
作者:张超 上海复旦大学附属华山医院
患者信息
患者女,53岁。
主 诉
右踝关节扭伤后肿痛5小时。
现病史
患者5小时前下楼时不慎扭伤右踝关节,即刻出现右踝关节肿胀及疼痛,家人送至我院急诊就诊,急诊体格检查右踝关节周围肿胀及压痛明显,予X线检查,检查显示右踝关节骨折伴移位,为进一步手术治疗,收住病房。
既往史
高血压病史10年,血压最高达155/100mmHg,服用倍他洛克,用法1粒bid,血压控制在130/85mmHg,否认糖尿病及心脏病等系统性疾病史;否认肝炎、结核等传染病史;否认本次外其他外伤史及手术、输血史;预防接种不详;否认药物及食物过敏史。
个人史
生于上海市,长期居住于上海,未到过其他流行病及传染病流行地区;无吸烟及酗酒史;否认重大精神创伤史;否认冶游史 ;24岁结婚,孕2次,育有一儿一女,配偶及子女身体健康,无早产及流产,已行绝育手术,14岁/4天/(28-30)天/50岁。
家族史
父亲有高血压病史,父母健在,身体健康;否认家族遗传性疾病史;否认家族传染性疾病史。
体格检查(全身查体&专科查体)
专科检查:右踝关节肿胀淤血明显,未见张力性水泡,轻度的外侧移位畸形,外踝腓骨远端及下胫腓联合、内踝压痛明显,皮肤温度良好,未有明显降低,可扪及足背动脉搏动,足趾毛细血管充盈良好,足部感觉良好,未有减退,踝关节主动及被动活动时疼痛受限,足趾主动活动良好。
辅助检查
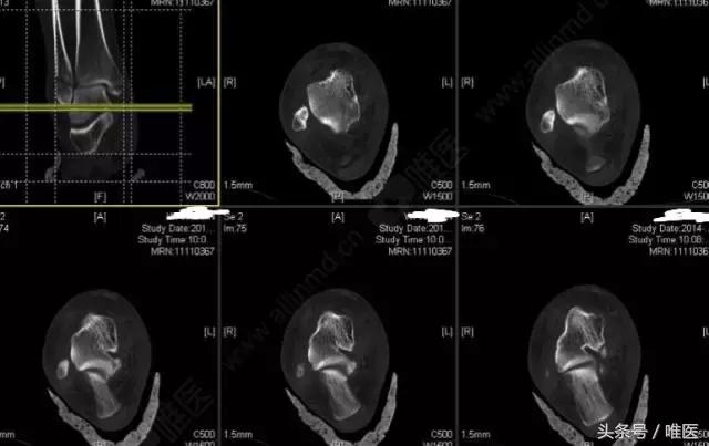
X线:右侧踝关节骨折
CT二维重建: 右侧踝关节骨折
诊断&鉴别诊断
初步诊断:右踝关节骨折,高血压;
最后诊断:右踝关节骨折,高血压;
分 型:
L-H分型:旋后外旋型 IV度;
Danis-Webber分型:B型
治疗过程
诊疗计划: 急诊予石膏托固定制动,收治入院后抬高下肢,冰袋冷敷,鼓励主动活动足趾,完善CT检查,完善术前心电图、胸片,肝肾功能、电解质、出凝血时间、血糖检查,排除手术禁忌后行手术治疗。 住院日(第1—3天): 入院第1-3天,完善术前检查,冰敷,抬高下肢,鼓励主动活动足趾减少肿胀,根据肿胀情况决定具体手术时间,本病例患者入院3天完善术前检查,经治疗后肿胀满足手术条件。 住院日(第4天): 手术日,术前半小时给予头孢唑林钠2.0g静脉滴注预防感染。
手术名称:右踝关节骨折切开复位内固定术。
术后处理:术后当日给予头孢唑林钠2.0g一次,预防感染,药物消肿治疗,给予抬高下肢,鼓励踝关节及足趾主动活动减轻肿胀; 术后第1日:检查伤口,给予换药,予出院,门诊随诊; 术后2周:每隔4-5天门诊随访换药,嘱非负重下踝关节主动背伸跖屈功能锻炼,主动活动足趾关节,股四头肌功能锻炼,抬高下肢,术后2周拆线,予石膏固定制动; 术后6周:门诊随访X线片,骨折临床愈合予拆除石膏; 术后6周-术后12周,非负重下功能锻炼逐步过渡至负重活动; 术后3月、术后6月、术后12月随访复查X线片,并进行AOFAS。
手术名称
右踝关节骨折切开复位内固定术
手术记录(主要病理发现)
全身麻醉成功后,取左侧卧位,右下肢常规消毒铺巾,右外踝后外侧切口长约8cm切开皮肤、深筋膜,自拇长屈肌及腓骨长短肌间隙进入,暴露外踝及后踝骨折块,复位后踝骨折块后予克氏针临时固定,纠正腓骨远端骨折外移及短缩畸形,克氏针临时固定,透视外踝及后踝骨折复位良好,取合适长度的后侧解剖锁定钢板螺钉牢固固定外踝,空心螺钉固定后踝,再次透视骨折复位及内固定位置良好,冲洗缝合外侧伤口,取仰卧位,右内踝弧形切口切开暴露内踝骨折块及内侧间隙,术中见内踝骨折移位,内侧间隙内碎骨块游离,清理内侧间隙,复位内踝骨折后予导针固定,透视骨折复位及导针位置良好,取34mm长度的4.0 空心螺钉牢固固定,透视骨折复位及内固定位置良好,冲洗伤口,缝合,术中出血约100ml,未予输血。术中伤口予罗哌卡因+得宝松局部镇痛治疗。手术顺利,病人送PACU。
治疗前影像



治疗后影像




想要学习更多骨科专业知识?
各大应用市场*载下**“唯医”APP
手术视频免费*载下**会议直播从不间断
细分骨科所有专业让您光速获取资源
随时随地,唯医为医!