巩勇医生门诊信息

门诊时间:周一至周五 9:00-17:00
预约咨询电话:010-5927 7060
近期和睦家神经外科 — 典型小儿颅脑损伤病例:一个3个月的男童,在父亲抱着时,突然保护带脱落,从怀中(约1.5米高处)坠落,头部着地,地面为水泥地面,伤后昏迷时间不详,伴有哭闹、烦燥、恶心、呕吐2次,呕吐物为进食后母乳。余未见异常,患儿精神差。可触及右枕顶部头皮肿胀明显。
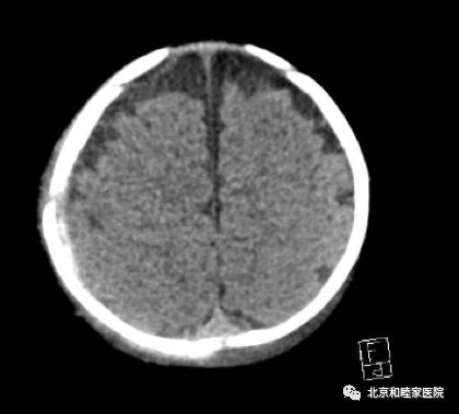
为求进一步治疗,家长带孩子来和睦家急诊进行头颅CT检查,诊断结果显示:右颞、枕、顶骨多发分离骨折伴右侧人字缝部分分离;右颞顶部硬膜外血肿。右顶骨骨折,右颞枕及顶部头皮下血肿。随后患儿收住小儿神经外科ICU接受治疗,完善各项检查,予保守治疗,经过全科医护人员精心治疗,现患儿恢复良好。

患儿入院头颅CT影像

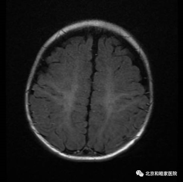
患儿一周后头部MRI影像

患儿两个月后头部MRI影像
小儿颅脑损伤的流行病学特点
小儿颅脑损伤是14 岁以下儿童死亡的最常见原因。5岁以下是一个发病高峰期。目前仍缺乏关于儿童颅脑创伤的详细流行病学资料。坠落伤和交通事故是儿童颅脑创伤最主要的致伤原因。年龄越小,坠落伤引起的儿童颅脑创伤比例越大,随着年龄的增长,与车辆相关的意外伤逐渐取代坠落伤成为致伤的主要原因。
在我国,随着社会的快速发展,儿童户外活动日益增多,但儿童的危险意识淡漠和自我保护能力差,几乎所有儿童活动的地方和时间内都可能发生颅脑创伤,其发生率呈逐年上升趋势。
小儿颅脑损伤的发病原因
引起儿童颅脑损伤的主要原因是:
-
坠落
-
撞击
-
新生儿颅脑损伤主要由产伤引起

小儿颅脑损伤的分类及分型
-
原发性脑损伤:包括脑震荡,脑挫裂伤,原发性脑干损伤,硬脑膜外血肿,硬膜下血肿,多发血肿或混合性血肿,脑室内出血等。
-
继发性脑损伤:包括脑移位或脑疝引起的压迫性损伤,弥散性脑肿胀和脑梗死等。
分型:
-
根据哥拉斯格昏迷评分分型:根据伤后神经体征表现(哥拉斯格昏迷评分)可将其分为3型:轻型(13~15分);中型(9~12分);重型(3~8分)。
-
按损伤的程度分型:也可将分为4型:
轻型:无颅骨骨折,且意识丧失不超过30min。
中型:颅骨骨折,轻度脑挫裂伤,或伤后意识丧失达30min至12h。
重型:所有颅内血肿,脑挫裂伤,脑干损伤,意识丧失12h以上或意识障碍逐渐加重者。
特重型:伤后深昏迷伴去大脑强直,出现双瞳散大,生命体征严重紊乱或呼吸已近停止者。
小儿颅脑损伤的诊断
行头颅X线正侧位片和头颅CT或头部MRI检查,可以明确诊断。

小儿颅脑损伤的救治特点
监测各项指标:主要有动态监测颅内压、血糖、血气、渗透压、电解质、尿量等;对于重型小儿颅脑损伤患者最好有设备精良的小儿ICU病房。
注意纠正低血容量或休克:小儿血容量少、头部血容量在体内占的比例大,对失血耐受性及对血压调节能力均差,所以易发生低血容量性休克。发生低血容量性休克后,使脑灌注压降低,加重脑缺血缺氧,引起一系列继发性脑损害。
急性期高血糖的防治:颅脑外伤后高血糖是导致小儿早期死亡或致残的重要原因之一,严格控制外源性葡萄糖的摄入,尽量使用低糖溶液。注意液体张力。
癫痫防治:小儿神经系统处在发育阶段,对颅内血肿脑挫裂伤等刺激的抑制能力低,故比成人易发生癫痫。
重视康复期治疗: 小儿对外伤的修复能力较强,如能度过急性期 多能恢复较快,预后较好;加强营养和功能锻炼,促进机体的恢复。
医生简介

神经外科医生 项勇
副主任医师
巩勇医生2001年毕业于湖北医药学院临床医学系,之后于2012年从遵义医学院神经外科专业取得医学硕士学位。2013年北京大学医学部EMBA毕业。2015年首都医科大学神经介入学院,YASSARGIL显微神经外科学习班毕业。2018年2月在昆明陆军总医院全军神经脊柱中心学习毕业。
巩医生擅长颅脑创伤、神经血管疾病、神经脊柱、颅颌面美容修复的诊断及治疗,对急诊科、烧伤美容整形科、神经外科的临床工作具有丰富的经验。
巩医生曾在在北京宣武医院、首都医科大学附属北京安贞医院、*警武**总医院、北京大学第三院进修学习。先后在专业期刊发表论文十余篇。加入和睦家医院后,同凌峰教授、张鸿旗教授、焦力群教授、菅凤增教授、陈革教授、李桂林教授等专家共同开展了神经血管各类疾病治疗。并取得业内及业外的广泛认可。