
肝脏占位病变可分为良性占位病变、恶性原发性占位病变、恶性转移性占位病变,针对肝脏占位病变的鉴别诊断至关重要。在“第六届长三角肝病高峰论坛暨肝脏肿瘤多学科诊治学术研讨会”上, 南京市第二医院 (南京中医药大学附属南京医院) 杨永峰教授 分享了“肝细胞来源良性占位病变影像和病理鉴别诊断”, 肝胆相照平台 特将精彩内容整理成文,供临床医生参考。
肝脏占位病变知多少? [1]

表1肝脏占位病变分类
肝细胞来源的良性占位病变主要包括局灶性结节状增生(FNH)和肝细胞性腺瘤(HCA),两者容易混淆,鉴别诊断困难。
▪ 微观:均由正常肝细胞组成;
▪ 血供:均动脉供血为主;
▪ 影像:均表现动脉期强化;
▪ 肝脏背景:既可出现于正常肝脏,又可出现于脂肪肝、血管性肝病、肝硬化等背景。
一、局灶性结节状增生
1、FNH的病理特点
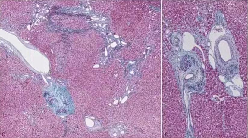
1)含变形血管的中央纤维血管区,纤维隔向周边放射;2)无胆管,可伴细胆管反应;3)谷氨酰合成酶(GS)地图样表达;4)源自血流异常的FNH样病变可能无GS地图样表达;5)不典型FNH可缺少部分病理特征。
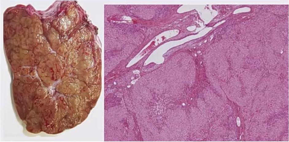
FNH大体形态和镜下表现,镜下可见占位中央区变形的血管(图1-3)。

图1

图2

图3

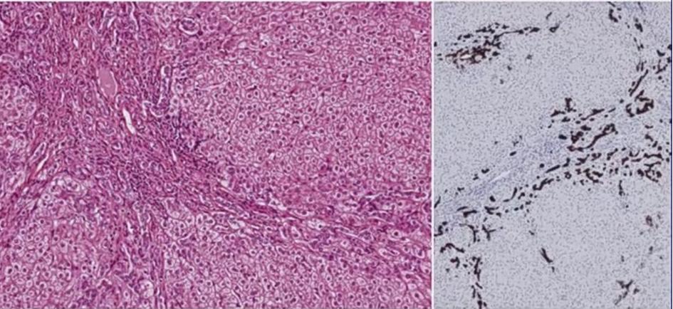
图4 FNH GS地图样表达
2、FNH影像特征
CT:伴中央低密度疤痕(30%)的均值等或稍低密度占位。
MRI:1)T1/T2均质等或稍低密度占位;2)含脂FNH可类似HHCA;3)动脉期均匀显著强化,门脉期等密度,肝胆期较周围肝组织更高密度;4)中央疤痕不强化。
由于FNH是一种良性疾病,因此国外指南认为可以不进行随访。
二、肝细胞腺瘤
1、肝腺瘤组织学分型(表2)

表2
2、病理
HHCA和LFABP免疫组化:低倍镜下可见脂肪变性(*处),LFABP免疫组化失表达(图5)。

图5
IHCA的病理:无汇管区。正常情况下,SSA及CRP在肝脏的库普弗细胞中表达。在IHCA中,SSA和CRP在肝细胞弥漫表达,有助于鉴别(图6)。

图6
BHCA的病理:正常情况下,β-catenin在肝细胞的胞膜上表达,而在BHCA中,β-catenin在细胞核中表达,GS呈弥漫表达。BHCA有一定的恶变倾向(图7)。

图7
3、影像特征
IHCA的影像:
CT:不均匀低密度,动脉期明显强化,门脉和延时期继续强化。
MRI:1)T2高密度,T1等或低密度,部分可含脂,DWI受限;2)增强表现同CT,肝胆显影剂可能假洗脱;3)肝胆期摄取低,部分可见周边摄取(对应细胆管反应)。
HHCA的影像:
CT:低密度,动脉期不同程度强化,门脉和延时期快速洗脱。
MRI:1)可见脂肪衰减,DWI不受限;2)增强特征同CT;3)肝胆期均匀低密度。
B-HCA和未分类HCA的影像:
表现无特征性,更接近于HCC模式。
CT:等或低密度,动脉期强化,门脉或延时期洗脱。
MRI:1)T1和T2均匀或不均-高密度(密度和病变出血、坏死相关);2)动脉期不均匀强化,门脉和延时期持续或不持续强化。
4、肝细胞腺瘤诊治流程

5、肝细胞腺瘤影像、临床和病理鉴别(表3)

表3
病例:不明原因的肝占位(F,27y)
2016.03.14超声:轻度脂肪肝;肝内低回声结节(1.8*1.53cm)。
2021年,多发肝占位。
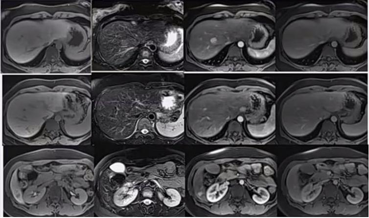
2021.01.09上腹部MRI平扫+强化(图8)。原单位MRI报告:1、肝内多发结节,考虑占位性病变可能性大,不除外恶性。2、脂肪肝。3、脾大。

图8
穿刺活检仍性质难定。原单位病理报告:(肝组织穿刺)肝组织少许,基本结构存在,汇管区少量淋巴细胞浸润,肝板单层,肝细胞浊肿伴淤胆,灶状肝细胞坏死,部分肝细胞混合性脂肪变性,肝窦扩张。S:1分;A:小叶炎1分,气球样变0分;F:0分。(肝S8肿物)肝组织,基本结构存在,汇管区淋巴细胞,散在中性粒细胞,偶见嗜酸性粒细胞浸润,可见小灶界面炎,纤维组织轻度增生,中央静脉周围肝窦显著扩张,肝细胞单层伴中度浊肿,散在灶状坏死,中央静脉周围多灶肝细胞脂肪变性,符合肝细胞结节样增生伴轻度脂肪变。S:1分;A:小叶炎2分,气球样变0分;F:1分。
最终诊断: 腺瘤(炎症型)
诊断依据:
青年女性,不明原因肝占位,无HCC高危因素。
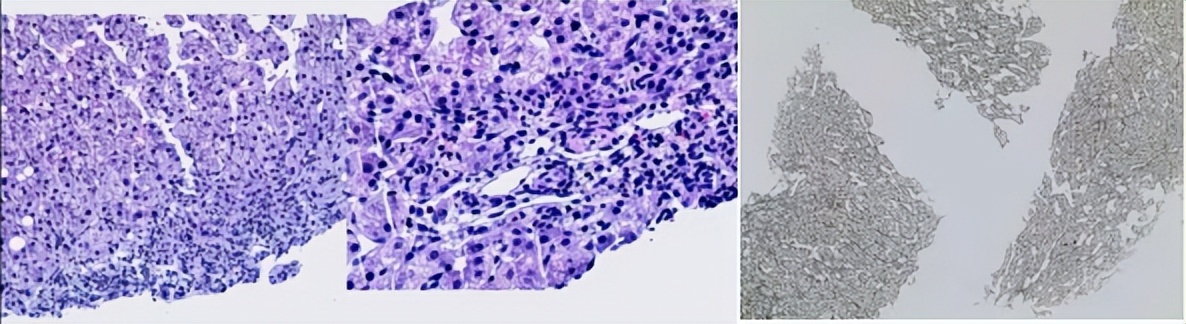
组织学(图9-10):占位部位为正常形态肝细胞,可见较明显肝窦扩张,未见恶变,且“汇管区”未见正常胆管,分析形态以腺瘤可能性大。

图9-10
病理分型(图11-12):β-Catenin免疫组化肝细胞膜表达,不支持β-Catenin活化型腺瘤;不含脂,不支持HNF1α失活型。

图11-12
影像(图13-14):MRI,动脉期均匀显著强化,门脉期稍强化,肝胆期为低密度,符合腺瘤影像学改变。

图13-14
随访结果: 电话随访2年,占位无变化。
总 结
▪ 无高危因素的患者(年轻、无慢性肝病基础),发现“肝癌”要多鉴别;
▪ 影像不是万能的;
▪ 有时病理也不是万能的;
▪ 影像、病理、临床结合最重要。
专家简介

杨永峰教授
南京市第二医院肝病学科带头人,院长
医学博士,二级主任医师,教授,
*京大南**学、东南大学、南京中医药大学博导
中华医学会肝病学分会委员、感染病学分会委员
江苏省中西医结合学会肝病分会主任委员
江苏省医学会感染病学分会副主任委员
中华肝脏病杂志、中华传染病杂志、中华临床感染病杂志编委
江苏省有突出贡献中青年专家,第10届中国医师奖获得者
江苏省医学重点人才,江苏省卫生拔尖人才
发表第一或通信作者论文100篇,其中SCI 30篇,主持国家自然科学基金1项,江苏省科技厅临床医学专项等课题8项,获江苏省科技进步一等奖等奖项10项
精通肝脏疾病的临床、病理和影像诊断,擅长疑难重症肝病诊治
本文图片来自授课幻灯,【参考文献】钟艳丹,杨永峰.《王宝恩肝脏病学》,2021
【部分素材来源】
1 Imaging of the Liver and Intra-hepatic Biliary Tract
2 LIVER IMAGING
3 Practical Hepatic Pathology
4 MacSween’s Pathology of the Liver
整理/肝胆相照平台 审校/杨永峰教授
本文仅供医疗卫生专业人士为了解资讯使用,不代表本平台观点。该等信息不能以任何方式取代专业的医疗指导,也不应被视为诊疗建议。如该等信息被用于了解资讯以外的目的,平台及作者不承担相关责任。