张先生最近发现右大腿部包块较前逐渐增大,长径约10cm,触摸包块质地软。该怎么办呢?
殊不知,张先生4年前右腿也有类似占位灶,当时已手术切除,术后病理提示:肌内脂肪瘤。
目前,针对再发的腿部包块,张先生与医师经过充分沟通后,选择了再次手术切除包块。术后病理提示:右腿肌内/肌间脂肪瘤(浸润性脂肪瘤)。
浸润性脂肪瘤是什么情况?与一般脂肪瘤和脂肪肉瘤有什么不同呢?
脂肪瘤是一种常见的软组织良性肿瘤,为正常脂肪样组织的瘤状物,好发于四肢、躯干。病因目前尚不明确,可能与遗传和脂肪代谢异常等因素有关,通常为体积较小的无痛性肿块,而且境界清楚、质感柔软、有弹性。经过手术治疗,预后一般良好。
浸润性脂肪瘤、侵袭性脂肪瘤,或肌间脂肪瘤, 肌内脂肪瘤,是一种少见的脂肪肿瘤,是良性疾病。临床常见于30~50岁男性,多发生于上肢、下肢、躯干等部位。该肿瘤生长缓慢、活动性较差、无包膜、浸润性生长于横纹肌组织内,可误诊为恶性肿瘤, 肿瘤由完全成熟的脂肪细胞组成。由于本瘤无包膜,并呈浸润性生长,与周围组织无明显边界。一般以手术治疗为主。本病术后复发率高,但极少恶性变。
脂肪肉瘤和脂肪瘤都会出现无痛性肿块,很容易混淆。但是脂肪肉瘤是一种恶性肿瘤,通常体积比较大,位置较深,多发生于下肢(如胭窝、大腿内侧)、腹膜后、肩部等处,可通过组织病理学检查鉴别。
体表包块彩超探查、CT或磁共振(MR)检查有助于上述包块性质的判定和鉴别,包块穿刺或手术切除组织病理学检查可明确肿块的性质,是诊断脂肪瘤或脂肪肉瘤的金标准。
普通人群若体表包块若质软、多年未有明显变化,一般相对稳定,良性可能性大。但是,一若发现体表包块近期明显增大,或破溃、出血、渗液等表现,或有肿瘤家族史者,建议及时就诊和进一步处理。

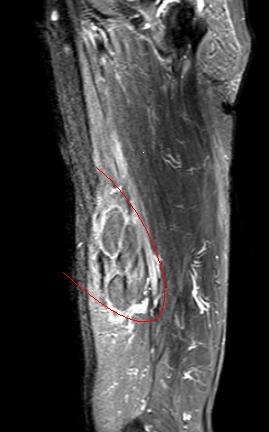
磁共振提示右腿部包块

磁共振示右腿肌内/肌间占位灶