临床工作中常常遇到孩子误吞硬币后,家长惊慌失措地带孩子来就诊的场面。
很多孩子喜欢把硬币当玩具玩,还喜欢将硬币放在嘴里,一不留神就将硬币吞下。

吞下硬币后,先不要慌。首先看孩子有没有痛苦的表情 。
如果有憋气,呼吸困难,气喘等情况,一般是硬币卡在喉部或气道里了 。这时候千万不要盲目的催吐,因为硬币不像其他的食物,体积相对大,质地比较硬,不一定能吐出来。如果不小心把它吸入气道就更严重了,随时会窒息并危及生命。这个时候一定不要惊慌,第一时间要拨打120,然后应用海姆立克急救法急救!
海姆立克急救法是公认的实用急救法,具体操作起来非常简单,只需将孩子扶于前臂,用手支撑住孩子的头部,另一只手在孩子的后背用力的拍打。或者把孩子倒立起来用力拍打宝宝的后背,用这个方法也有可能将异物咳出来。

如果吞了硬币后没有什么异常的表现,这种情况可能是硬币进入消化道了 。这时候要确认吞下的是什么硬币,是一角的、五角的、还是一元的,不同的硬币材质不一样,大小也不一样,如果是相对小的,一角的或者是五角的硬币,问题就相对简单点。不管怎样需要迅速前往医院检查。
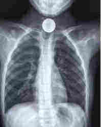
到医院后主要是排查胸部正侧位和腹部立位片,因为硬币为金属异物,所以在放射线下可以显出来,通过放射线片能够明确诊断,判断部位并且观察是否有硬币嵌顿和梗阻的情况。如果硬币在胃或食管内可以通过胃镜将其取出。如果硬币在肠道内并有嵌顿,甚至引起引起周围组织水肿及梗阻的情况,需要通过肠镜取出。

如果是小的硬币,孩子没有不适,硬币也没有嵌顿、梗阻又没有周围组织水肿等情况,一般在误服的3~4天,会随着胃肠道的蠕动与粪便一起排出。这时候家长要做的就是让孩子多吃富含维生素及纤维素的食物,例如韭菜,芹菜等等,这样能加快肠道的蠕动,从而帮助异物排出。
总之家长和老师要看护好孩子,提高孩子自我保护意识及应对安全事件的能力;对于没有自理能力的孩子,家长要避免孩子抓到危险物品,防止孩子误吞异物。
一旦发现孩子误吞、误食异物,请立即到正规医院就诊!

关注孩子安全无比重要,不要让身边的安全隐患毁了孩子的一生。
我是一名儿科主任医师,关注我,陪伴你让孩子更健康!