脑转移瘤是指原发于身体其他部位的恶性肿瘤细胞转移到颅内并生长的一种表现,它和原发于颅内的肿瘤一样,可以出现头痛、呕吐、视物模糊、偏瘫、言语不清等表现。其实脑转移瘤是目前最常见的颅内肿瘤,其发生率要超过颅内原发性恶性肿瘤中最常见的胶质瘤。目前由于人体很多恶性肿瘤的发病率呈升高趋势,新的治疗方法和手段也不断增加,治疗效果越来越好,恶性肿瘤病人的生存期限也越来越长,这也客观上造成了颅内转移瘤的增加。人体很多恶性肿瘤的晚期远处转移都是脑内,脑的转移瘤非常常见,特别是肺癌的脑转移。肺癌的脑转移如此常见,以至于肺癌病人常规的检查中除了最早期的肺癌以外,都把头颅增强磁共振检查作为重要的筛查手段,以除外可能发生的远处颅内转移。最近我国最新的肿瘤流行病学年度调查结果出炉,肺癌仍然毫无意外处于发病率的第一位,而且逐年增长。肺癌是发生颅内转移最常见的恶性肿瘤,其次是乳腺癌以及消化道恶性肿瘤。少数情况下,病人发生了脑的转移,而查不到原发病灶,有的即使做了全身PET等检查都无法查出明确的恶性原发病灶,这种情况下的原发恶性肿瘤,往往肿瘤细胞更加原始,恶性程度更高,患者预后也更差。
脑转移瘤的临床症状
脑转移瘤往往经过血液侵入到颅内,其发生部位常见于脑灰质白质交界区域。其症状往往和肿瘤发生的具体位置有关,如果靠近运动区,则一侧肢体无力的症状往往出现较早。如果靠近语言区,则可能出现言语不利。如果肿瘤出现瘤内出血,则病人症状可能出现突然加重。颅内转移瘤多发很常见,即有多个转移瘤,分别在脑的不同部位。
脑转移瘤的诊断
脑CT及磁共振检查,尤其是磁共振检查是主要的检查手段。磁共振一般能够发现颅内异常信号,而头颅增强磁共振可以更加明确肿瘤的形态及性质。脑转移瘤往往以“小结节,大水肿”作为典型的影像学表现,以此来和原发于颅内的其他肿瘤鉴别。如果肿瘤多发,而且伴有全身其他器官的恶性肿瘤表现,比如肺部CT发现影像学恶性表现的结节,那么脑转移瘤的诊断基本可以确立。如果想进一步明确全身其他部位的转移情况,这时候可以考虑性全身PET检查。全身PET检查可以帮助明确一些未发现的原发灶及转移灶。
脑转移瘤的治疗
脑转移瘤的治疗方式和其他恶性肿瘤一样,包括手术、放疗、化疗、靶向治疗、免疫治疗等手段。恶性肿瘤发生了远处脑转移,均考虑晚期癌症,治疗目的不是治愈肿瘤,而是尽可能延长病人生命和生存质量。在靶向药物还很少的十余年前,肺的腺癌发生了脑转移,病人的生存期往往就只有几个月的生命,但最近数年靶向药物的大量问世,使晚期肺非小细胞肺癌(包括肺腺癌和鳞癌)特别腺癌的生存期大大延长,很多病人晚期发生脑转移仍然能够存活数年。故即使病人发生了晚期脑转移,积极的治疗仍然对很多病人有很大的价值。
发现了脑转移,第一步要考虑能否手术切除,手术切除仍然是直接去除肿瘤的最有效方式。但脑转移瘤适不适合手术决定于很多因素,其中最重要的比如病人的全身状态及原发灶的情况,转移瘤的多寡(一般3个及以下称之为寡转移),转移瘤的大小及部位,手术切除的难易程度等等都是医生要综合考虑的内容,不能一概而论。如果一个肺癌患者已发生很多个脑转移瘤,而这些转移灶又很小,或者位于很重要的脑功能区,可能手术就不是一个明智的选择,这个时候可能直接原发部位(比如肺部肿块)的穿刺活检明确病理诊断,同时加做肿瘤的基因检测,如果肺腺癌同时又有EGFR突变等,这个时候靶向药物就是一个很好的选择,特别是能够透过颅内的第三代靶向药物。如果有单个比较大的转移灶,这个时候手术切除还是一个比较不错的选择。如果肿瘤的病理是小细胞肺癌等没有特殊靶向药物可选的恶性肿瘤,这个时候常规的放疗化疗可能就是唯一的选择。脑部转移灶较多时,全脑放疗对病人效果更好,如果孤立转移灶也可以局部放疗比如伽马刀照射等等。总之,脑转移瘤的治疗需要考虑病人的全身情况,综合判断,综合治疗,才能尽力延长病人的生存质量和生存期。
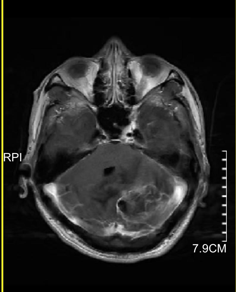
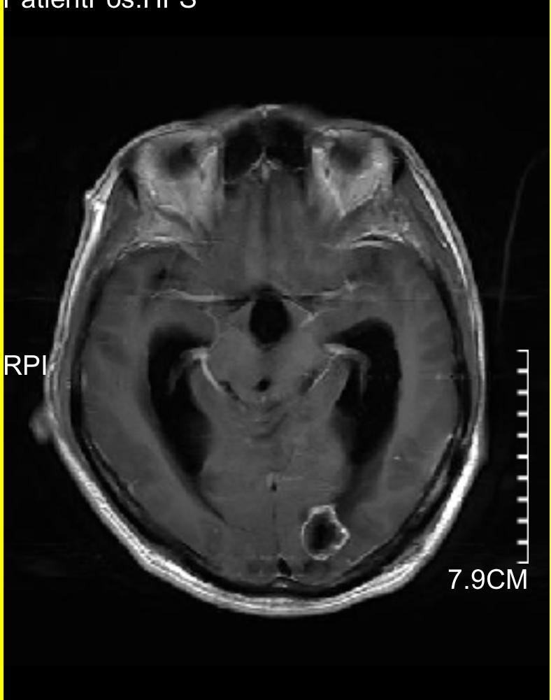
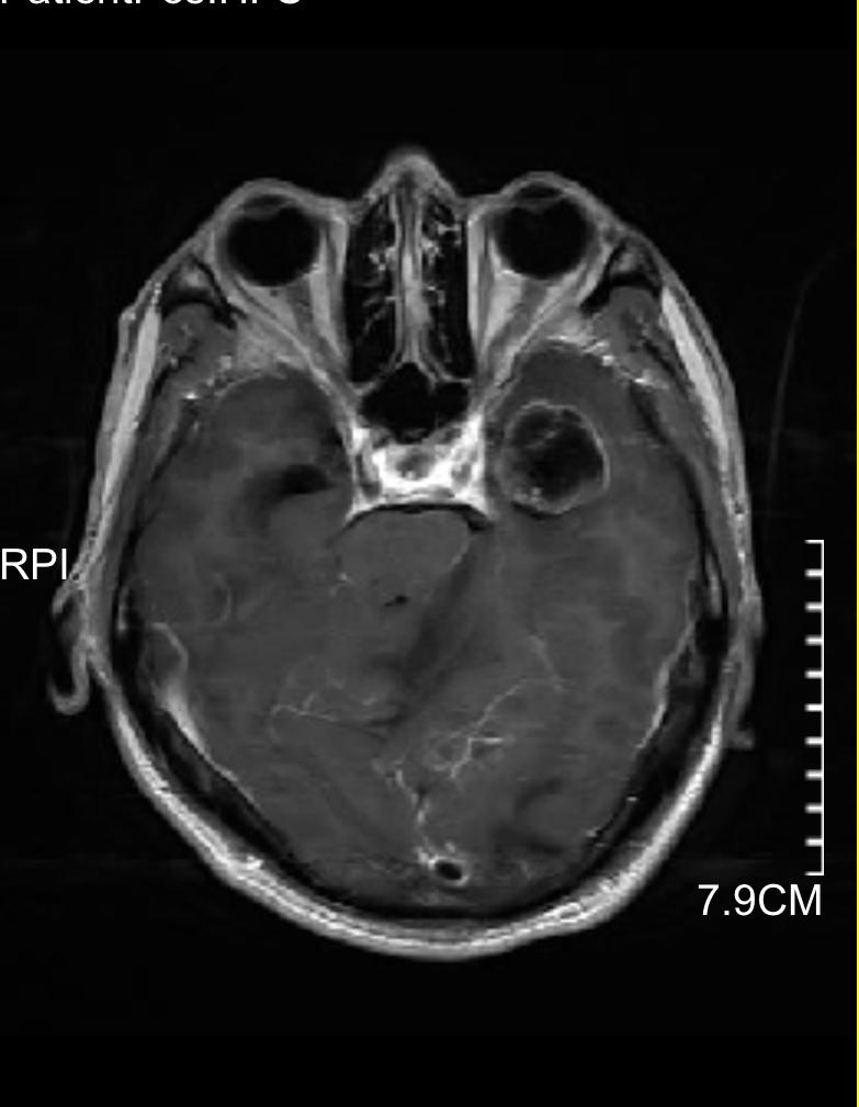
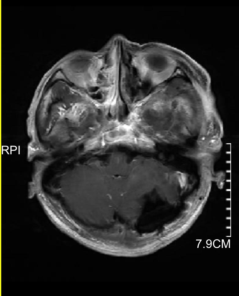
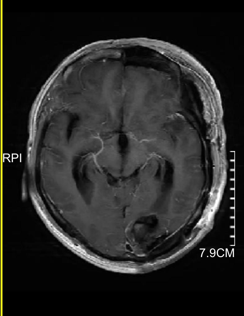
下图的病例是一个以头痛、行走不稳为主要表现,查头颅磁共振发现颅内三个大的转移灶,同时肺部发现巨大肿瘤,脑内病灶给予全部切除,术后根据基因检测结果进行化疗及靶向、免疫治疗。

小脑巨大转移瘤

顶部稍小转移瘤

颞部巨大转移瘤

小脑转移瘤已切除

顶部转移瘤已切除

颞部转移瘤已切除