近年来,随着生活方式的多样化,孩子们休闲玩乐也变得五花八门;来去如风的平衡车,酷炫的滑板,五彩的轮滑,新奇的游乐设施……与此同时,各种意外伤害的发生几率也随之大幅度提升。
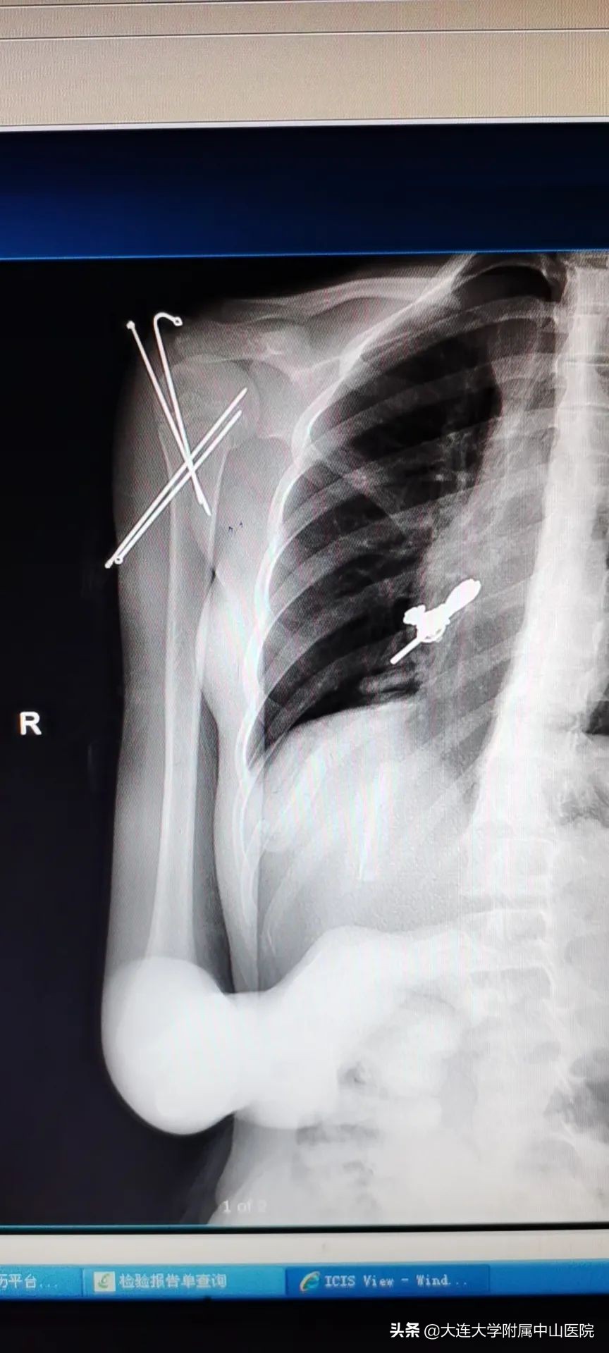
近日,11岁的小姑娘因摔伤致右肱骨近端骨骺骨折,外院就诊,医生建议切开复位做内固定手术,家长想想未来女儿胳膊上留有一道长长的刀疤,就心如刀割。经别人推荐,大连大学附属中山医院造船分部小儿骨科,无痛手法复位和微创手术技术精湛,于是便慕名而来。马晓伟主任第一时间接诊了患儿,小儿骨科医疗团队经过认真分析讨论,征求患儿及家属同意后,在全麻下为小姑娘施行了微创手术治疗。术后创面只有四个针眼,骨折复位效果良好,家长非常满意。

马晓伟主任介绍,儿童不是成人的简单缩影,他们有其自身特点,比如愈合快、治疗周期短、手术创面外形要求高等,这就给我们的诊疗提出了更高的要求,“简单内固定,有效外固定”是其治疗原则。闭合骨折,我们尽量争取在无创手法复位后给予可靠固定,尽量避免手术。如果无创手法复位不成功或者骨折端不稳定,我们也首选微创手术,用最小的创伤、最合适的治疗方案取得最佳的治疗效果。对待每一个小儿患者,我们都是根据病情为其制订最合适的、创伤最小的个体化治疗方案,最大限度地缩短治疗周期,让孩子们能早日回到正常的学习和生活中。

大连大学附属中山医院造船分部,自2019年3月成立小儿骨科以来,两年多时间,小儿骨折患者微创手术近300 例,治疗效果获得了患者和家属的高度好评,逐渐发展成为特色专业科室。
