来源:放射科那点事儿
细心的朋友们肯定会经常在X线胸片或CT检查报告中看到“两肺纹理增多增粗”这样的影像描述语,那么,肺纹理增多增粗该如何理解呢?今天,小编就跟大家简单讲解一下。
肺纹理的构成
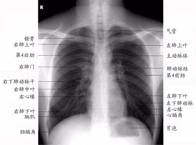
自肺门向外呈放射状分布的树枝状影称为肺纹理。肺纹理由肺动脉、肺静脉组成,其中主要是肺动脉分支,支气管、淋巴管及少量间质组织也参与肺纹理的组成。
胸片上的肺纹理
在正位胸片上,肺纹理自肺门向肺野中、外带延伸,且逐级变细,至肺野外围几乎不能辨认。在正常时,下肺野肺纹理比上肺野多而粗,而右下肺野肺纹理比左下肺野多而粗。

肺野的划分

正常胸片
肺纹理增多的情况
正常情况下,青壮年且血气比较旺盛者、大热天、剧烈运动以后、长期吸烟者,妇女经期、孕产妇等人群会有肺纹理增多增粗表现。
在病理情况下,如发热、肺炎早期,长期咳嗽,急、慢性支气管炎,某些心脏病或者心脏病后期(肺充血、肺淤血、肺水肿,心功能不全),淋巴性疾病,职业病相关性疾病等肯定会表现肺纹理增粗增多。

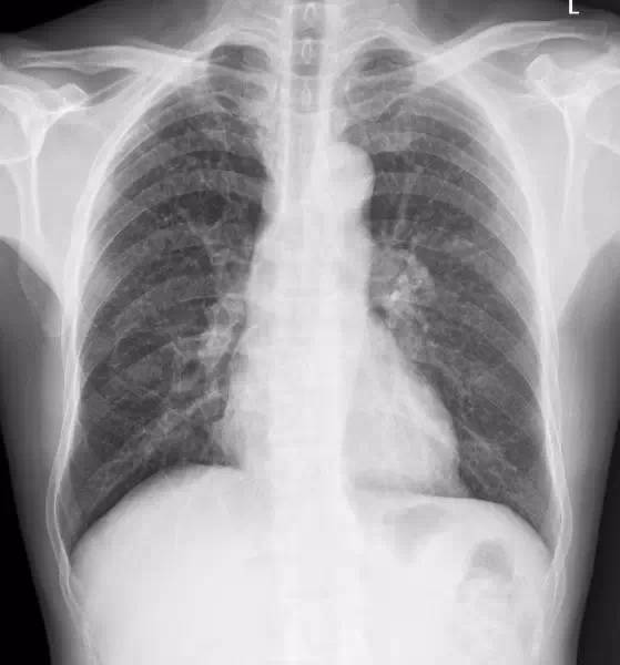
双肺纹理增多,双肺野散在多发细小结节影
肺纹理增多该如何理解?
某些设备因素,如在不同设备条件下所得到的照片或图像,会产生不同效果的肺纹理表现;同一病人在不同设备条件下也会产生不同效果的肺纹理表现。如普通摄影和数字化摄影效果就大不一样,后者由于分辨率高更能显示肺纹理结构;在主观判断上,不同放射科医生的阅历、水平、经验会有不同的判断标准;客观上不同工作场合的阅片条件、显示器的优劣影响判断效果。最后还得为了达成与临床医生之间的某种默契,作一些描述性诊断,以此消除病人的心理压力。
所以肺纹理增多的意义,没有一个客观的、可以量化的标准,与被检者自身的健康状况、设备因素、诊断医生的个人经验有关。引起肺纹理增多的原因很多,既可以是病理性的,也可以是生理性或技术性的。
一般来说,孤立地报告肺纹理增多,供临床参考价值不大。只有认真分析肺纹理增多的性质,并与其他X线表现和临床情况及技术条件结合起来综合考虑,才能得出正确的结论。也就是说,没有任何临床症状的肺纹理增多,完全可能是生理性的,即完全正常的。
参考文献:
1、白人驹主编,医学影像诊断学.人民卫生出版社,2009
2、沈海龙,《如何理解“肺纹理增多增粗”的X线报告》
欢迎您加入我们的微信群:请加管理员微信linchuangkuakao,请务必标注您的专业、学历、职称!