一些朋友可能有过这样的经历,即使每天早晚刷牙,但时不时的还是会有牙龈出血的情况,这个时候其实就是提醒你该注意牙周健康了。

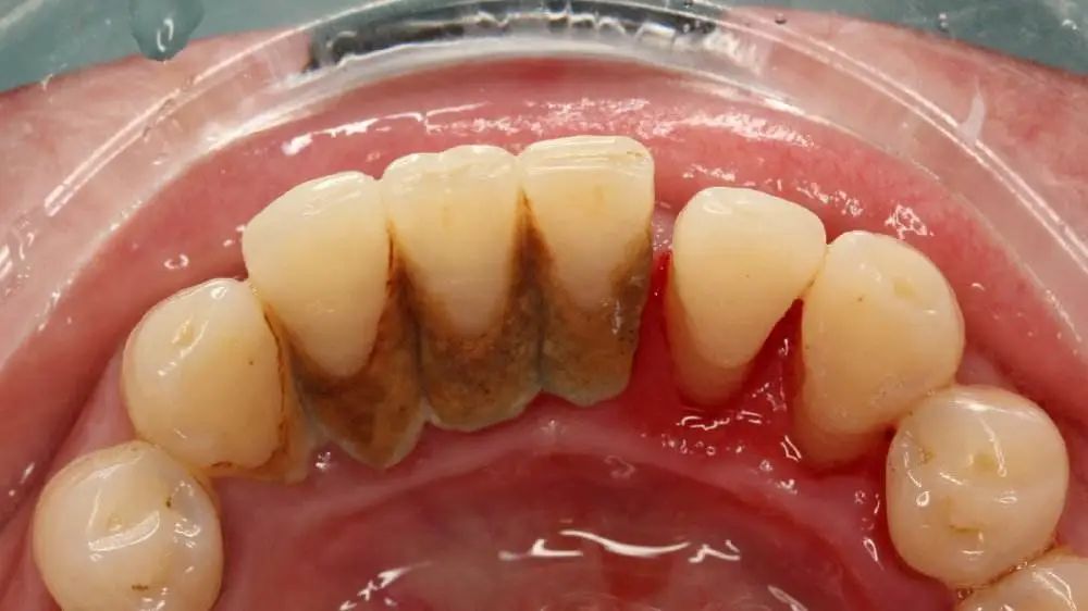
通常来说,导致牙龈出血的主要因素就是牙结石堆积过多,刺激牙龈产生了炎症反应,因此牙龈出现了红肿出血的情况。

如果不及时处理,牙结石越来越多,加上细菌毒素导致牙周组织发炎,还会出现牙龈脓肿、牙槽骨吸收,最后导致牙齿松动,甚至脱落。因此,这个时候就需要及时找牙医解决问题了。
一般情况,如果是早期的牙龈炎可以通过洗牙的方式改善牙龈出血的症状。洗牙就是通过超声波震动去除牙齿表面的牙结石,包括洁治、喷砂、抛光三个步骤,可有效改善早期牙龈炎症状。

不过,一些没有及时治疗的牙龈炎患者,通常前来治疗时牙龈炎症已经朝着牙齿根部发展,形成了牙周袋,牙结石和细菌毒素在牙周袋内,时间长了会引起牙周组织(牙槽骨)的炎症和吸收,最后导致牙齿松动。

因此,这个时候光是龈上洁治(洗牙)已经不能够解决根本问题,牙医通常建议进行洁治+龈下刮治,也就是不仅要去除牙齿表面的牙结石,还要去除牙周袋的细菌,给牙周组织的愈合提供一个有利的环境。
美国牙科中心建议每6个月进行一次专业洁治,至少每年进行1次口腔检查,所以,为了预防口腔疾病,大家可一定不能偷懒~
【本文来源子和口腔官方公众号:cdzhkq】