最近有一部叫做《我的前半生》的剧,不仅刷爆了朋友圈,还成为了人们茶余饭后的热门话题,什么“看唐晶如何把男朋友送给闺蜜啦?”,“看罗子君家庭主妇变精英的成长之路。”“陈俊生的渣也是没谁了。”。。。。。。。N多个话题,有些也是刷新了人们的三观。

比如就我自己看了开头就想到结尾贺涵和罗子君互相喜欢,就不想看了,在我这里,无论什么原因,面对多年的闺蜜在你最困难的时候,毫无保留的帮助你,就不能出现这样的结局,不过也有好多人说是唐晶自己作的,有谁在明知道是求婚的晚上还去抢客户,说不结婚就不结婚,说回来就回来,可是故事的最后当唐晶说:“你永远都不会知道你今天错过了一个多么爱你的人”,同样的身为女生,这样的处境,我想我是可以理解的,因为害怕被平庸的生活打败所以努力工作,因为害怕深爱的人离开所以努力装成他喜欢的样子,我想每个有了喜欢的人的女生应该都会这样做吧。

可是比起心疼唐晶,诟病罗子君,沉迷贺涵,我更喜欢的是那个出场就自带光环的薛甄珠妈妈,没错就是这个登着十几厘米高跟鞋、烈焰红唇、眼波流转、大展着双翅、袅袅婷婷、在隔壁就能听到上海腔大嗓门作风火辣的上海老太太,彻底被圈粉了。

刚开始看的时候对这个老太太真的是毫无好感扭捏做作,爱占便宜,精明算计,就连去超市买个菜也自带小刀扒皮。但是后来慢慢品味,越来越喜欢这个老太太,喜欢这个每天穿得山青水绿,涂着大红唇,戴着珍珠项链,走路带风自带喜感的老太太。面临子君离婚,除了苦口婆心劝说之外更多的则是鼓励安慰,尤其是跑到辰星去替女儿撕小三的时候,看的最是解气。她的“不是只有你们年轻人懂得罗密欧与朱丽叶,我们岁数大的,碰上一个真心相爱的特别不容易,我就是上天入地也得找到他!”,还对脑溢血卧床不起的崔叔叔悉心照顾安慰。不知道感动哭了多少人。

可令人没想到的是,《我的前半生》还没结局,一向身体好、性格开朗的薛甄珠薛阿姨竟然去世了!这是什么鬼,薛甄珠女士身体不是一向都很好吗?为什么生病呢?薛甄珠小仙女的结局不应该是这样的啊。罗子君悲痛欲绝,崔宝剑伤心地拉着罗母的手,久久无法接受这个现实,悲伤的气氛蔓延开来。
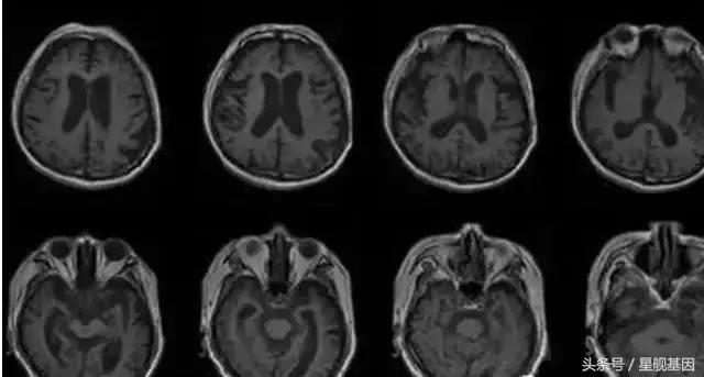
薛甄珠为什么会突然去世,她得的是什么病?薛甄珠得的是脑胶质瘤。
脑胶质瘤,又称神经胶质瘤,其中以星形细胞瘤和极性成胶质细胞瘤较为多见,其次是少枝胶质细胞瘤、室管膜胶质瘤、髓母细胞瘤,此外还可见到血管瘤、囊肿、畸胎瘤、结核瘤、转移性肿瘤等。

据文献报道,近30年来,原发性恶性脑肿瘤发生率逐年递增,年增长率约为1.2%,中老年人群尤为明显。中国脑胶质瘤年发病率为3-6人/10万人,每年死亡人数达3万人。
脑胶质瘤在发生之初,通常没有典型的症状。随着肿瘤的不断增大,会表现出如下症状:一是颅内压增高和其他一般症状,如头痛、呕吐、视力减退、复视、癫痫发作和精神症状等。另一是脑组织受肿瘤的压迫、浸润、破坏所产生的局部症状,局部症状依肿瘤生长位置不同而异。


脑胶质瘤这么凶险吗?的确,脑胶质瘤很凶险。胶质瘤系浸润性生长物,它和正常脑组织没有明显界限,难以完全切除,对放疗化疗不甚敏感,非常容易复发,生长在大脑等重要部位的良、恶性肿瘤,手术难以切除或根本不能手术。化学药物和一般抗肿瘤的中药,因血脑屏障等因素的影响,疗效也不理想,因此脑胶质瘤至今仍是全身肿瘤中预后最差的肿瘤之一。

不过,“薛甄珠突然晕倒、很快去世”,只是剧情发展的需要。在临床上,脑胶质瘤并非来势汹汹、令人束手无策,除手术切除、放疗、化疗外,基因治疗、靶向治疗、免疫治疗等的问世,以及转化医学的发展,都将有助于脑胶质瘤的治疗。
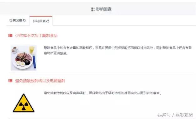
预防是最好的方式!
星舰 基因 神经 胶质瘤等疾病易感基因检测,提早知道自身的患病风险,防患于未然,让神经胶质瘤被消灭在萌芽阶段。改善生活环境,调整生活方式,避开易诱发因素,降低患病风险,真正做到早知道,早预防,早治疗!
神经胶质瘤

抑制因素

重点检查对象
