左心室假腱索是指左心室内存在的不附着于二尖瓣的肌性或纤维条索。1981 年Nishimura 首先报道了左心室假腱索的超声心动图表现,其功能尚不明确。它是否系无病理意义的正常组织变异或有无病理意义仍有争论。但解剖学研究发现,大多数人均有左心室假腱索存在。因此,目前多数学者倾向于左心室假腱索是正常组织的变异。
一、病理特点
左心室假腱索可起源于左心室任何一侧壁,多见于前壁和乳头肌,终止于室间隔膜部、肌部或心尖部,少数假腱索起止于乳头肌、心尖部和游离壁之间,极少数位于左心室流出道和主动脉瓣。它一般呈索条状,单条或多条,大致可分为含有和不含有心肌传导组织两大类。如假腱索内存在具有自律性的特殊起搏传导细胞,因心脏舒缩使其受到机械性牵拉,激发异位节奏点兴奋而成为室性早搏的原因。假腱索可单独存在,也可与各种心脏病同时存在。
二、血流动力学改变
常无血流动力学异常。少数位于左心室流出道内的假腱索,于收缩期受血流冲击而发生颤动,引起明显收缩期杂音,有时可引起左心室流出道轻度狭窄。起源于主动脉瓣的假腱索可引起瓣膜狭窄或关闭不全。
三、临床表现
绝大多数无自觉症状,少数有胸闷、心悸。部分在胸骨左缘闻及心尖区有1/6 ~ 3/6 级收缩期杂音。可有室性心律失常,多为室性早搏。
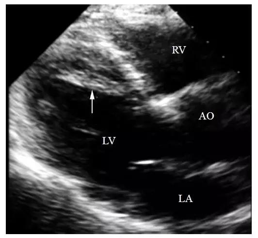
四、超声心动图表现
1.左心室腔可见到一条或数条索条状影(图1),回声较细,索条粗细不一,多在4 ~ 5mm以内,有一定活动度,随左心室舒张和收缩而紧张和松弛,追踪其附着点一端常位于室间隔上段,另一端位于左心室前壁、侧壁或心尖区。其特点是不与乳头肌和二尖瓣叶相连。

图1 左心室假腱索(箭头所指)
(AO-主动脉 LA-左心房 LV-左心室 RV-右心室)
2.少数假腱索起源于室间隔膜部或主动脉瓣可引起左心室流出道或主动脉瓣狭窄及关闭不全,在左心室流出道内或主动脉瓣口远侧有收缩期湍流频谱,血流速度增快;彩色多普勒可显示五彩镶嵌血流信号。当存在主动脉瓣反流时可见舒张期左心室流出道五彩反流束。
五、鉴别诊断
左心室假腱索主要应与双腔左心室鉴别。当左心室内存在异常肥大的肌束或乳头肌时,可将左心室分隔成两个腔。双腔左心室与左心室假腱索不同之处在于两个腔之间存在压力阶差,心底腔常扩大,心尖心肌肥厚,收缩期在左心室狭窄处有五彩镶嵌血流信号,频谱多普勒取样为高速湍流频谱。
六、注意事项
1.一般至少在两个切面均能观察到左心室假腱索,才能确诊。
2.与室间隔平行的条状假腱索常可干扰室间隔内膜面的识别而影响室间隔厚度的测量,容易与室间隔肥厚相混淆,应注意鉴别。有时在二维图像中,将假腱索当成心内膜面,而误为室间隔中有液体存留,误为室间隔血肿、积液。移动或转动探头,仔细跟踪条索走行和多切面探测观察不难鉴别。
3.检查发现左心室假腱索时,同时注意观察有无并发心脏疾病。
七、临床意义
超声心动图可以确诊左心室假腱索。它不仅能检出大于2mm 及切面范围之内的条索,准确判断条索的位置、走行和数量,还可以明确有无导致左心流出道狭窄、主动脉瓣狭窄及关闭不全。
更多精彩内容,请关注微信公众号“超声掌中宝”!