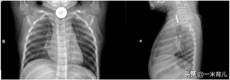
阿芮家5岁女儿把阿芮的耳钉吃了!看着既不敢大声哭、又不敢咽唾沫的女儿,阿芮急得像热锅上的蚂蚁,赶紧把女儿送到医院,幸亏医生在食道镜下把耳钉取了出来。

阿芮女儿吞食耳钉
近年来,关于儿童吞食异物发生意外的报道很多,有鱼刺卡在咽部,孩子痛得不吃不喝;也有误吞纽扣电池多日,孩子发生胃肠穿孔;吞食硬币、玩具、石子、磁性物品等例子也层出不穷。
确实,吞食异物是儿童常见的意外伤害性疾病,儿童正处于对这个世界充满好奇心却又缺乏危险意识的时期,总是喜欢把手边各种东西都往嘴巴里送,很容易发生消化道异物。
儿童吞食异物到底有哪些危害?应该如何避免这种情况的发生?一旦发生,又该如何应对处理呢?我们一起来了解一下。
一、了解儿童消化道异物那些事儿
消化道异物是指消化道内不能被消化且未及时排出而滞留身体内部的各类异物,消化道异物在儿童时期比大人更为常见。
世界上第1例关于儿童消化道异物的记载是在1692年,4岁的Brandenburg 王子吞下了1枚皮鞋扣件。
此后,在世界各地,儿童吞入异物的相关报道越来越多。 据文献记载,美国每年有1500人死于消化道异物,其中80%~85%发生于儿童,以鱼刺、硬币、电池、磁铁和玩具居多 。
1.儿童消化道异物的发生有什么规律吗?
- 常见部位
《中国上消化道异物内镜处理专家共识意见》中指出,在儿童消化道异物中,70% ~75%的消化道异物滞留于食管,以食管入口处最多见,其次为胃和十二指肠。
- 易发年龄
6月龄至6岁为消化道异物的高发年龄段。
- 常被儿童吞食的异物类型
儿童消化道异物大多数为:硬币、鱼刺、电池、磁性物品、玩具、毛发、别针、塑料笔帽、电动牙刷头、大头针、图钉、乳牙、笔头、枣核、鸡骨、螺丝钉等。
儿童吞食的常见物品中,硬币是最常保留在食管中的异物。
2.我们怎么知道儿童是否吞食了异物?
拒Arana等研究证明,在大多数儿童消化道异物发生时,50%是无症状的。
儿童吞食异物后的症状,也往往是非特异性的,较常见的表现有:吞咽困难、呕吐、流口水、咳嗽、呼吸困难和拒食,以及哭闹、烦躁、痰中带血、异物感、或咽喉、颈部、胸部或腹部疼痛。
大部分儿童消化道异物的发现,是因为家长发觉家内少了某个小物件、较大儿童自述吞食史、或者是吞食异物多日的儿童出现了腹痛等表现。
所以,家长对儿童的看护是十分重要的,儿童是否有吞食异物史能为儿童消化道异物的诊断提供最直接、最快速的证据,怀疑异物摄入的儿童一般需要行X片、CT等检查来确定。

儿童吞食曲别针
为什么消化道异物在儿童时期比大人更为常见呢?
二、儿童发生消化道异物的几率远大于成年人,是因为这2个因素
1.儿童心理特点
正处于生长发育时期的儿童,心智发育尚不健全,对自己生活的世界充满好奇心、活泼好动、自制力差,尤其是婴幼儿,喜欢用嘴巴去探索世界,缺乏自我控制意识,对于危险性因素却没有安全辨别的能力。
家长在看护儿童的过程中,不重视从小培养孩子的安全意识、创造安全的生活环境,也易导致儿童心理发育不够成熟。
2.儿童消化道生理特点
儿童咽部神经系统尚未完全发育,防御反射能力差,磨牙发育不全,食物未经充分咀嚼下咽,也是儿童更容易发生消化道异物的原因之一。
而且,儿童咽部粘膜质软,疏松,扁桃体肥大突出,以及扁桃体窝、梨状窝等隐窝的存在,容易使鱼刺、肉骨等尖锐异物刺入并停留。
另外,儿童食管异物的发生率在儿童消化道异物中占有很高的比例,这与儿童食管的4个生理狭窄部位有关:
- 第1狭窄为食管入口( 最多见)
- 第2狭窄为主动脉弓横过食管前方处
- 第3狭窄为左主支气管横越食管前壁处
- 第4狭窄为食管穿过膈的食管裂孔
因第1狭窄前面有环状软骨弓,后面有环咽肌,同时受胸廓入口的限制,各种组织紧密排列,因此,食管入口处为儿童食管异物最常见的好发部位。

鉴于以上原因,儿童在玩耍、进食、嬉笑时,容易将手中的物品、食物等不慎咽下,被儿童吞食的异物可谓是五花八门,那这些消化道异物到底会对儿童造成哪些伤害呢?
三、消化道异物会对儿童造成哪些伤害?
消化道异物在儿童消化系统中的移行路线为:咽→食道→胃→肠道→肛门,最终排出体外。
我们分别从异物种类、异物嵌顿位置来了解消化道异物对儿童造成的伤害。
1.根据异物种类不同,儿童消化道异物常见3种伤害类型
消化道异物种类多样,因其在消化道停留的位置不同,对身体造成的损伤也各不相同,较为严重的主要有3种伤害类型:
- 刮伤(消化道内壁被划破)
- 穿孔(消化道被尖锐异物刺穿或者腐蚀性异物侵蚀,损伤周围重要脏器)
- 肠梗阻
一般来说,体积比较小、外观较圆滑、不尖锐的物品,一般可以自行排出体外,不会对儿童的身体造成很大的伤害。
表面尖锐、锋利或有毒的消化道异物,往往能对儿童的消化道造成不同程度的刮伤、穿孔、梗阻等损伤。

消化道毛发异物、枣核异物、纽扣电池异物
2.根据儿童消化道异物嵌顿位置不同,常见3个部位的伤害
- 咽部异物
儿童咽部异物是耳鼻喉科常见急诊,多为鱼刺、碎骨片、果核、针、麦芒等,其异物所在部位
有鼻咽、口咽和喉部3处。
咽部神经丰富,感觉灵敏,很小的异物便会引起儿童不适、刺痛、异物感,如果不及时取出,有可能会发生局部破损、感染等并发症,尤其是较小的婴幼儿会表现为不吃不喝、易哭闹等。
- 食管异物
在儿童消化道异物中,70%~75%的消化道异物发生在食管,以食管入口处最多见。
儿童食管异物的表现与成人有所不同,多为哭闹、拒绝饮食、吞咽困难、流涎、呕吐等,有时候孩子也会自述胸痛,部分可表现为呛咳、咳嗽、痰多、呼吸困难等呼吸道症状,如果是锐利的异物或者是腐蚀性异物的话,极有可能引起食道穿孔,而引发食管瘘、出血等意外。

食道异物常见类型分布

男孩吞食硬币
3.进入胃肠道的异物
儿童吞食异物后,卡在食道的异物可能会逐渐移行至胃肠,也可能未在咽、食道停留,直接进入胃内。
进入胃肠道的异物,如果体积较小、边缘规整无棱角、不锋利的物体,如钱币、戒指、玻璃球等,儿童一般无明显的不适;尖锐、具有腐蚀性或者其他毒性的异物,可能会发生胃肠穿孔、出血、感染、肠梗阻等,让孩子出现以下症状:
- 恶心呕吐
部分儿童在吞食异物后会出现恶心、呕吐等症状,以婴幼儿为甚,且多伴有精神萎靡、流涎、拒进食等。
- 腹痛
如果儿童意外吞食体积较大、边缘不规整、锋利尖头的物体,或吞食有腐蚀性的异物,孩子会出现腹痛,不能用语言表达或表达不清的婴幼儿多表现为哭闹。
吞食锐利异物后,腹痛多为上腹部;随时间的延长,异物逐渐移行至远端消化道,可出现脐周、下腹部甚至全腹部疼痛不适,甚至引起肠梗阻。
- 其他临床症状
婴幼儿患者吞食异物后,除精神萎靡、拒食、哭闹、躁动外,还可能出现低热等症状。

消化道异物常见并发症
儿童消化道异物极有可能给孩子们造成不可逆转的伤害,与其在发生危险后再纠正,不如提前培养孩子的安全意识,避免危险的发生。
四、儿童消化道异物,预防是关键
预防是避免儿童吞食消化道异物的关键,家长应正确引导孩子,避免儿童消化道异物的发生。
要做到有效预防儿童消化道异物,我们可以做好以下10点:
- 家长应提高儿童消化道异物防范意识,为孩子创造安全的生活环境;
- 从小帮助孩子养成良好的进食习惯,创造安静、整洁的进餐环境,避免边吃饭边玩耍;
- 教育孩子在生活、学习中养成良好的习惯,不要用嘴含着笔盖等小物件追逐打闹,避免误吞异物;
- 家长要有安全意识,避免让孩子接触和玩耍硬币、纽扣电池及玩具零件等小件物品;
- 目前腐蚀性异物造成食管、胃肠道的损伤都较严重,应特别注意将腐蚀性异物置于儿童不宜接触的地方;
- 儿童玩具的生产也应符合国家及国家有关安全标准,以保障孩子的安全;
- 注意饮食卫生,避免误吞动物毛发而致毛发性胃结石,避免空腹进食大量柿子、山楂、黑枣等而引起植物性胃结石;
- 新生儿避免服用浓度过高的奶粉可有效预防胃乳石的形成;
- 与孩子分享消化道异物的案例,帮助孩子认识到吞食异物的危害,养成安全意识。
- 家长在看护孩子时,务必做到尽职尽责,防止因看护不利导致的儿童消化道异物。

那一旦发生儿童消化道异物,我们应该怎么办呢?
五、一旦发生儿童消化道异物,我们可以这么做,8个要点护娃安全
儿童消化道异物的基本治疗原则为尽早取出异物,防止并发症的发生。
儿童消化道异物的处理方式主要包括自然排出、内镜处理及外科手术。
80%~90%的儿童消化道异物可自行排出;
10%~20%的儿童消化道异物需要内镜处理;
仅有 1%的儿童消化道异物需要外科手术。
如果一旦发现孩子吞入异物,作为家长,我们可以按照以下8个要点来处理:
- 发现孩子吞食异物时,不要训斥或逗孩子,以免孩子大笑或受惊吓,将异物或食物吸入气管引起窒息。
- 多数情况下,吞食异物的孩子没有任何症状,只有少数宝宝会出现不愿进食、呕吐等情况,但是不管什么情况,我们都应该尽快带宝宝去医院就诊,排除危险因素。
- 如果发生口咽部的异物,如鱼刺、碎骨片、缝针等,容易刺在口咽部扁桃体或其附近组织上,我们可以在光线充足的条件下,让孩子张大嘴巴,安静呼吸,用压舌板或筷子把舌面向下压,使咽部暴露清楚,观察异物的位置,小心地用镊子或钳子夹拨出。
- 如果发生食道异物,如骨头、鱼刺等,要避免让孩子再进食,防止将异物推向更深处,加重食道黏膜损伤和危险;也要避免喝水,以免异物遇水膨胀导致卡得更严重;避免硬抠、拍背、盲目催吐,或让孩子吞饭团、吃韭菜,喝醋等,这些措施都很可能让异物越扎越深。
- 如果不小心吞下筷子、金属片、刀片等边缘锋利的物品,必须要竭力避免发生呕吐,否则后果将不堪设想。
- 大多数光滑、体积小、无害的小异物,会随着食管的蠕动自行下滑至胃肠部,给孩子多吃一些富含纤维素的食物,如芹菜、菠菜等,异物一般可在2~6天内自行排出,我们仔细检查粪便,确定异物已经随粪便排出就可以了。
- 儿童若是吞食危险性高的异物、尖锐的异物、有毒的异物等,应根据医生建议在内镜下尽快取出。
- 孩子出现腹痛、便血、发热、呕血等情况,或者是连续3天在肠道中下行的危险性异物,长度大于5厘米、宽度大于2厘米的异物时, 可能需要考虑手术取出。

当我们发现孩子吞食异物时,可以根据以上原则做好院前处理,尽快将孩子送往医院,根据孩子的具体情况,配合医护人员选择最适宜的治疗方式。
此外,在儿童消化道异物中,鱼刺、纽扣电池、磁性物体、水养球等特殊异物的发生率越来越高,其造成的损伤、采取的处理措施与其他异物也有不同之处,我们一起来了解一下。
儿童消化道异物,还需要知道这几种特殊情况
- 鱼刺异物存在诸多处理误区
民间处理卡鱼刺的方法有很多。
如有些家长会期望通过喝醋将鱼刺软化,但是醋对鱼刺的软化作用需要时间太长,而鱼刺极有可能随时移行,所以这种办法是无效的。
为什么我们有时觉得食醋软化鱼刺有效?
这可能是因为我们含着或者吞咽食醋时,咽部黏膜受到酸性的刺激会发生肌肉收缩,将鱼刺挤入咽部而被咽下。
有些家长会通过让孩子强行吞咽饭团、蔬菜等,希望将鱼刺带出,这种方法可能使鱼刺刺入更深,或者使鱼刺卡入食道,引起糜烂、溃疡,甚至穿孔,是十分危险的。
当发生儿童卡鱼刺时,可以让孩子张大嘴巴,观察鱼刺位置,如果位置较浅,可用镊子轻轻取出;较深的鱼刺需尽快到医院进行处理。
另外,家长在给儿童喂食鱼肉时,应尽量将鱼刺挑出;进食鱼类食物时应细嚼慢咽,不宜说笑,走神;不宜给婴幼儿食用鱼肉或鱼汤拌饭等食物,以免混入鱼刺。
- 纽扣电池变老虎?
越来越多的玩具、家用电器中使用纽扣电池。据统计,儿童吞食纽扣电池的发生率约为 6/1000000~15/1000000。
因纽扣电池含有重金属及化学复合物,对食道壁具有较强的腐蚀性,儿童吞食纽扣电池后,能对食管造成阻塞和碱性化学物质烧伤,极易导致食管穿孔、气管食管瘘、大出血、食管狭窄等严重并发症。

一旦发生儿童误食纽扣电池,应尽快送医院诊治,制定适宜的治疗方案对孩子的预后十分重要。
有些直径较小的纽扣电池可通过胃肠道,几天后随粪便排出体外;但如果电池直径超过20毫米,则可能会嵌顿在食道中,需要快速诊断和迅速取出。

儿童吞食纽扣电池临床特征
纽扣电池食管异物已成为全球性问题,每一个家庭都应该做好对纽扣电池的管理,与孩子一起了解纽扣电池的危害,预防意外情况的发生。
- 磁性异物的吞食越来越常见
曾有病例报道,1岁男孩因呕吐9天至医院就诊,检查发现其胃内存有磁石5颗,排列成条状,引起孩子胃底溃疡,医生通过胃镜将磁石取出。

误服磁性异物的病例
误食磁性异物,尤其是多颗磁性物体时,因磁性作用,异物会相互吸引成排或者成团,难以自行排出,长时间压迫儿童胃肠道内壁,极易造成组织缺血坏死,而引起胃肠道穿孔、内瘘、肠梗阻等并发症。

磁珠在儿童体内相互吸引成排引发肠梗阻
如果发现儿童意外吞食磁性物体,应该引起家长高度重视和警惕,尤其是多颗吞食,应立刻带孩子到医院就诊处理。
- 深得儿童青睐的水养球也十分危险
水养球是近年来在中、小学生中流行的一种玩具,也称为“水晶球”或“水晶宝宝”,主要化学成分是聚丙烯酸钠。水养球吸水性很强,放在水中培养可膨胀成原来体积的几倍甚至十几倍。
水养球一旦被儿童吞入体内, 能够吸收胃肠道的水分,逐渐膨胀引起肠梗阻,不易被自行排出,大多数需要尽早行手术治疗。
发现孩子误食水养球后,应避免给孩子喝水,尽快就诊处理。

在儿童体内膨胀的水养球
消化道异物是儿童常见的意外伤害之一,发病率高,异物种类繁多,对儿童生命健康造成较大的威胁。
家长们应该对儿童消化道异物引起足够的警惕与重视,为孩子创造安全的生活环境,尽早有效地对儿童进行安全教育,预防儿童消化道异物的发生;一旦发生消化道异物,应在家中正确的进行院前处理,尽早带孩子至医院就诊,配合医护人员正确处理,将消化道异物对孩子的伤害降至最低。