导读
医脉神经每周五个工作日都有雷打不动的早餐病例学习,每天3个短小精悍的小case,每天掌握3个知识点。每个群的群主轮流提供早餐病例,感谢各位群主及老师们的辛苦付出,也感谢参与讨论的众多群友。大家思想的碰撞,产生了无数的智慧火花,常在群里逛逛,每天都有新的收获。上周的精彩晨读病例摘选如下。
本周晨读总结:卢志杰
校审:王津存,申永国
晨读整理团队:梁新明,李芳等
除了普通群友,时不时更是有神秘大咖进行点评,这位神秘专家是谁呢?文末揭晓。

病例1
(提供者:陈孝东 宿迁市第一人民医院)
32岁男性,反复发热,头痛、偶有胡言乱语,反应迟钝。
影像表现如下:

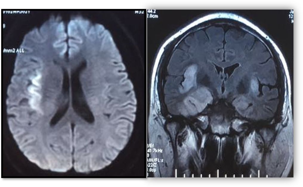
头颅MRI可见双侧颞叶、岛叶、海马多发片状异常信号,右侧为著,FLAIR呈明显高信号,DWI轻度弥散受限。基底节层面矢状位DWI及冠状位FLAIR隐约可见“刀切征”。结合发热、精神改变病史,高度提示单纯疱疹病毒脑炎。后完善自身免疫抗体(NMDA、LGI1、CASPR2、GABA-B):均为阴性。
病原体高通量测序提示:人单纯疱疹病毒。
诊断: 单纯疱疹病毒脑炎。
给予积极抗病毒等治疗2周后患者临床症状明显好转并出院。故事就这样结束了吗?
1月后患者再次因“头痛、发热及反应迟钝”入院。这时候怎么考虑,是脑炎复发吗?单疱脑炎症状复发通常在抗病毒治疗后几周出现,可能的原因主要有一下两种情况:
➤ 真正的HSV复发(脑脊液HSV PCR阳性,头颅MRI新发病灶)
➤ 可能合并免疫介导疾病(HSV PCR阴性,影像学无新病灶,对阿昔洛韦治疗无反应)。
有学者提出,第二种情况可能与NMDA受体抗体有关。根据诊断标准,首先要排除病毒复发。
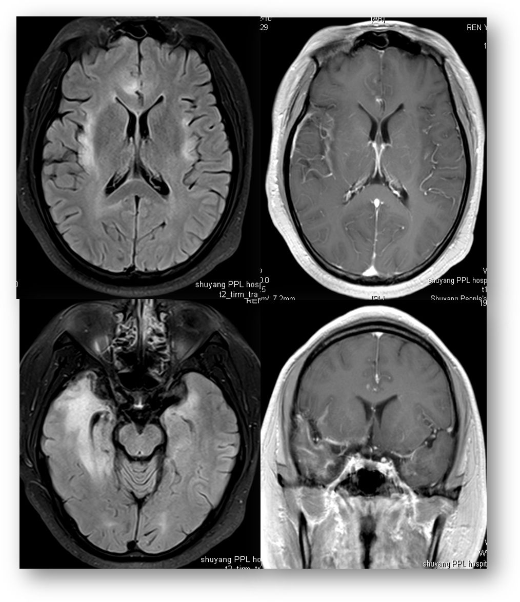
1、再次完善NGS并未发现可疑病毒:

2、完善头颅MRI,病灶并未较前增多:

➤ 难道是病毒诱发了自身免疫反应?完善自身免疫抗体检测提示:

考虑诊断: 单纯疱疹脑炎后抗NMDA受体抗体脑炎。
一些单纯疱疹病毒性脑炎患者在病毒感染治疗成功几周后出现神经系统复发,但这种并发症的发生率、症状谱、危险因素和预后在很大程度上尚不清楚。Armangue1 的研究提高了人们对单纯疱疹病毒性脑炎引发的自身免疫性脑炎的认识,并揭示了一个可预测的时间框架(大约2个月),在这个时间内,单纯疱疹病毒性脑炎患者可能发展为自身免疫性脑炎,并伴有对NMDAR及其他神经元表面蛋白的免疫反应。在这一时间范围内,出现新的神经或精神症状的患者应强烈考虑自身免疫性脑炎,其特征是幼儿舞蹈病,老年和成人认知和行为障碍或精神病。该情况下,检测NMDAR或其他神经元表面抗体可证实自身免疫性脑炎。及时发现这种并发症是很重要的,因为患者尤其是老年儿童和成人,对免疫治疗反应更好。
参考文献:
[1] Lancet Neurol 2018;17:760–772.
[2] Crit Care Med. 2010; 38:679–682.
[3] Neurology. 2013 Oct 29; 81(18): 1637–1639.
病例2
(提供者:于鹏飞 牡丹江市第一人民医院)
30岁,男。发作性意识不清伴肢体抽搐7个月、反应迟钝5个月,视物不清、听力下降3个月。

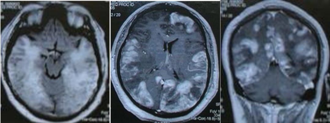
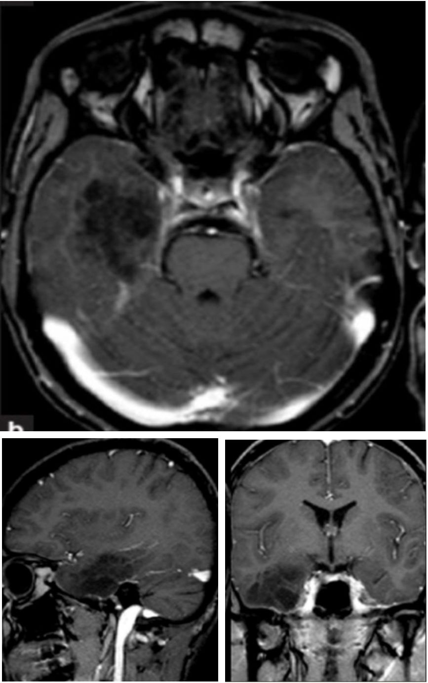
头颅MRI提示:双侧颞、枕、顶、额叶以及海马大片异常信号,FLAIR高信号,增强可见明显沟回样、片状强化,主要以皮层和皮层下为主,深部白质亦有波及。
诊断: Whipple病。
Whipple病:是1907年由George Hoyt Whipple首次描述,是一种累及多系统的慢性传染病。该病由惠普尔养障体(Tropheryma whipplei)慢性感染引起,具有一定传染性(粪-口传播)。多发生于白种人,亚洲、非洲较罕见。男女发病之比为4~8:1,以30-50岁为多。其诊断的金标准是十二指肠活检
神经Whipple病理:Whipple菌通过血和淋巴循环播散进入CNS,侵犯导水管周围灰质、下丘脑及海马,大脑皮质、基底节和小脑也可受累。大体病理可见广泛脑萎缩、脑室扩张,皮质或深部多灶性脱髓鞘、空泡形成及神经元死亡。受累的脑动脉可见纤维变性、血栓形成、管壁增厚,表现为大脑血管肉芽肿样改变。
临床表现:
该病是系统性疾病,主要的临床表现有4大类,包括:1、经典型;2、慢性局灶性感染;3、急性感染;4、携带。其发生率如下图:

经典型和慢性感染均可出现神经系统症状,具体表现复杂多样。
特异性表现:进行性核上性眼肌麻痹伴眼-咀嚼肌节律性运动或眼-面肌节律性运动;
非特异性的如头痛、癫痫、认知障碍、脑膜刺激征、周围神经病等。
头颅MRI:脑萎缩、颅内多发或孤立肿块、脑膜浸润、灰白质交界处弥漫病变和脑积水等。占位效应和水肿可有可无。T1WI大小不等、形状不规则高信号,部分脑回变窄、脑沟增宽。T2WI可见多发大小不等片状高信号影,其内信号不均匀。FLAIR多呈高信号, DWI略高及等信号。SWI脑内可见多发类圆形大小不等圆形低信号影。增强:均匀、环状、斑片状强化。MRS:Cho增高, Cr、 NAA降低, Cho/ Cr>>1。
治疗:头孢曲松2g qd共2周,继以1年的复方新诺明960mg bid。
参考文献:Clin Microbiol Rev. 2017 Apr; 30(2): 529–555.
病例3
该病例并没有主诉,是真正的“裸读”。晨读病例时常会出一些没有病史的影像来考大家,这种影像往往是具有一定特异征象的,抛开病史,只看影像,能够让人加深印象。(平时工作中万万不可啊除非你想被影像科拉黑)
下面看图:

T2序列可见,双侧皮层下及深部白质高信号,融合成片。U形纤维亦有波及。
诊断: 苯中毒脑病。
影像学表现是较为典型的“葵花征”,大家看像吗?

苯中毒诱发的白质脑病在各地广泛存在而且比较常见,然而,缺乏特异性临床表现及实验室检查使其诊断困难。神经影像及有关病史常常是诊断中至关重要的。在本例中,甲苯中毒诱发的白质脑病患者出现恶化的认知损害, MRI T2加权像上呈现出向日葵样的特征性表现。甲苯吸入所致中枢神经系统损害是中毒诱发白质脑病中常见的来源之一。报道的症状多不具特异性,如头痛,头晕,认知损害。在没有造血系统损害的情况下,甲苯中毒性白质脑病可能不易诊断。
作为实验室有机溶剂及工业产品中常见的组成部分,如胶类,墨水,油漆,油漆稀释剂,甲苯是应用非常广泛的稀释剂。甲苯中毒接受治疗的人群增长很快,特别是青少年或发展中国家工人缺乏职业保护,接触挥发性或吸入性含甲苯的物质。吸入后,甲苯快速被肺部吸收,因其高亲脂性和蓄积性,甲苯进入脑组织。随着肝脏的代谢,甲苯代谢物大部分经肾以马尿酸物质排出。
慢性甲苯中毒主要损害中枢神经系统,特别是白质,引起甲苯诱发的白质脑病和精神症状。认知损害是最突出症状,其它症状依赖于累及的脑区。包括共济失调,震颤,精神异常,帕金森病样症状及颞叶癫痫。
诊断主要依靠甲苯接触史,中枢神经系统损害的表现,排除其它相似症状的疾病。神经影像及病史是重要的,以此区别于*洛因海**相关脑病及缺氧缺血脑病。
参考文献:
曾凡,杨恒,周华东,王艳江;有磁共振特色表现的甲苯中毒性白质脑病个案报告( http://wwww.nnjournal.net 2014-8-28日发表)
病例4
(图片提供:郎继荣 河南宏力医院)
有些特征性的影像可以一眼“秒杀”,比如前边的“葵花征”;也有一些体征让人一眼难忘。这位PD患者的手怎么了?

诊断: 帕金森纹状体手
Charcot曾描述了震颤麻痹患者可出现类似于慢性类风湿性关节炎的远端畸形——“掌指关节屈曲,指间关节伸直,手指偏向尺侧”。Gortnai观察到PD患者手部畸形往往经历四个阶段,前述仅为早期,以后自中度掌指关节屈曲、指间关节伸直进展至近端指间关节过度伸展,伴远端指骨半脱位,导致远端指间关节屈曲的严重畸形。
与类风湿关节炎不同,畸形关节既无肿胀、发热、压痛、强直,也无骨质沉积及关节弹响。纹状体与某些关节病的天鹅颈畸形也有类似之处,而钮扣花样畸形则与以上畸形正好相反,掌指关节伸直,近端指间关节屈曲,远端指间关节伸直。介于上述两种关节畸形之间或呈爪型手。不论畸形多严重,放射影像学检查均无手部关节异常。
除了外观改变,疼痛也是纹状体手的特点之一,并影响精细动作,如书写、进食等。手指的严重屈曲导致指甲压向手掌,引起擦伤和继发感染。纹状体手多见于PD病程的晚期及其他PD综合征,或继发于麦角类多巴胺受体激动剂治疗所致的反应性纤维化(如溴隐亭、培高利特)。PD早期,甚至缺乏早期PD体征时就伴有轻度掌指关节屈曲,而且主要位于震颤、强直或运动减少侧,应引起临床医师的关注,以定位PD最初受累侧。纹状体手应与原发性肌张力障碍、药源性肌张力障碍、脑高频深部电刺术后肌张力障碍、周围神经卡压性疾病及颈椎病鉴别。
病例5
(病例整理提供:阚泽龙 成都西航港医院)
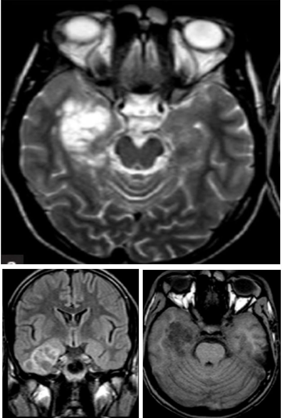
患者男性,40岁,突发左侧肢体2周。

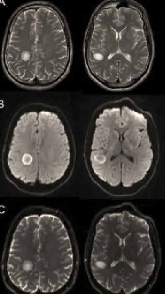
头颅MRI:可见右侧颞枕交界皮质下白质、额顶交界区半卵圆中心两处病灶,呈圆形卵圆形,T2高信号,环形弥散受限,对应区域ADC反转不明显。
诊断: 同心圆硬化(Baló’s concentric sclerosis)
同心圆硬化是一种少见的中枢神经系统脱髓鞘病变,其被认为是多发性硬化的一种变异型。早先的观点认为同心圆硬化是罕见且致命的疾病,但随着影像学的发展,更多的同心圆硬化被诊断,呈现了不同的临床表现及病程。
临床表现:该病临床表现并不特异,可以模拟卒中急性起病,也可以表现为典型脱髓鞘疾病一样的渐进发展。其诊断最关键依靠MRI表现。
MRI表现:Baló’s 在T1像的特点是多个等、低信号交替的同心圆,在T2加权序列上表现为围绕高信号圆心(风暴眼)的高低信号环,也有其他模式如玫瑰、康乃馨甚至马赛克形状的报道。
病灶有轻微水肿。DWI序列可见弥散受限,多位于病灶边缘。增强序列可见强化,多位于病灶外周边缘,也可见到与T2高信号匹配的多层环形强化。
补充说明:关于同心圆硬化有几个需要注意的问题:
1、几个环才够诊断同心圆硬化?
关于这个问题目前尚没有一个确切的标准,有学者呈高低信号交替1次以上即可考虑Balo,但有学者称信号改变≥2次可考虑“Balo-like”,实际上和交替1次含义差不多,总之不是均匀一致的高或者低信号即可。文献中给出的交替1次的影像如下:

再典型一点的如下(红色箭头即风暴眼(storm center)):

最经典的,年轮样改变,数不清多少环长这样:

图自:Lancet Neurol 2014; 13: 740–46
序列更全一点的:

图自:Rev Neurosci. 2018 Nov 27;29(8):873-882.
上述文献病例均较为典型,病灶有着明显的分层。但早读病例中分层并不明显,那么能诊断同心圆硬化吗?这就牵扯到第二个问题:同心圆是从中间向四周涟漪样播散还是多个环形一起出现?
更多观点认为同心圆硬化是从中心向四周离心播散产生的,中心位置可能是由于炎症因素导致小静脉血管通透性增加,播散时,边缘的缺血预处理(ischaemic preconditioning)使得髓鞘相对保留,如此反复形成了特征性的同心圆。所以不难理解,Balo是动态发展的,其早期可以表现为均匀信号改变,类似ADEM、脑脓肿或者肿瘤,后期也可以发展为典型的脱髓鞘软化灶。同心圆是其特定阶段的特殊表现。
鉴别诊断:当早期影像学不典型时需要与ADEM、脑脓肿或者肿瘤鉴别。同心圆阶段上需要与结核瘤鉴别。
病例6
(病例提供:周晓宇 上海十院神内)
男性,15岁,反复癫性发作。

诊 断: 胚胎发育不良上皮细胞瘤 ( DNET, dysembryoplastic neuroepithelial tumor )
影像学提示右侧颞叶多房囊性皮质样肿块,呈蜂窝状, 增强提示囊性肿块内的隔膜轻度强化。组织病理学检查证实胚胎发育不良上皮细胞瘤 ( DNET, dysembryoplastic neuroepithelial tumor )。DNET是一种良性、混合性胶质-神经元肿瘤,临床常表现为儿童/青年难治性癫痫。
影像学:多发生于幕上皮质区域,以颞叶最为常见,其次是额叶。病灶呈皮质内囊性(气泡样)肿块,轴位无水肿,边界清楚,呈楔形 “指向”脑室,形态多呈楔形或三角形,肿瘤宽基底朝外,内部可呈单囊或多囊,病变边缘可见环形FLARE高信号包绕, 增强扫描多数病变无明显强化,少数可呈结节样或点状强化。若出现强化提示复发率高。常伴有皮质发育不良。
主要鉴别:局灶性皮质发育不良II型;神经上皮囊肿;节细胞胶质瘤等。
治疗:手术切除通常可以治愈。
病例7
(提供者:周晓宇 上海十院神内)
只有影像学如下:

增强序列可见双侧额叶软脑膜明显强化并沿软脑膜侵入沟回,左侧颞顶交界区小片状强化;冠状位及FLAIR可见皮层皮下之白质亦有波及。该病例只有磁共振,且只有FLAIR和增强两个序列,但给人的信息量并不少:脑膜尤其是软脑膜受累突出,伴有皮层、实质损害,强化明显。感染、肿瘤、非感染性炎症都有可能,到底是什么呢?
诊断: 神经结节病
结节病是一种病因不明的多系统肉芽肿性炎症性疾病,年轻人多见。全世界的发病率各不相同,约为10-20/100,000人。它主要影响肺,皮肤和眼睛,神经系统受累约占5-20%。可以说神经结节病是罕见病中的少见表现,但其影像学具有一定的特点,也容易与其他疾病混淆,了解了这些特点在日后不期而遇时不会让它从眼皮下溜走。神经结节病影像学最突出的特点是软脑膜受累,但只知道软脑膜是不足以全面掌握神经结节的影像学表现,关于神经系统其他受累部位及鉴别诊断如下图:

图自:Clin Radiol. 2016 Jan;71(1):96-106.
这里摘选几张有代表性的影像:
➤脑实质受累(fig3:延血管间隙播散的炎性肉芽肿改变;fig5:脑白质病变):

➤表现为出血:

➤脑干胡椒粉改变:

➤脊髓受累:

五花八门的受累部位和表现让人看花了双眼,万变不离其宗,颅底为主的软脑膜受累以及沿血管间隙的强化,以及各种肉芽肿样强化,都应该考虑到神经结节病的可能,但因其少见,不要忘了最基础的诊断原则,首先应当谨慎与其他更常见的疾病相鉴别。
病例8
64岁女性,主诉:行走不稳1月余,记忆力下降半月,查体:神清,记忆力下降,反应迟钝,闭目难立征可疑阳性。

影像学可见:双侧额、顶皮质下、半卵圆中心、侧脑室旁大片异常信号,病变跨胼胝体生长,有轻微的占位效应。FLAIR高信号,DWI病灶边缘弥散受限,增强可见半开环、不规则线样、斑片样强化。
诊断: 炎性脱髓鞘
治疗后病灶明显好转,自行停药后再次复发(后续影像没有给出)。
这一例有幸得到了《中枢神经系统瘤样脱髓鞘病变诊治指南》执笔者之一,海军总医院神经内科刘建国教授的群内指导:

在这一版诊治指南中,总结了TDLs的3种影像学类型:
➤弥漫浸润样病灶:病灶边界不清,呈不均匀强化,弥漫浸润生长;
➤环样病灶:可为圆形或卵圆形,呈闭合或开环强化;
➤大囊样病灶,T1、T2均呈高信号,边界非常清楚,可见环形强化,较为少见;
部分TDLs MRI增强可见垂直于脑室的扩张的静脉影,呈“梳尺样结构”,急性期与亚急性期多见,该特点对于TDLs的诊断有一定特异性,用以与脑肿瘤鉴别。
每天早晨打开微信看晨读病例,成了很多群友的习惯;群内良好的学习和讨论氛围也让很多老师深有感触,有定小目标的:

有“迷途知返”的:

欢迎大家加入医脉神经大家庭,一起快乐学习~
进群请添加微信号:medlive_xiaomai