2020-2-6 阴天
2⽉6⽇呼吸困难加重,不吸氧氧饱和度只有84%,吸⾼流量氧后,氧饱和度94-96%,总有胸闷,主要是胸⼝发紧。呼吸频率⽐以前稍快,我晨起测了⼀下,⼤约是28-36bpm。还有发热,主要是午后开始,先有畏寒,然后发热。
我的隔壁+53床是加床,患者曹⾰胜前天⼊院,年龄⽐我⼤3岁,身⾼和我差不多,稍胖,主要是腹型肥胖,他肺部也是⼏乎⽩肺,呼吸困难,活动后⽓喘,也和我⼀样有⾎性浓痰,但是量不多。他刚在外院拍了CT⽚,因此⼊院没有再安排拍⽚检测。核酸检测阳性。他家⾥⺟亲刚去世,是他⼩姨帮着料理的后事。他和他妻⼦都感染上新冠肺炎,他妻⼦在⼋医院住院治疗。刚住院时情绪也很沮丧,还暗⾃流着眼泪。他的⼉⼦刚⼯作,由于疫情不能⼯作,⾃⼰⼀⼈在家隔离。他的亲戚朋友倒是很同情他,不停打电话劝他坚强。他其实也是个挺有毅⼒和坚强的男⼈,在⾯对⾃身疾病和家庭变故的双重压⼒下,他挺住了。有时候我真佩服他的坚强。他看到我打着免疫球蛋⽩,问我从哪⾥弄到的,我说⾃⼰买的。其实我没有说真话,我只买了20瓶免疫球蛋⽩,在我们医院已经打了⼋瓶,剩下的12瓶在⼊⾦银潭医院的头两天就打完了。昨天和今天的免疫球蛋⽩其实是公费的,也就是不花⾃⼰钱的。他让他家⼈在新药特药商店买了24瓶免疫球蛋⽩,这样他准备打4天。在⼊院的新冠病毒感染患者中,这种舍得花钱买⾃费药的情况很多,毕竟⼤家对这个疾病不了解,并且谁都想活着。我们喘着⽓聊着,互相交流感受。他已经知道我是医⽣,因为抢救患者⽽感染。他把我当作诊治第⼆医⽣,遇到不懂或者难以理解的医学问题,他都请教我。
吃过早饭,我感觉⾃⼰正在发热,有点畏寒,护⼠测体温37.6度,她要求我多饮⽩开⽔。接着就是⼲扰素雾化,按道理来说存在发热本不应该静滴免疫球蛋⽩,但是护⼠还是给我打了,也没向
医⽣反应。当然静滴药物中还有泮托拉唑和头孢哌酮/舒巴坦钠这个抗菌素。
上午谢主任查房,问我是否愿意使⽤瑞德⻄⻙这个药。⽬前这个药被媒体吹嘘成为治疗新冠肺炎的神药,⾃然我也想试⼀下,就签字同意参与这个药物的实验。具体条⽂我也没有看,就随便把⾃⼰名字签上了。
吃过中饭,我发现⾃⼰容易犯困,就迷迷糊糊睡了⼀觉。⼤约在下午三点钟左右,我被通知要转ICU。我听了⼤吃⼀惊,不知道为什么要转ICU,因为和我同样病情的曹⾰胜没有转。我有点不⼤愿意,喘着⽓收拾东⻄。并给科室负责⼈谢主任发了个微信,问她不转ICU⾏不⾏。她回复这个决定是⽀援⾦银潭医院的国家级专家的决定,并说转ICU是我的福份,很多⼈想转也转不了。我知道是蒋荣猛教授帮的忙,以为昨天晚上我把⾃⼰病情想他咨询了⼀下,估计是他觉得我病情严重,找⾦银潭医院的医务处的主任申请让我去七楼ICU。等我收拾好东⻄,听到护⼠⽤着对讲机焦躁地和外⾯的医护在联系,问要等到什么时候才转ICU。结果上⾯回复说有个患者病危,需要上ACOM,让我们先等⼀下。这⼀等就等到吃过晚餐了。⼀个南⼆楼的护⼠和医⽣推着我的床,把我送到ICU⻔⼝。进⼊ICU其实挺复杂的,有两道⻔需要从⾥⾯打开。我被推到ICU的⼤房间靠⻔的第⼆张床。在护⼠和医⽣帮助下,把我转到这张床上,床号6床。⼊ICU⻢上被安排抽⾎和作相关检查。护⼠们七⼿⼋脚地给我安好⼼电监测装置和⽆创呼吸机。晚上我发热到38.8度,护⼠给了我半颗静⻘栓,半夜退热,汗湿内⾐。我安静躺在床上,⼿机电也快没有了,我也就懒得给谁打电话了。

我在ICU使用无创呼吸机照片,身上被安装这各种监测导线。
后记:那段时间重症患者多,ICU拥挤和工作繁重,我进入此次患病最痛苦的时期。
2020-2-7 天⽓不清楚
我依然呼吸困难和⽓喘,躺在病床上,吃个饭要把氧⽓⾯罩拿下来,可是刚吃⼏⼝就胸闷和窒息难受,就把⾯罩带上吸⼏⼝。吃顿饭需要反复摘下⾯罩⼜戴上,就这样搞7-8趟。每餐饭其实都是狼吞⻁咽。隔壁的7床的患者就是不愿意这样吃饭,⼲脆拒绝吃了。我有强烈的活命的欲望,每餐我强迫⾃⼰吃下所有的饭菜,甚⾄以前不喜欢吃的鸡⾁。
ICU的治疗除了每天⽆创呼吸机给氧和各种监护外,还早晚给予⼲扰素雾化,⼀次沐舒坦雾化,⽪下胸腺肽,静滴美平和⽶卡芬静,还输了瓶⽩蛋⽩。晚上再没有以往的中⾼热和畏寒症状。不过我讨厌每天抽⾎检测和⾎⽓分析。这么频繁的化验检查,⽽且每次抽⾎都有6-10管,有时还有⾎培养,那些要的⾎更多,这样抽下去,肯定要弄出贫⾎,我是这么想的。

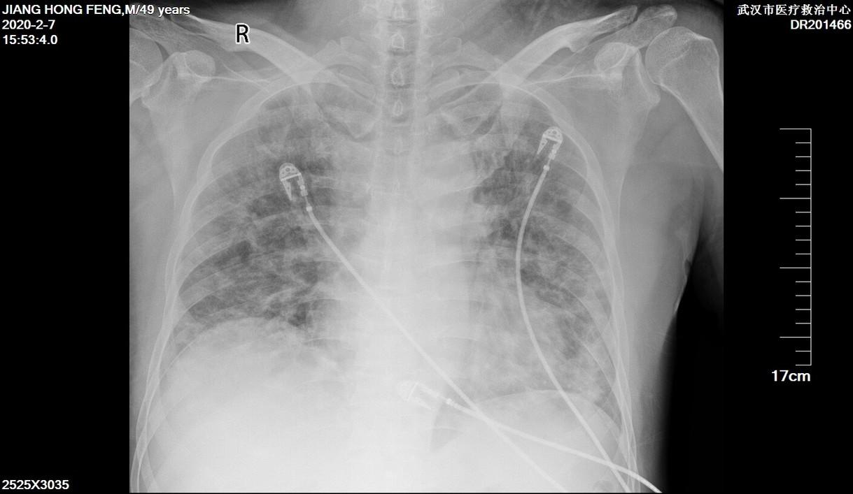
在ICU排的胸片,满肺都是絮状的阴影。
2020-2-8 天⽓不知道
我转科到⾦银潭医院七楼ICU已经2天了。ICU⾥很拥挤,中央⼀个⼩卫⽣间,在不到三⼗平⽅⽶的房间塞进了11张床,当然七楼还有其他房间。我住在靠近⼊⼝的第⼆张床,床号6床。这ICU主要由⼴州医科⼤学第⼀附属医院呼吸疾病研究所ICU桑岭教授和浙江医科⼤学第⼀附属医院ICU郑霞教授负责,可能是查完房后,郑霞教授负责⽩天的诊治,桑岭教授负责晚上的救治。当然还有来⾃全武汉市重症医学科的⽀援的医⽣。郑霞教授喜欢坐在中间清洁区通过对讲机指挥医护的救治⼯作,她声⾳洪亮,⾳调⾼亢,穿透⼒强。我好多次抬头寻找她的身影,没⼀次找到。我主要由桑岭教授团队负责治疗。桑岭教授个⼦不太⾼,⼈很和蔼,每次查完房会和清醒的患者握握⼿。在ICU这样封闭的环境⾥,找个⼈说话都困难,整天都是护⼠和医⽣忙绿穿梭的身影,由于穿着厚重的防护服和正压头套,他们负重很多,加上穿着鞋套,⾛起路来有沉重的沙沙的响声。
我的左床是⼀个昏迷的患者,做着⽓管插管,⽤着正压呼吸机通⽓,本来要⽤ECMO的,后来幸运地提⾼氧饱和度,⽬前⽤着各种输液泵8个,每天通过输液调节⽣命体征和⽀持和营养治疗。右边的患者是个有着⾼⾎压、糖尿病的患者,⻝欲不好,每天进⻝很少,只能进⻝流质饮⻝,精神焦虑和忧郁。⾥⾯的⼏个患者⼤多是神志不清,也插着各种管道的患者,全部⽤着呼吸机维持通⽓。我在ICU中属于病情相对较轻的,也需要使⽤⽆创正压呼吸机通⽓。我更关注的是监护和呼吸机上各种数据变化。我今天⾎压很⾼,达到了110/130mmHg,正泵着硝普钠降⾎压,氧饱和度波动在85-97%,⼼率波动在72-118bpm,呼吸25-34bpm。我绝对属于危急重症患者。我的精神中有着很深的恐惧感,特别是看了常凯的遗⾔书,我也考虑想写⼀份。我⼤部分时间脑⼦⾥浑浑噩噩的,也很难组织词语写出⼏句。我最后觉得要把⽀付宝和⺠⽣银⾏⾥的理财产品要转出来,虽然这些钱总数并不多,但是蚊⼦腿也是⾁啊!再说我夫⼈的那个⽊⻥脑袋定然不会想到我有这些钱,⼀旦销户,岂不成了⽆主财产。当然我只有这么⽄⽄计较了,因为我要是有个三⻓两短,她和⼉⼦就没有了⽣活资⾦来源,⽇⼦苦不堪⾔。我整天就这么胡思乱想,呼吸困难和⽓喘⼜让我难受,病情⼜没有⻅到明显好转,⽽ICU近来死了⼏个,也就是简单通知了下家属签个字就送殡仪馆烧了。特殊时期特殊对待,⼤家都这么处置,最难受的是死者家属,他们连死者仪容也看不到,⻣灰盒还只能等待疫情消失后再去殡仪馆领。
我在ICU的治疗⽤了好多药,什么药,我也⽆暇顾及。我的恐惧与⽇俱增,呼吸困难让我难受。我⼤致记得早晚⼲扰素雾化,还⼀次沐舒坦雾化,⽪下胸腺肽增强免疫⼒,静滴美平和⽶卡芬静抗感染和真菌感染,还输了⽩蛋⽩。我近来⾎象淋巴细胞明显下降,淋巴计数只有0.13x10^9/L,这是很危险的指标。肝功能AST和ALT增⾼,⽩蛋⽩29.9g/L,尿蛋⽩(+),IL-6增⾼。凝⾎机制中D⼆聚体增⾼,纤维蛋⽩原增⾼,CRP增⾼。系列不正常,提示我有细胞因⼦⻛暴⻛险和肺肝肾受损的实验室资料。但是想到家⼈、同事、同学的加油和⽀持,想到还未成年的孩⼦和年迈体弱的⽗⺟,我就暗暗发誓要努⼒活下去。我强制⾃⼰吃下每天的饭菜,努⼒多吃,尽可能身体快些恢复健康。
在ICU呆着,身旁的病友状态让⼈感觉瘆⼈。我因此多次提出转普通病房,但是专家组不同意。
不过在ICU也有让我感动的时刻:桑岭教授也是最让我感动的医⽣,在午夜三点他披挂上阵给⼀个氧饱和度降⾄78%的患者⾏纤⽀镜吸痰。他和其他医护⼈员⼀起给我隔壁的那个⽓管插管的患者翻身。护⼠们来⾃全国各地,但是他们都很敬业,常常给患者端屎端尿喂饭,深更半夜陪伴在患者身边,还有各种记录需要书写,他们态度都很好,没有⼈有怨⾔。
后记:我的发热、畏寒、寒战和咳胶冻状血痰以及腹泻都是在ICU期间缓解的。我一直都很感谢桑岭教授。在ICU,我发现他有老成的样子,其实他才三十多岁。

这个呼吸面罩是我从ICU带到普通病房的。刚从ICU下到普通病房的窘态。