大肠癌包含结肠癌和直肠癌,容易发生转移,最常见的浸润形式是局部侵犯,肿瘤侵及周围组织或器官。另外,有四分之一的病人,发现时就合并有肝转移;此外,还有四分之一的病人做完手术半年以后,发现有肝转移,所以,肝转移在大肠癌很常见,总共约占50%。

(肠癌肝转移示意图)
结直肠癌肝转移治疗手段很多,包括手术治疗、消融、立体定向放疗(SBRT)、全身静脉化疗、介入治疗、靶向和免疫治疗等。手术是结直肠癌肝转移的核心治疗方式,手术治疗后5年生存率约42%,非手术治疗仅为9%。初始可切除患者5年生存率是48%,初始不可切除,但经过转化治疗使肿瘤缩小,最终进行手术切除的患者5年生存率也可达32%。但不是所有结直肠癌肝转移患者都适合手术,有些患者因为肝转移数目多、分布散在、存在肝外转移等,或者身体状态等原因无法外科手术,因此,以射频消融(radiofrequency ablation,RFA)为代表的局部治疗手段在这些患者的治疗中起着重要的作用。

射频消融(radiofrequency ablation, RFA)是通过射频电极发出375~500kHz的频率波,引起电极周围组织内离子产生振荡,并摩擦产热向外传递,使组织凝固坏死的一种微创治疗。医生在影像引导下将射频电极针插入肿瘤组织,来自射频发生器的电流通过电极头端传入组织,再经组织间自然通路流向弥散电极(负极板),由此形成完整的电流环路。射频电极产生的阻尼热(resistance heat)发生于电流环路中阻抗较高的区域,即电极针与肿瘤组织接触区域,表现为电极周围肿瘤组织内离子剧烈震荡摩擦产热后,以热传导形式向四周扩散,使得整个瘤体产生高温,导致肿瘤凝固性坏死。

对于具备局部治疗指征的肠癌肝转移患者,目前外科手术切除和射频消融的选择依然没有定论。根据以往回顾性研究数据,射频消融的局部控制率相比外科手术切除较低,1、3、5年的无复发生存时间较短,但消融与手术切除的总生存时间没有统计学差异。此外,相比于肝转移瘤手术切除,消融更加微创和安全,可极大程度地保留正常肝脏,维护肝功能,患者有充足的肝储备功能接受后续治疗。

例如这个肠癌术后肝转移的病人,结肠没有新发病灶,所以先肝动脉化疗栓塞(机枪扫射)灭活大片肿瘤,再细针穿刺消融(*击狙**步枪点射)灭活三个顽固分子,最大程度的保存正常肝脏,最大程度的消灭肿瘤。伤口只有一个针眼,体现了现代医学 “微创无痛,原装出院” 的理念。

第一步:肝转移瘤动脉灌注化疗+栓塞

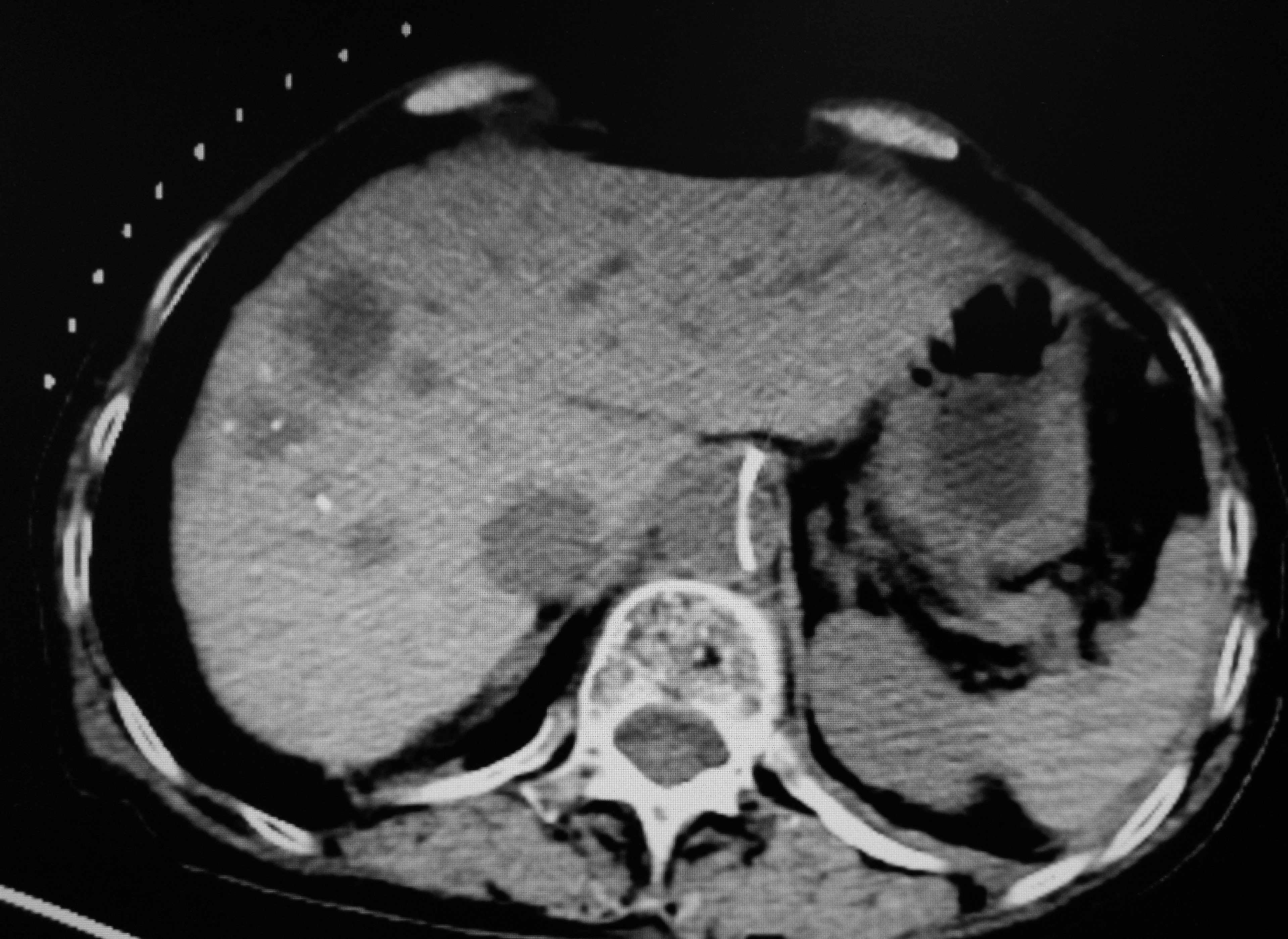
第二步:射频消融前,CT扫描确定进针方向与深度

第三步:CT定位后,消融针穿刺到肿瘤

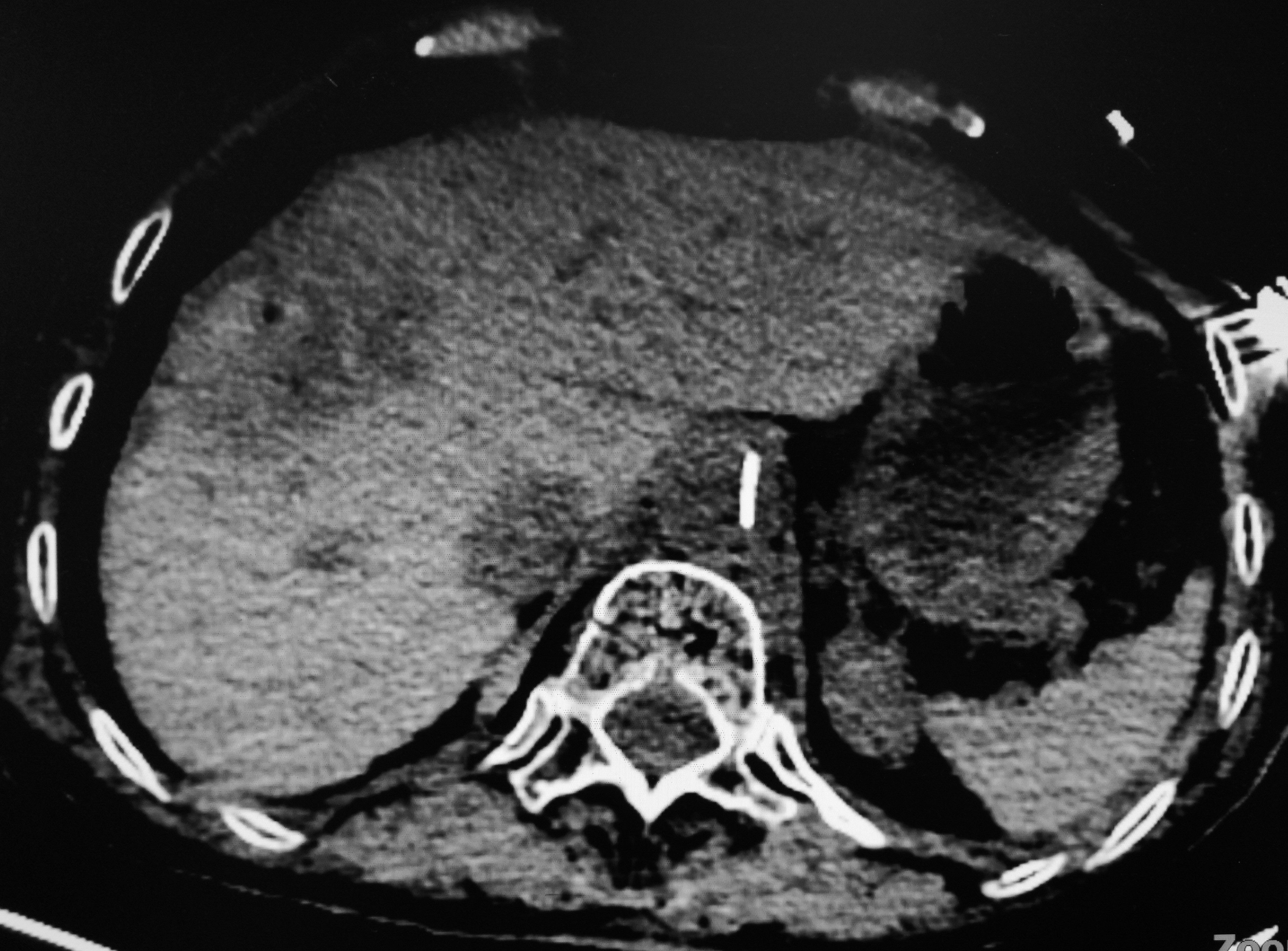
第四步:消融针插入肿瘤后,开机消融

第五步:多角度多点消融结束后,拔针,CT扫描验证消融范围

消融前后CT对比:消融后肿瘤组织坏死
中晚期肿瘤的治疗,单一的全身静脉化疗加靶向加免疫治疗,往往费钱费力又不一定落好。一定要结合多种介入的方法,而且血管介入和非血管介入相结合,往往事半功倍。
肝转移瘤消融的目的:在于最大限度消减肿瘤负荷、缓解肿瘤引起的症状和改善患者生活质量,延长生存期。肝脏转移瘤:存在肝外其他部位转移时,可在全身治疗的同时行肝内病灶消融。
有文献报道,射频消融治疗结直肠癌肝转移后,5年生存率从14%到55%。
- 结直肠癌肝转移的外科治疗虽然效果很好,但是对病例选择的标准比较严格,仅有20%左右的患者可以获益。
- 各种经血管介入治疗或者局部消融的结直肠癌肝转移治疗手段,与传统化疗相比,明显提高了局部控制率和总生存率。
- 各种局部治疗手段依然可以和化疗、靶向治疗、免疫治疗等全身治疗手段结合,进一步提高疗效。
#肠癌肝转移##射频消融#