男性同志们有时候阴囊突然的红、肿、热、痛,自己摸着阴囊内有疙瘩,还有触痛,怎么回事?如果出现了上述症状,那么我们就要考虑是不是有附睾炎了,今天给大家分享一下有关附睾炎的相关内容。
附睾炎是咱们男性比较常见的生殖系统疾病,好发于中青年男性,临床上常见的症状就是红、肿、热、痛,我们日常接诊的患者也都是因为疼、摸着有疙瘩才来医院看病的。接诊的时候一般我们会问一下,最近有没有感冒、发烧,小便有没有异常,因为该疾病基本都是因为细菌性感染引起的。
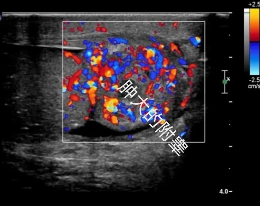
而超声检查也是最常用的检查手段,超声一般会发现附睾,尤其是附睾尾部,肿大,回声不均,血流信号丰富,触痛非常明显,有时候超声仪器的探头设备一碰,患者就疼得受不了,阴囊肿胀很明显的阴囊的*丸睾**鞘膜腔内可见到积液,这也是咱们有时候从外表看起来阴囊明显肿大的原因,附睾炎症比较严重的时候还会累及到*丸睾**和精索区,从而导致*丸睾**炎症,表现为*丸睾**肿大、血流信号丰富,精索炎症,表现为精索区域精索组织肿胀、回声增强、血流信号丰富。接诊的时候询问病史过程中发现一个共同的问题,只要是患者一摸到有东西,他们就非常害怕,其实通过上面介绍,摸到的疙瘩就是肿大的附睾,一些症状比较轻的患者刚开始其实就是疼,但这个时候好多男性同志们都不来检查,觉得可能就是有点不舒服,过两天就好了,结果等了两天,不仅没好,反而疼得越厉害了,自己一摸还摸到了疙瘩,结果心里就犯嘀咕了,有点担心了,才来医院检查,这样其实反而耽误了治疗。
对于附睾炎的治疗基本上就是抗炎治疗,应用抗菌药物,一般都治疗效果很好,很快就治愈了。男性朋友自己也可以做一些辅助性的治疗,多休息,尤其是卧床休息,疾病早期的时候,出现红肿的时候可以适当冷敷,最重要的其实还是及时就医。
通过上面的简单的介绍,相信大家对于附睾炎有了一定的了解,如果男性朋友们突然间发生了一侧阴囊的红肿热痛,要及时就医,早做超声检查,来诊断是否是附睾炎,从而可以及早的治疗,及早的恢复正常生活。如果朋友们还有疑惑的、不明白的地方,可以评论区留言,我会尽可能及时的回复大家,[玫瑰][玫瑰][玫瑰][微笑][微笑][微笑]。

肿大的附睾,伴有丰富的血流信号