50多岁的老方是一名退伍军人,加上平时很注重健身,他的身体素质一向很好,在家人和朋友眼中,是感冒发烧都少有的健康一族。不过最近,自我感觉良好的老方,因为肠炎住院时发现了一个大问题,做胸部CT筛查,检查显示胸腔内长了个大瘤子,而且再晚发现半年至一年可能会失去手术机会,危及生命。手术成功后,老方感叹:再也不敢自恃健康了,每年的这个常规动作千万不能少!

入院检查发现巨大肿瘤
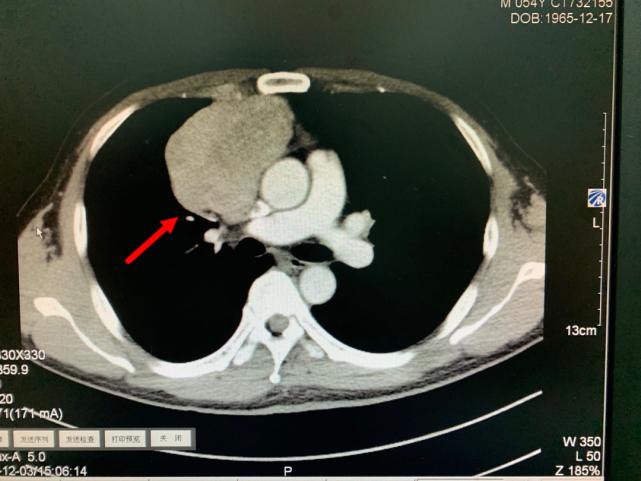
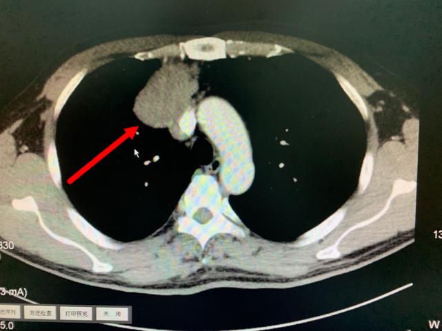
今年11月份,老方因“肠炎”在浙江省立同德医院肛肠科住院。“新冠”期间住院需要常规做胸部CT筛查,检查出来的结果却让他和医生们大吃一惊,胸部CT显示:胸腔内存在一个巨大肿瘤即纵膈肿瘤,大小约10.0cm×6.5cm×7.0cm,大小和一个成人男性拳头差不多。肿瘤紧靠着肺部、心脏及大血管,且与部分大血管有粘连,对重要的脏器已经造成了挤压。在确定胃肠道没有严重病患后,老方被转入心胸外科进一步作检查、治疗。

纵膈肿瘤瘤体越大,手术难度、风险越大,所幸手术很成功
浙江省立同德医院心胸外科叶中瑞主任医师介绍,纵膈位于心脏上方,两肺中间的区域。在这个区域里有心脏及出入心脏的大血管、食管、气管、胸腺、神经及淋巴组织等,因而可能出现多种多样的肿瘤。总体来讲,纵隔肿瘤发病率不高,临床上把直径大于10cm的纵隔肿瘤称为巨大纵隔肿瘤。

箭头所指为巨大纵隔肿瘤

肿瘤与周围血管存在黏连
叶中瑞主任医师通过进一步增强CT检查发现,老方体内的肿瘤巨大、与相邻的重要脏器粘连,界限不清,手术难度较大,且微创手术不适合,于是采取正中劈开胸骨的手术方式。手术过程顺利,术后恢复良好。第二天即下床活动。术后病理结果显示:纵膈肿瘤性质为中度恶性的胸腺肿瘤,后续还需要做进一步的放射治疗,以防止复发。老方在庆辛之余,他告诉叶中瑞主任医师,自己从今年开始每年都按时做体检,争取做到疾病早发现、早治疗,避免错过疾病的最佳治疗时机。
超过50岁的人,定期体检很重要
“这种肿瘤只要没长大到一定程度,日常很难发现异常症状,除非是做胸部CT检查。”叶中瑞主任医师提醒,部分纵膈肿瘤发病隐匿、缓慢,从老方的情况来看,他的肿瘤就已经长了一段时间了。因此,定期体检非常有必要,低剂量胸部CT筛查有助于早期发现纵膈肿瘤、肺部小结节等胸腔部位的常见异常病变。一旦确诊是纵膈胸腺肿瘤,即使是良性的,应及早手术以防恶变,或者防止肿瘤发展至压迫到动脉、食管等身体脏器或组织。

来源:浙江省立同德医院