
脸上冒痘了,不少人第一反应是挤掉,或是用手去抠,弄走里面的「脏东西」,好让痘痘尽快消失。
但面部「危险三角区」的痘痘,我劝你善良,抠着挤着容易引发脑脓肿,甚至把性命也搭上。
挤痘不当的危害
Q1:小周用牙签戳破脸上痘痘,头痛半年已久,去检查竟患上脑脓肿,这是怎么回事?
小周挤痘痘引发脑脓肿,很大可能是用指甲或牙签戳破了面部「危险三角区」的痘痘,导致细菌长驱直入,造成脑内感染。

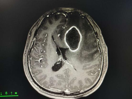
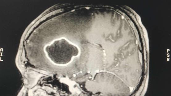
左额叶深部中线旁可见体积较大的脑脓肿,并周围大片脑水肿,颅内压明显增高,占位效应显著

专家提醒,「危险三角区」的痘痘可不能轻易抠破、挤压,若挤压方式不当,或可危及患者生命。
Q2:面部「危险三角区」指哪里?为何挤个痘痘会发生感染,甚至因此丧命?
面部「危险三角区」是从两侧口角水平至鼻根连线所形成的三角形区域。此处血管密集并与颅内海绵窦相通,是公认的危险区域。
刚从痘痘创口入侵的细菌会在血液中形成庞大的细菌队伍,继而经血液进入颅内并散布每个角落,再诱发脑膜炎或者脑脓肿。
轻者出现寒战、高热、头痛、呕吐等;严重者甚至可发生败血症、脓毒血症、癫痫、偏瘫、昏迷,危及生命。
Q3:挤痘不当引发的颅内感染机率高吗?不慎引发,脑脓肿该如何治疗?
专家表示,触碰面部「危险三角区」引发颅内感染的机率不高,一旦发生感染后归不堪设想,要慎重对待。
小周入院后,先是抗生素治疗,但反复发热、头痛,进行脑科手术后,病情得到稳定控制,现基本康复。
① 治疗脑脓肿,首要考虑抗生素。因金黄色葡萄球菌是常见的致病菌,不排除混合性细菌感染。
选择敏感抗生素,应依据培养和药敏结果。但在培养结果出来之前,先按经验选择合适的抗生素。不排除脑脓肿的脓液培养有一定的阴性概率。
② 外科治疗脑脓肿亦是一个有效手段,当脑脓肿形成包膜,便是手术的最好时机。
穿刺抽吸脓液不仅可以快速清除脓液,促进脓肿壁皱缩吸收,还可以取得标本送检,帮助选择敏感抗生素。应用精准的导航定位技术,穿刺抽吸脓液得到越来越广泛的应用。

痘痘处理
专家表示,如果面部「危险三角区」长痘或粉刺了,一定要控制好自己的手,不要乱抠,要科学处理。
1、微粉刺:可以使用多含果酸或抗炎中药成分的祛痘药妆。
2、黑头粉刺或白头粉刺:可以进行粉刺清除术等治疗,然后外搽维甲酸类药物进行维持治疗。(粉刺清除不是自己在家用粉刺针弄,一定要到专业医疗机构)
3、炎症性粉刺:需要皮肤科医生指导下选择外用或口服抗炎药物。
挤痘虽能解压,但会留疤、痘印、痘坑,甚至会感染、红肿、化脓,如出现以上状况,越早就医,越有利于控制感染的影响。
而且形成的痘坑还要靠医美修复,别再手欠给自己挖坑了!

最后提一句,长痘不关辣椒的事,高糖饮食(高GI饮食)以及高乳制品饮食(特别是低脂牛奶)才是罪魁祸首。

案例来源:南方医科大学中西医结合医院
转载请联系授权
部分图片来源:网络
如有侵权,请告诉我们

