CT检查提示回盲部占位,考虑为恶性病变,已侵犯回盲辦导致全小肠梗阻扩张,并可见明显气液平面,肿瘤周围系膜可见肿大淋巴结;化验检查血清癌胚抗原(CEA )48ng/ml,血红蛋白105g/l,其它检查除电解质紊乱外大致正常。请消化内科会诊后患者及家人拒绝行肠镜等检查,拒绝行支架支撑等保守治疗,要求尽快行根治性手术治疗。

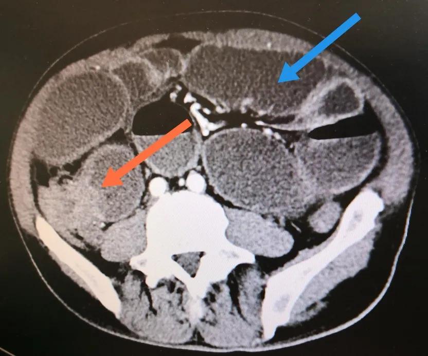
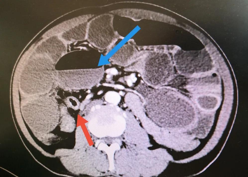
粉红色箭头所示为回盲部肿瘤,已侵犯回肠未端导致全小肠梗阻

蓝色箭头为小肠梗阻后所形成的气液平面,红色箭头所指为空虑的结肠
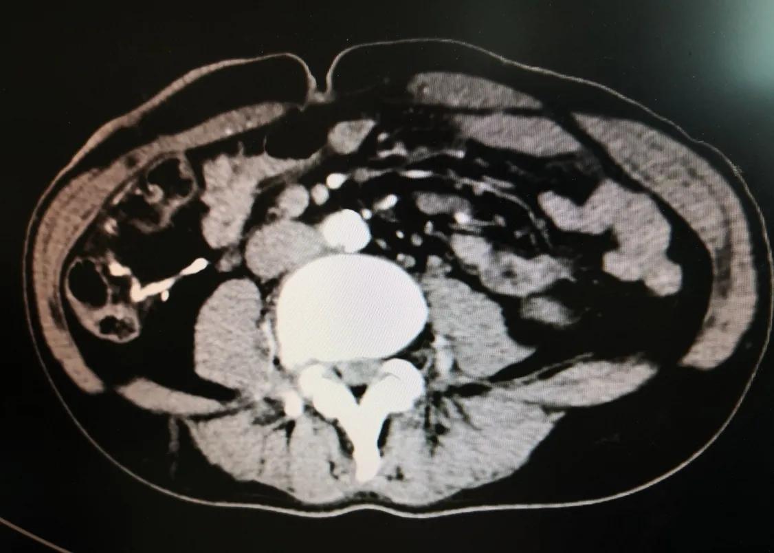
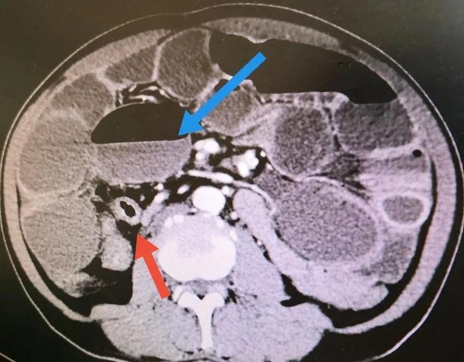
患者经积极营养支持、纠正水电解质紊乱等治疗后,经积极术前准备行梗阻肠管减压及灌洗、腹腔镜探查及右半结肠癌根治术。术中先选定预造瘘口,此位置作为预设的肠管减压、回肠未端造瘘及肠吻合位置。术中先从此位置切一长约5㎝切口,先行梗阻小肠减压和生理盐水灌洗,减压和灌洗完毕见小肠血运良好,肠壁轻微水肿,考虑根治术后,可以进行横结肠与空肠吻合。随后用医用手套密闭切口建立气腹,在腹腔镜下完成右半结肠癌根治术。术后两周复查腹部CT,未见明显异常,病人进食正常,营养状态明显改善。

术后复查CT
术后病理检查:管状腺癌,中分化,肿瘤直经约5㎝,局部癌组织坏死,肿瘤侵犯浆膜外脂肪组织,可见脉管癌栓,未见明显神经侵犯,上下切缘未见癌侵犯,淋巴结转移(0/48)。

术后病理检查报告

术后病理图片
目前结肠癌梗阻的治疗并无固定的治疗模式,需要根据病人的全身情况,医院的条件以及医生的经验和能力来进行综合判断和考虑。手术应该遵循个体化的原则,创造条件力争一期手术切除肿瘤,解除梗阻以提高治愈率。对于年轻大、全身情况差、有远处转移的病人,可先行支架支撑治疗或造瘘,待病人全身情况好转后,对没有远处转移,全身情况允许的病人再行根治性手术。当然有一部分肝脏转移的病人还可以行同期手术。对于术中肠壁水肿明显,血运差的病人,一期吻合后吻合口漏的可能性较大,应根据病人情况在根治术后先行临时造瘘,后期根据病人情况再行肠吻合手术,从而减少并发症的发生。