
小肠梗阻是腹部外科常见的急腹症,常见的症状为腹痛、呕吐、腹胀和肛门停止排气排粪。病情变化快,鉴别诊断困难,如诊治延误或不当,则后果严重。
随着高分辨率螺旋 CT 等辅助检查设备的普及,小肠梗阻术前诊断的准确率明显提高。重症监护和小肠减压等技术,以及抗生素和生长抑素等药物的应用,使小肠梗阻导致的病死率大幅降低。

小肠梗阻分类
小肠梗阻分类方式主要有病因、血液循环障碍与否、梗阻程度和梗阻部位4种分类方式。
依据病因,可将小肠梗阻分为机械性小肠梗阻、动力性(麻痹性)小肠梗阻、血运性小肠梗阻和不明原因的小肠假性梗阻4类。
- 机械性小肠梗阻的病因又可归纳为肠壁因素(肿瘤、炎性肠病、憩室和放射性肠损伤引起的肠管狭窄)、肠腔外因素(肠粘连、疝和肿瘤)及肠腔内病变(异物或粪石等)3类。腹部手术后的粘连是小肠梗阻的首位病因,占65%~75%;急腹症患者中有20%为粘连性小肠梗阻。
- 动力性小肠梗阻的病因包括神经源性疾病、代谢性疾病、药物中毒和感染性疾病。
- 依据是否存在血液循环障碍,可将小肠梗阻分为单纯性小肠梗阻和绞窄性小肠梗阻。
- 不明原因的小肠假性梗阻是一类慢性疾病,表现为反复发作的、以腹胀为主的肠梗阻症状,可伴有腹部绞痛、呕吐、腹泻甚至脂肪泻,体检时肠鸣音减弱。
- 依据梗阻程度和梗阻部位,肠梗阻可分为完全性和不完全性小肠梗阻、高位和低位小肠梗阻。

影像学检查
- 腹部 X 线立卧位平片和超声检查对肠梗阻初步诊断具有重要价值。
- 腹部增强CT对临床高度怀疑绞窄性肠梗阻、小肠肿瘤及肿瘤性肠套叠、局限性慢性肠缺血性病变等导致的小肠梗阻很有价值。因此,平扫或增强CT作为小肠梗阻的首选诊断检查。
- 高渗性水溶性造影剂在肠道中的流动性好、黏稠度低,能快速反映肠管扩张情况和梗阻部位,利于鉴别小肠梗阻的类型(高位或低位梗阻,完全性或不完全性肠梗阻),能为非手术治疗效果的评估提供准确参考依据。

小肠梗阻的非手术治疗
如没有腹膜炎、肠坏死及肠缺血的小肠梗阻,推荐先行尝试非手术治疗,尤其对于重要器官存在合并症、免疫功能低下及接受手术 治疗风险较大的患者,多选用非手术治疗。目前大多数专家认为,3~5 d 是安全合适的。

小肠梗阻非手术治疗的基本原则:
- 禁食、补液、补充水电解质,超过1周的禁食患者需肠外营养治疗;
- 胃肠减压,可减轻肠道内压力,进而减轻梗阻症状;
- 疼痛较明显的患者可使用解痉药物,但避免使用止痛药物;
- 动态监测腹部体征的变化,定期进行影像学评估判断病情变化。
生长抑素可改善小肠梗阻症状,提高非手术治疗效果。另外菌群移植能恢复肠道菌群紊乱,改善麻痹性或假性梗阻等患者的治疗效果。营养支持治疗亦能改善小肠梗阻非手术治疗的预后。

肠梗阻导管减压治疗
肠梗阻导管减压效果优于鼻胃管,可提高非手术治疗的效果。肠梗阻导管联合药物治疗对70%~90%的小肠梗阻患者有效。解决低位肠梗阻小众利器——肠梗阻导管置入术
肠梗阻导管经过内镜或X线透视下置入幽门下,因其顶端的水囊可通过自身重力和小肠蠕动,使导管不断推进,最大限度地靠近肠管梗阻处,持续吸除梗阻上方淤积的液体及气体,可迅速减轻肠壁水肿和肠腔压力,解除梗阻状态效果优于鼻胃管减压。
高渗性水溶性造影剂不仅可以检查小肠梗阻情况,而且可以起到治疗作用。因为造影剂相对于肠腔属于高渗性液体,从而减少肠壁水肿。另外高渗性液体本身具有刺激肠蠕动的作用,可促进粪便的排出,有利于恢复肠道的通畅性。

肠梗阻导管
经典病例
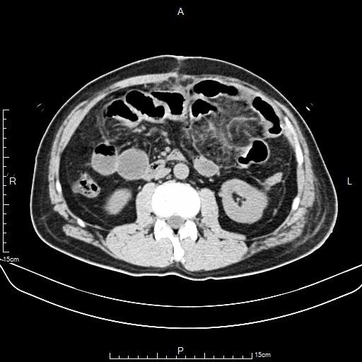
中年男性,乙状结肠吻合口瘘术后,腹腔感染,继发粘连性肠梗阻。

立位腹平片

上腹部CT

下腹部CT
- DSA下行经鼻肠梗阻导管置入,行快速抽吸、减压治疗。


肠梗阻导管技术优势
- 单纯性粘连肠梗阻能够插入梗阻部位的直接进行吸引减压,有效吸引肠内容物,较早缓解腹痛、腹胀症状,减轻或消除肠壁水肿,解除梗阻,避免手术。
- 克服传统消化道造影因肠管重叠诊断及定位困难的缺点,动态观察经导管注入造影剂的速度,诊断和判断梗阻的部位和程度、原因,为制定手术方式、选择手术切口提供依据。
- 可以经肠梗阻导管给予肠道灌洗或肠内营养支持辅助治疗。
- 可行术前充分肠道准备,争取一期手术,减少急诊外科手术及结肠造瘘,避免二次手术创伤,改善患者生存质量。
- 经过肠梗阻导管减压后,使部分患者有可能行腹腔镜手术治疗,使手术更加简单、易行,提高肠切除一期吻合术成功率。
- 能够作为小肠内支架导管进行小肠排列,降低并发症发生。

欢迎关注与点赞,更多胃肠道疾病微创介入治疗干货等你哦!