#生命摆渡人# #我的2022# #2022重庆头条#
今天这位患者,有点特别。40余年吸烟史,严重的伤害了肺及其功能,也一定程度上诱发了左肺的鳞状细胞癌( 肺鳞癌也是肺癌的一种病理类型,肺癌分为小细胞肺癌和非小细胞肺癌,鳞癌是非小细胞癌的一种,占肺癌总数的25%-30%,是肺癌中第二高发的类型,仅次于肺腺癌,而我们常说的磨玻璃肺结节即为肺腺癌 )。
鳞癌患者多为长期吸烟的中老年人,会表现出咳嗽、咳痰、痰中带血等情况。对于早期鳞癌没有淋巴结转移,也没有远处器官转移的时候,手术治疗是首选的治疗方法,切除后预后较好。
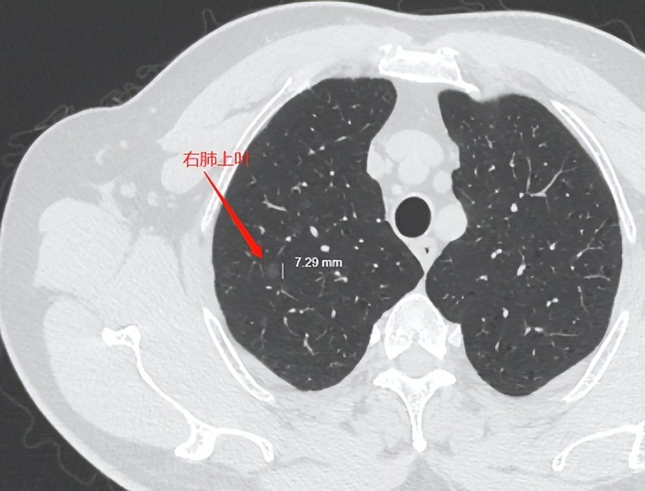
至于右肺的8mm磨玻璃肺腺癌,持续随访观察即可,还介于非典型增生到原位之间,非常安全,5年内应该没有危险,短时间内无需手术。
以下转自患者家属咨询:
2022-05-10
尊敬的戴主任,很抱歉占用您的个人时间,麻烦您帮我看下我父亲的这个结节还需要进行手术切除么?
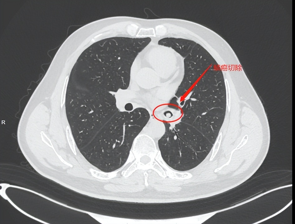
病患情况:40余年吸烟史,Ⅱ型糖尿病,2022年2月体检发现右肺上叶可见斑点状、磨玻璃样高密度结节灶,左侧主支气管内可见结节灶,直径约0.8cm(4月份支气管镜检测为鳞癌),2022年4月因咳嗽住院,经过胸部CT(128肺+心脏)检测,右肺上叶散在少许斑片状磨玻璃结节灶,边缘模糊。左肺下页支气管开口区见结节状软组织密度灶。经过支气管镜取病理检测,确诊为乳头状鳞状细胞癌(非角化)。
2022年4月底我们在省会肿瘤医院进行了住院检查(CT胸部平扫+增强),发现右肺上叶尖段见磨玻璃结节,大小为8mm*7mm,CT值为-738.4HU,左肺下叶外基段见5mm*5mm小磨玻璃结节,CT值为-679.2HU(该结节已被手术切除)。之后做过PET-CT检查显示未转移。主治大夫确定手术方案为袖状切除肺左下叶,目前我父亲已做完手术出院恢复,病理结果显示低分化乳头状鳞状细胞癌,出院诊断为左肺下叶癌(PT1AN0M0),区域淋巴结状态:支气管周(0/1),7组(0/2),9组(0/1),10组(0/1),11组(0/3),我申请做了肿瘤8基因检测(实测51种基因)和PD-L1伴随诊断检测,目前结果未出。
术后由于实在不放心,我在肿瘤医院挂了肺小结节多学科门诊,几位专家诊断为AIS,要求6个月后随访。由于刚做完手术除了定期检查,未做化疗及其他辅助治疗的手段。所以想咨询下戴主任。
1、右肺上叶的磨玻璃结节是哪一种类型?如果该结节真的是恶性,我父亲刚做完手术,估计无法近期再进行手术,想知道有没有可以控制的方案,等待恢复后再进行手术切除。
2、对于低分化的早期鳞癌,想问下戴主任,为了防止复发转移,是否还需要进行术后的辅助治疗方案,我在网上查阅到有MRD检测方案,这个检测有必要做么。希望能得到戴主任的回复。
谢谢您,戴主任,麻烦您了!!!
一、04.06胸部CT(128肺+心脏):
检查结果:


入住肿瘤医院(CT胸部平扫+增强):


PET-CT结果:

我的回复:
左侧亚厘米鳞癌,预后非常好的,90-95%的根治率,不需要任何后续治疗。
右侧磨玻璃结节,介于非典型增生到原位之间,还非常安全,5年内应该没有危险,安心随,不长大不管。