鲁网8月25日讯 近日,*安泰**市中医医院脊柱外科在超声骨刀的帮助下完成一例腰椎滑脱腰椎管狭窄切开减压植骨融合内固定术。
患者腰部疼痛10余年,反复发作,8月前出现行走20分钟后腰痛加重伴右下肢麻木疼痛,需蹲坐缓解,1月前症状加重,步行距离不到200米即出现症状,于当地医院保守治疗无效,到*安泰**市中医医院就诊。
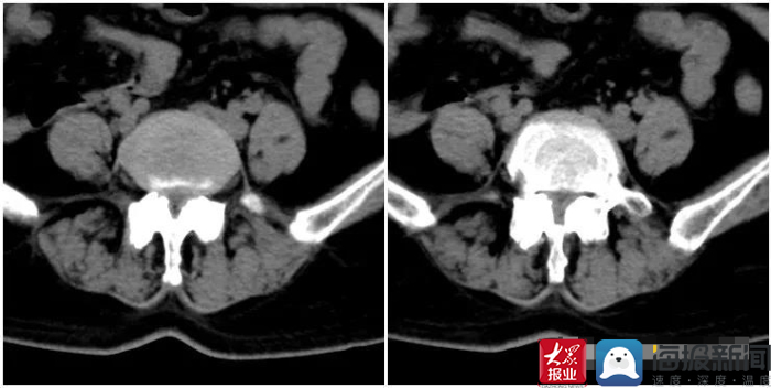
*安泰**市中医医院脊柱外科医师王乃舜对患者详细查体并完善相关检查后,发现患者多节段椎间盘突出,以腰4、5椎间盘为重,并相应黄韧带肥厚,腰4椎体滑脱,腰椎管严重狭窄,遂建议患者住院手术治疗。



考虑患者腰椎管狭窄严重,黏连较重,传统骨科器械操作时神经损伤风险极高,王乃舜决定采用一种新型的外科手术工具——超声骨刀为患者进行手术,术中以超声骨刀切断椎板、分离椎板及硬膜、分离粘连黄韧带。手术最终顺利完成,较之前传统手术方法极大的缩短了手术时间,减少术中出血,术后第二天患者即可以在支具辅助下自行下地行走,之前的症状也消失了。

王乃舜介绍道:超声骨刀是脊柱外科医生的“精准*器武**“,是众多新兴医疗高科技装备中的一个缩影,其发展历史短,技术难度高。其原理是通过超声的机械碎裂效应和空化效应发挥截骨作用,准确切骨,降低了手术风险。自带的冷却系统在降低骨刀产生热量的同时,还可以冲洗截骨产生的骨粒,使断端整齐。较传统切骨器械,超声骨刀在截骨过程中骨质出血量减少,能发挥局部止血作用,切骨和局部止血可同时进行。超声骨刀具有组织选择性,可根据不同组织的密度改变输出功率,对密度高的骨组织输出大功率以达到切骨的目的,但对周围硬膜及神经等伤害相对较小。