
囊性子宫腺肌症是子宫腺肌症的一种特殊类型,类似子宫腺肌瘤。囊性子宫腺肌症病理特点为子宫中内衬子宫内膜和外周包围子宫平滑肌组织的囊性结构,囊腔内含陈旧血液的囊液,一般囊腔10~20mm,又称子宫腺肌症囊肿或囊性子宫腺肌瘤。
发病年龄在13~55岁,患者中年龄≤30岁的约占65%~75%。按临床特征可分为青少年型与成年型。虽然囊性子宫腺肌症在成年妇女较为少见,但却可以出现在年轻妇女特别是青春期女孩,患者常有明显痛经症状。

典型病例
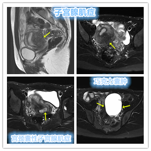
例1
年轻女性,痛经10多年,磁共振检查显示子宫腺肌症,宫颈部囊性子宫腺肌症及左侧巧克力囊肿。

例2
中年女性,痛经10余年,近3个月明显加重。痛经达重度疼痛,严重影响生活质量。磁共振检查显示子宫前壁囊性病灶。临床诊断为囊性子宫腺肌症。

- 经左侧桡动脉穿刺置管,行腹主动脉造影显示双侧子宫动脉增粗、迂曲。

- 超选择插管右侧子宫动脉病灶供血动脉造影+栓塞治疗。

- 超选择插管左侧子宫动脉病灶供血动脉造影+栓塞治疗。

- 术后桡动脉压迫止血6小时,患者术后无需长时间卧床、下肢制动,舒适度明显提高,促进术后快速康复。

原装生活,做完整女人!
