病史信息:
- 患者,男,53y;
- 主诉:鼻塞1年,检查发现颅内动脉瘤9天
- 现病史:患者近1年来感鼻塞不适,行副鼻窦CT发现“蝶窦类圆形略高密度影”,行鞍区MRI检查示“蝶窦内异常信号、考虑颈内动脉动脉瘤可能。遂入院进一步检查。
- 既往史:既往10年前有左侧头面部外伤史,遗留左侧动眼神经麻痹表现。
- 神经查体:神志清,精神可,语言清楚,查体合作。左侧眼裂小,左侧瞳孔直径3mm,形状不规则,对光反应迟钝,左眼颞侧视野缺损,左眼视力0.2,右眼1.0,右侧瞳孔直径3mm,对光反射灵敏。双侧眼球活动无明显受限。
- 查体影像:MRI检查示“蝶窦内异常信号;考虑颈内动脉动脉瘤可能”。

诊断:
左侧颈内动脉动脉瘤
手术材料:
- 6F 90cm cook;
- 115cm 6F Navien;
- Synchro2;
- WILLIS® 4.0×10mm。
术前造影:


左侧颈内动脉C3段大动脉瘤,大小约23*11mm,瘤颈长度7.4mm,载瘤动脉远端直径约3.8mm,近端直径约4.2mm。
手术过程:
患者取仰卧位,常规消毒铺巾,Seldinger技术穿刺右侧股动脉,穿刺右股动脉,导丝引导下置入6F 90cmcook长鞘,在0.035泥鳅导丝导引下,将125cm多功能导管及6F Navien导管同轴导入左侧颈内动脉,再将长鞘跟入颈内动脉颈段。
重新行3D造影,根据目标动脉瘤及载瘤动脉选择角度,路图下在0.014 Synchro2微导丝引导下将WILLIS®覆膜支架(4.5*16mm)准确定位至左侧颈内动脉C3动脉瘤位置。


6F Navien导管超选至动脉瘤远端,微导丝引导下WILLIS®支架到位。



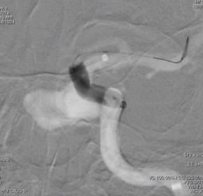
球囊首次扩张,支架展开,首次造影图示动脉瘤近端贴壁不良,有造影剂渗漏至动脉瘤腔内,故再次充盈球囊扩张支架近端。


再行造影见动脉瘤不显影,无造影剂渗漏,血管重建满意。

3D重建图示支架贴壁良好。
术后体会:
- 患者10年前头部外伤史明确,考虑动脉瘤形成与颅脑创伤有关,局部动脉管壁受损。动脉瘤体积大,血流量大,普通支架+弹簧圈填塞难以完全栓堵动脉瘤,术后极易复发,且需要高额花费。
- 载瘤动脉位于海绵窦前膝部,内径较均匀,无分支血管,但有一定弯度,如使用覆膜支架,释放难度高,有贴壁不全风险。但覆膜支架可以重建血管壁,完全治愈动脉瘤。
- 综合考虑并结合自己丰富的临床经验,术者决定克服困难,使用WILLIS®覆膜支架进行手术。故术中选用4.5×16mm WILLIS®覆膜支架,以期治愈动脉瘤。
医生介绍
王志刚 山东大学齐鲁医院青岛院区