今天和大家分享的肺结节是一个不知道怎么来形容的肺结节。
男性 32岁 2月前体检发现左肺下叶背段实性结节,肺癌5项目肿瘤指标不高,无发热及其他不适症状。2个月后进行了复查,当时的电子版我也有阅片,下面我们来分享影像资料。


影像学改变,都会首先考虑到恶性病变

我们看看当时看诊的一些分析思路:
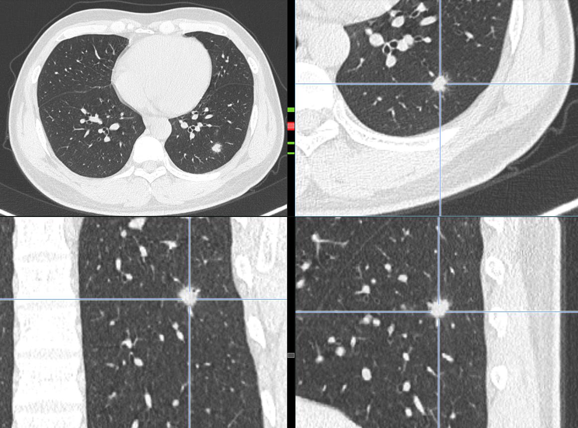
影像学是建立在高清影像的基础上的诊断,首先我们的图片要清楚,以下是患者家属提供的DICOM数据,分析时得到的图片。很多时候诊断不清楚,就是因为影像资料不清楚。





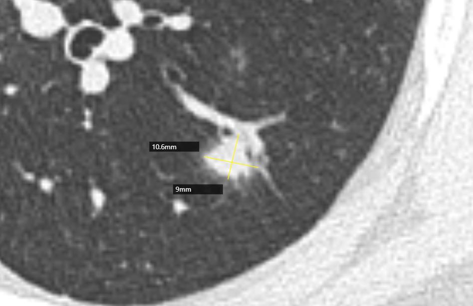
通过以上图片,病灶确实为实性结节,大小约1.0cm×0.9cm×1.0cm,呈浅分叶,周边可见毛刺,可见小血管穿入,但是影像学还是有一些不符合恶性肿瘤的特点:
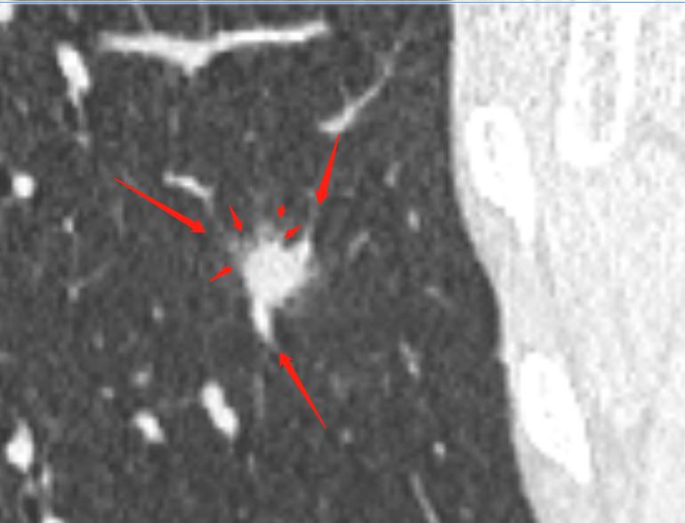
1.病灶周边有一些渗出性改变。
2.相对1cm大小的肺结节来说,周边的毛刺有点长。
3.病灶及周边有扩张的支气管影。
4.病灶周边血管明显有贴边征象。
5.病灶两个月前 大小约0.6cm×0.8cm,这一点还是很重要的,如果我们在看诊过程中只带胶片,很难比较的。
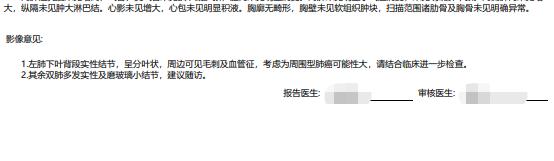
6.双肺还有多发类似实性小结节,病灶均较为模糊,虽然是实性结节,但相对更趋于新发的可能,没有纤维化。

当时建议等一等,巫医生也只能说到这里,即便恶性,过两个月手术还是来得急的。最后还是靠患者自己去判断和决定了,毕竟影像不能去保证100%。

作为一个影像科医生太难了,当地外科医生看到这个结节,就说了两句话:
(1)有血管长进去了,容易转移。
(2)即便是良性的切了也就安心了,不然总是一个定时*弹炸**。
随后患者进行了手术:
病理

真菌感染
太多的细节,比不上两句话。回过头来:也只能安慰自己,影像也就是个影子,最终决定权要交给临床医生。医疗诊疗过程中,避免不了错,但错也要错得有道理。
啥也不想说了……
关注我,关注早期肿瘤诊断,一起为健康加油!