典型病例
姜女士是个乐观的大姐。10年前,她突然出现阵发性的张口困难,每次持续1分钟左右。姜女士当时没在意,没想到两年后发作频率增多,并出现不自主的咬牙和磨牙现象,尤其在情绪紧张时加重。最严重时,姜女士根本无法进食,甚至牙齿都被磨碎了一小块。
为了缓解牙齿的磨损,姜女士想了一个招数,随手带着胡萝卜或者黄瓜,发作时,她就吃上一块。这样的情形,严重影响了她的生活质量。后来,她到北京大学口腔医院就诊,确诊为右侧咬肌痉挛,咀嚼肌功能紊乱,给予了口服安定治疗,但效果甚微。2020年1月,姜女士又到北京某知名三甲医院进行药物治疗,但症状缓解不明显,寝食难安。经多方打听,她了解到我们团队,并慕名而来。
就诊中,给她介绍了该病相关知识后,姜女士看到了曙光,当即办理入院手续。很快做完了术前检查。肌电图检查显示,姜女士右侧咬肌及颞肌痉挛发作时表现为高频率及高放电,无正常的节律性;核磁共振检查排除其他病变。考虑到三叉神经根部没有血管压迫,我们团队制定了选择性切断三叉神经运动根方案,以达到治疗目的。术后,姜女士恢复良好, 对术后效果感到满意。目前,姜女士已顺利出院。

术前,姜女士剧烈的咬合严重影响日常生活


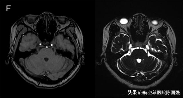
姜女士术前MRI未见血管压迫,术中选择性切断三叉神经运动根(M)

B为术前肌电无规律的高频率及高波幅的群放电;C术后肌电图:异常肌电消失
专家解析
咬肌痉挛(Hemimasticatory Spasm)是一种较为罕见的单侧三叉神经运动支功能异常的颅神经疾病,目前病因不明,多数学者认为是由于三叉神经运动根被血管压迫导致,但也有学者发现三叉神经周围神经压迫以及脑干出血也会导致咬肌痉挛。
据了解,咬肌痉挛临床表现为严格的单侧三叉神经运动支支配的肌肉阵发性不自主抽搐,劳累受凉及紧张等情绪变化可加重,起病早期多累及单一肌肉,进展期可累及多块肌肉,收缩严重时可导致张口困难或受限,咬舌,牙齿损坏,多数病人有肌肉酸痛感,少数患者伴有面部放电样疼痛,早期可表现为肌肉肥大,病程长者可出现咬肌萎缩。
肌电图检查可以明确该病的诊断,咬肌痉挛在临床上需要与口下颌型肌张力障碍、面肌痉挛、多发性硬化痛性痉挛、局灶性癫痫等相鉴别。早期药物治疗有效,肉毒素短期疗效较好,但需要反复注射,近年来手术治疗逐渐受到重视。
据文献报道,微血管减压术、咬肌剥离、咬肌神经撕脱术、选择性三叉神经运动根切断术等手术方法均可有效缓解或治愈该疾病。我们航空总医院神经外科中心近10年内共收治了6例咬肌痉挛患者,给予微血管减压术和或选择性三叉神经运动根切除术治疗,疗效良好。
虽然咬肌痉挛的发病率较低(目前无大宗病例报道),但由于我国人口基数大,仍有很多患者未得到有效治疗。我们团队不断在总结该病的治疗方法,并针对不同分型,逐渐开展更多方式进行治疗,包括咬肌剥离及咬肌神经撕脱术等,目的是不断提升该病的治疗水平,为更多患者解决烦恼,带去健康。
(此处已添加医疗卡片,请到*今条头日**客户端查看)