一、概述。
气管、支气管异物是儿科常见的急重症之一,多发生于5岁以下儿童,3岁以下最多,约80%。
因异物性质和所致气道阻塞的程度不同,导致的后果也不同。
- 轻者:气管、支气管和肺损伤。
- 重者:窒息、死亡:5岁以下儿童死亡的主要以外创伤之一;1岁以内幼儿意外死亡中40%为呼吸道异物所致。
二、异物种类
按来源
- 外源性:最常见占99%,多经口、鼻误入外界物质而致病。我们平时所指的气管支气管异物均指外源性异物。
- 内源性:仅占1%,指呼吸道内的假膜、干痂、血凝块、干酪样物等堵塞。
按性质
- 植物性:最常见占92%,以可食性异物为主,其中花生米、瓜子和豆类等坚果类约占80%。
- 动物性:约占3%,以骨头最常见,其次为肉类。
- 其他:约占5%,如弹簧和金属丝,塑料笔帽、纸片和口哨等。
三、病因与发病机制
本病儿童多见,偶见于成人。其原因为
1、小儿发育特点
小儿磨牙发育不全(3岁以下未萌出)咀嚼功能不完善,不能将花生、瓜子、豆类等硬物嚼碎;吞咽协调功能、喉的保护功能和咳嗽反射功能不健全。
进食时小儿容易分心,如笑、玩耍、哭闹,跌倒时,容易将异物吸入气道。这是导致气管、支气管异物最常见的原因。
2、异物本身的特点:体积小,表面光滑。
3、不当的救治措施
4、全麻或者昏迷的病人:咽反射消失,未取下的假牙,或者呕吐物容易被吸入气道。
5、精神病病人和企图自杀者。
(4 ,5 为成人支气管异物发病常见原因)
异物停留的部位与异物性质、形状,解剖特点等因素有关
- 声门或者气管异物可立即出现气道痉挛、呼吸困难、窒息等,尖锐或者不规则的异物容易停留于此。
- 光滑而质轻的异物,常随着呼吸气流上下活动。
- 由于解剖因素关系,右侧主支气管与气管纵轴间形成的角度较小且管腔粗短,故异物易落入右侧,因此右侧支气管异物的发病率高于左侧。
- 对于小儿来说:右侧支气管易进亦易出,经过患儿多次反复的咳嗽,异物自右侧支气管反复咳出至气管, 异物重返时,右侧支气管因水肿,不易进入。最后,异物进入左侧支气管,左侧不易进,但亦不易咳出,遂固定于左侧支气管。 而且因左侧支气管较细,气流速度快,吸力大等原因,所以较小的异物容易流入左侧支气管。

四、病理变化
异物进入气管、支气管后,所引起的病理变化,与异物的性质、大小,阻塞部位、存留的时间长短及有无感染等因素有关。
异物的性质
- 植物性异物:如花生、大豆含游离脂肪酸可刺激呼吸道粘膜引起急性弥漫性炎症反应如粘膜充血、肿胀、分泌物增多,可有发热等全身症状,严重者可发展为肺内感染。
- 动物类、金属类异物:对粘膜刺激性较小,但表面粗糙生锈的金属异物,对粘膜刺激性较大,可产生肉芽组织而阻塞支气管管腔。
异物的停留时间
- 异物存留愈久,危害愈大,尤其是刺激性较强。容易移动变位或在支气管内形成阻塞的异物。
- 异物长久存留加重支气管阻塞,形成肺气肿,肺不张,肺部的炎症也逐渐扩大。波及同侧或对侧的其他肺叶,发生肺炎、支气管扩张、肺脓肿及脓胸等。
- 肺气肿严重者,可导致肺泡破裂,而发生纵隔气肿、气胸或者皮下气肿。
异物停留在支气管内,据阻塞程度,可发生两种情况
不完全阻塞:异物较小,局部粘膜肿胀较轻导致气道部 分受阻——吸入时由于支气管官腔扩张,空气可吸入,而呼气时管壁回缩,管腔变小,空气排 出受阻,因此肺远端出现肺气肿。

即:不完全阻塞——引起肺气肿
完全性阻塞:异物大、存留时间长,粘膜肿胀明显时,使支气管完全阻塞,空气吸入呼出均受阻,远端肺叶内空气逐渐被吸收,最终导致阻塞性肺不张,病程长时,远端肺叶引流不畅,可并发支气管炎或肺脓肿。

即:完全性阻塞——引起肺不张。
五、临床表现
气管、支气管阻塞为呼吸道阻塞的急症,尤其是对儿童功能影响较为严重,应及时诊断和处理。
多数病例有明确的异物吸入史及临床症状和体征,常立即或数天内就诊,如异物吸入史不明,症状体征不显著,则可能误诊数月甚至数年。此点必须引起高度重视。
1、气管异物:异物进入期,症状剧烈,突然发生剧烈的呛咳、憋气,作呕,呼吸困难甚至窒息。
2、支气管异物:症状变化较大,有的异物在支气管内数年可无症状, 但若堵塞双侧支气管,可短时间内出现窒息死亡。
病程分期(2018年中国儿童气管支气管异物诊断与治疗专家共识)
1、异物进入期:患儿有呛咳、喉喘鸣、憋气、作呕或痉挛性呼吸困难等症状。
2、无症状期: 时间长短不一,与异物的性质、感染程度有关,此时由于症状不典型易漏诊、误诊。
3、症状在发期:异物刺激和感染引起炎性反应,分泌物增多,咳嗽加重,出现呼吸道炎性反应或高热症状。
4、并发症期:表现为肺炎、肺不张、哮喘、支气管扩张,肺脓肿等。
由于缺氧,可使肺循环阻力加大,心脏负担加重而并发心力衰竭。
当肺气肿严重或咳嗽剧烈时,可导致细支气管破裂而并发气胸,纵隔气肿或皮下气肿,气管异物取出术也有并发气胸的可能。
六、检查方法
胸部透视:动态观察——纵隔摆动
胸部X线片:深吸气末、呼气末双期正位片。
CT扫描:常规扫描+MPR重建,仿真内窥镜。准确率高达99.8%
可弯曲支气管镜检查:诊断金标准之一。但支气管镜属于有创检查,具有一定的危险性,儿童患者不宜配合而难以操作。操作不当容易引起气胸、喉水肿等严重并发症。
七、影像检查方法
X线检查:胸部透视,胸部正位X线检查。
CT
X线检查:
不透光异物。
透光异物:普通X检查不能直接显示,X线胸部检查可无异常。可观察有无间接征象。
(注:透光与不透光指的是能否被X光穿过,能即为透光,如花生、瓜子等,不能即为不透光,如金属异物等)
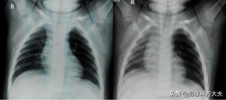
病例1、病史:女1岁6月,3天前有异物呛入史。

图1 图2
图1及图2左肺均有肺气肿表现;图1为吸气像纵隔居中,图2为呼气相纵隔向右侧(健侧)移位,即:纵隔摆动。提示左侧支气管有异物存在的可能。
病例2、病史:患儿,女,一岁半,吃花生米出现呛咳一小时入院,临床初步诊断“气管异物”

胸部透视图
胸部透视发现左肺有肺气肿表现,吸气像纵隔居中,呼气后纵隔右移,即:纵隔摆动;连续变换体位发现右肺下野有片状高密度影,提示有肺不张或肺炎的可能。综上提示右肺下叶支气管可能存在异物。
病例3、病史:患儿,1岁,近日出现咳喘,不缓解。无明确异物吸入史。3

图3 图4
图3及图4左肺均有肺气肿表现;图3为吸气像纵隔居中,图4为呼气相纵隔向右侧移位,即:纵隔摆动。提示左侧支气管有异物存在的可能。
X线检查:纵隔摆动
任何原因导致的气道阻塞均可造成两侧胸内压力差增大,可出现纵隔摆动现象,然而体征在气管支气管异物患者中出现率低于40%;患儿哭闹、不配合检查,很难掌握其呼吸气象,分别摄吸气像和呼气的成功率很低。
综上,出现漏诊的概率极高。即使确诊,也不能将异物存在的具体部位直接显示。
CT检查
多层螺旋CT联合三维重建技术对诊断气管支气管异物敏感性及特异性较高。
可明确诊断支气管异物,可作为支气管异物术前定位定性诊断手段,对指导气管镜异物取出术具有重要意义。
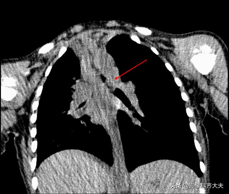
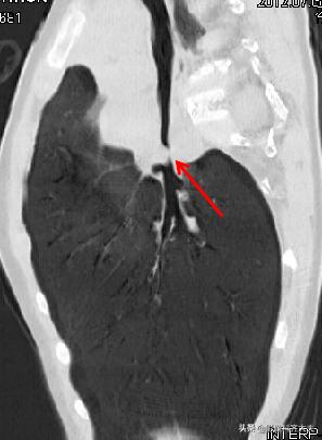
病例1、病史:患儿,女,一岁半,咳喘两周,病前有“开心果”吸入史。

图为轴位及冠状位重建图显示异物:红色箭头为异物的位置,冠状位显示尤为清晰。
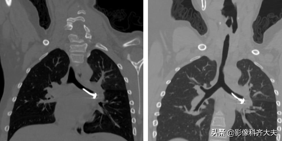
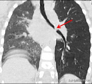
病例2、病史:患儿,男、1岁9个月,咳喘20天。家属否认异物吸入史。

图为正位普通X线片,显示左侧明显肺气肿改变,提示左侧支气管异物可能,因家属否认异物吸入,遂进一步做CT确诊。

CT冠状位重建明确显示左侧自气管阻塞,有明确异物的存在,红色箭头所示。
病例3、病史:患儿,两岁半。咳嗽近一个月,外院按支气管炎治疗半个月无好转。询问家属是否有吃东西呛咳病史,家属回忆一个月前还在好像吃过花生,瓜子,但不能完全确定。

图像显示在气管分叉的位置有一“瓜子”形异物的存在,尤其是冠状位显示更明显。
病例4、病史:患者男、13岁,误食“钉子

轴位图

冠状位图
通过以上病例可见:CT的MPR冠状位,可直接发现异物的位置,形状和大小,以及邻近组织区域变化。
病例5、病史:女,1岁,咳喘12天无好转

轴位图
轴位显示左肺明显肺气肿,左侧支气管似有异常。为进一步明确诊断,遂进行CT三维重建

进行MPR(多平面重组)冠状位重建,清晰显示左侧左侧支气管有异物。

最小密度投影重建对于异物的显示更加清晰,红色箭头所示。
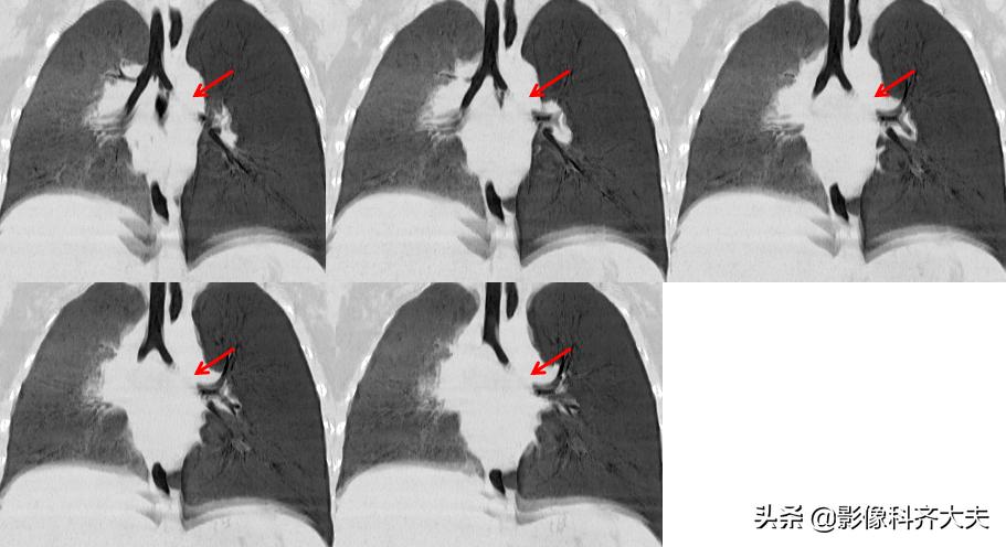
病例6、病史:女,两岁,吃花生时喝水引起呛咳。

轴位显示左侧支气管疑似异物,红色箭头。

冠状位重建清晰显示左侧支气管异物,红色箭头所示。

最小密度投影显示的更加清楚。

这是CPR(曲面重建),即单独对左侧支气管进行重建显影,清晰显示异物。

曲面重建后在进行最小密度投影重建,异物显示的更加清晰。
病例7、病史:患儿,女,16个月,吃饭呛咳,来院就诊。(图片来源:邯郸市第一医院)

图中CT轴位扫描及MPR冠状位重建,清晰显示左左侧支气管异物,红色箭头所示。
MinIP(最小密度投影重建)可准确直观显示异物的形态、大小、位置、堵塞程度等各种相关情况。可有效弥补X线胸片和常规CT诊断上的不足,作为支气管镜前筛查和手术定位的重要依据。
MinIP(最小密度投影)对气管、支气管等低密度组织的组织结构较为敏感,可清晰显示气管、支气管的解剖结构,异物情况,气管支气管形态,病变情况等等,效果显著优于X线平片和轴位CT,可为支气管镜取异物提供重要参考。
胸部CT及三维重建在气管支气管异物患儿检查中可以进行相关诊断:
1)是否有支气管异物。
2)异物是否阻塞气道。
(1)不完全阻塞是否出现因为活瓣机制 出现远端肺气肿。
(2)完全阻塞是否出现肺不张。
3)是否有肺炎发生。
4)是否出现颈部皮下气肿、纵膈气肿和气胸等并发症。
5)异物史不明确、而临床症状和体征疑似异物时,明确是否存在异物及相关并发症。
可明确诊断支气管异物,有利于病情的准确判断。
可作为支气管异物术前定位定性诊断手段,对指导气管镜异物取出术具有重要意义。