孩子出现恶心呕吐,常常为消化道疾病主要症状,对症支持处理后多数很快痊愈。但需要警惕的是,频繁的恶心、呕吐,且合并头痛症状时,很有可能是脑子里的肿瘤在作怪。5岁女童起初出现恶心呕吐症状时,家长及当地诊所当“胃肠炎”治疗,一直得不到改善,后来才查明是颅内巨大肿瘤伴脑积水引起的。
1月初,家住佛山5岁的小女孩瑶瑶(化名),突然呕吐了几次。当时瑶瑶正好有些低烧,家长以为是新冠病毒引起的胃肠炎,于是带瑶瑶到附近诊所就医。吃了护胃药几天后,瑶瑶的症状有所好转,慢慢退烧了,家长便没再把此事放在心上。
过了十多天后,瑶瑶再次出现恶心、呕吐,并且说头痛。一听症状加重了,家长担心不已,赶紧带瑶瑶去上级医院检查。头部CT检查结果竟然提示瑶瑶的小脑部位有一个大肿瘤。瑶瑶父母吓了一大跳,经熟人介绍,1月16日,来到广东三九脑科医院寻求进一步诊疗。
我院神经外二科主任林涛接诊了患儿。根据影像资料,林涛初步诊断为低级别胶质瘤可能,伴梗阻性脑积水,而且患儿已经出现慢性扁桃体下疝,精神状态极差,病情急重。

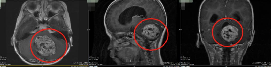
术前影像检查(脑干背侧可见巨大肿瘤,血供较为丰富)
针对患儿的情况,主管医生曾永亲立即给予脱水治疗。治疗后,患儿头痛、恶心和呕吐等症状好转,精神状态也好多了。
完善相关检查,大外科首席专家陆永建教授和林涛主任带领团队进行了术前讨论,最终制定手术方案。1月18日,神经外二科在全麻下经枕下后正中入路为患儿行脑干背侧肿瘤切除术。
手术顺利,术后病理结果提示为毛细胞星形细胞瘤CNS WHO分级:1级。

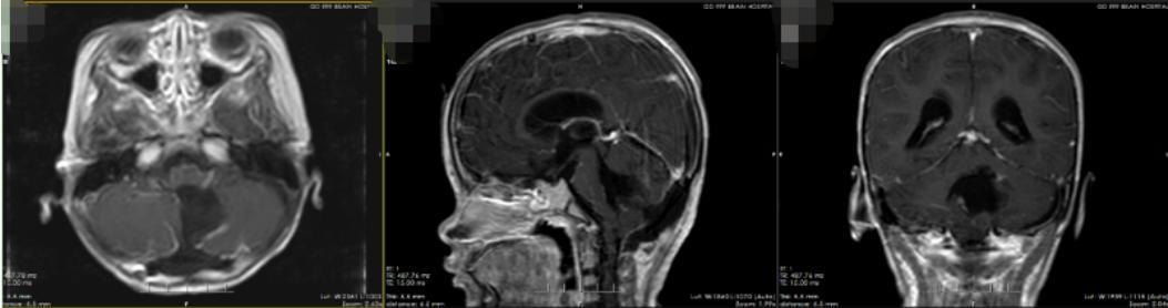
术后影像检查(提示肿瘤全切除,脑积水及脑疝明显缓解)

术后病理
术后,瑶瑶恢复良好,头痛及呕吐症状已消失,四肢可自主活动,但存在平衡障碍。经过一段时间康复治疗,瑶瑶慢慢地能在父母搀扶下走路,出院时已经能独自短距离行走。
林涛介绍,毛细胞星形细胞瘤是一种良性中枢神经系统肿瘤,好发于儿童及青少年。该肿瘤属于低级别星形细胞瘤,生长缓慢,临床表现为头痛、呕吐、步态障碍、视力模糊等,早期比较难发现。该类肿瘤一般仅需外科手术切除,当发生在下丘脑、视交叉等特殊部位,肿瘤无法完整切除时,可行术后放疗。毛细胞星形细胞瘤全切后预后良好。