
有很多因为头痛、头晕或一侧肢体乏力的患者朋友到放射科进行颅脑CT检查,其中一些CT图像上提示有腔隙性脑梗死的情况出现。那么,什么是腔隙性脑梗死?CT发现腔隙性脑梗死我们应该如何对待呢?今天小编就和大家一起探讨以下这个问题。
什么是腔隙性脑梗死?

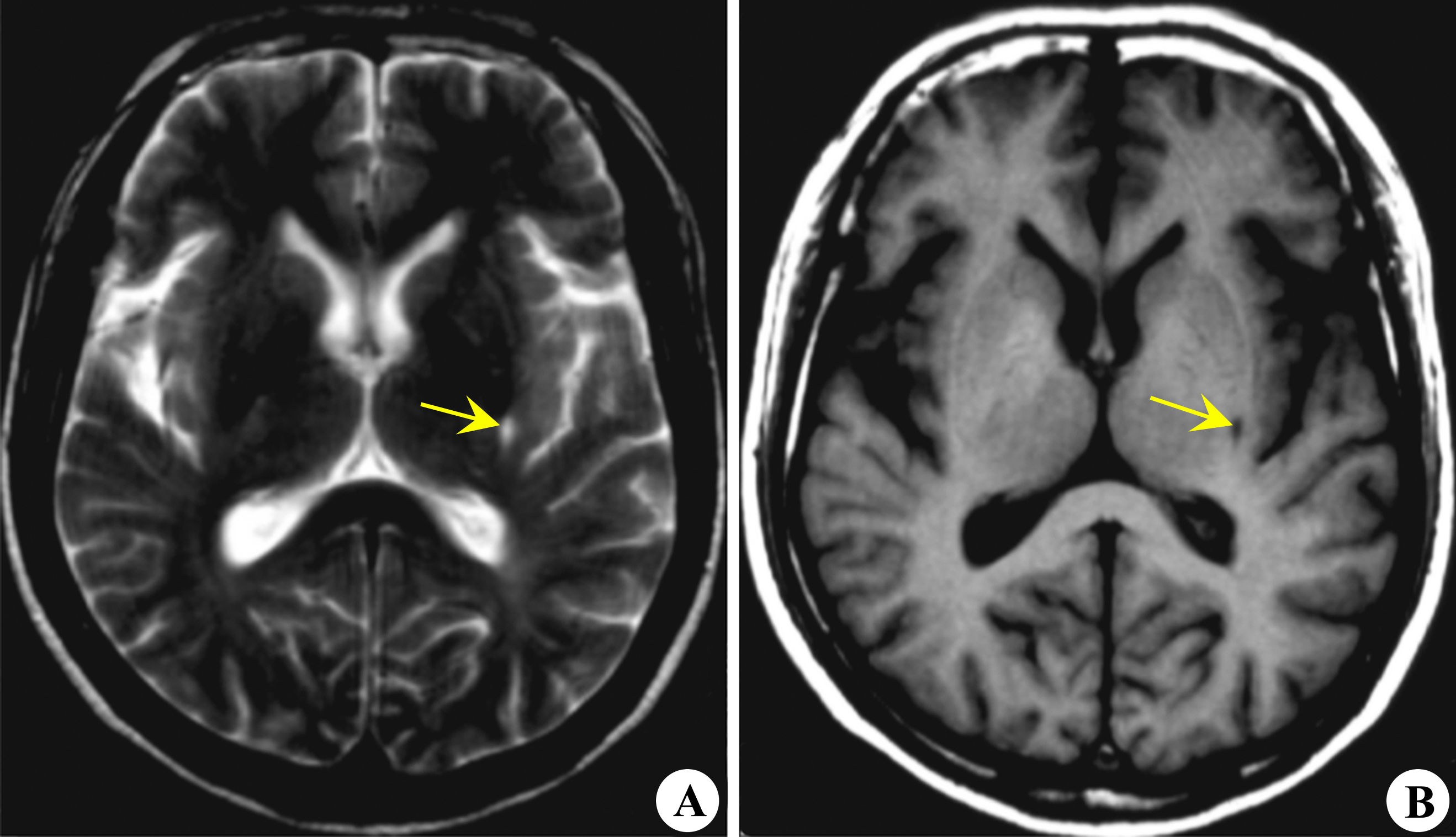
左侧基底节区腔隙性脑梗死
腔隙性脑梗死,简称“腔梗”,它特指放生在基底节、丘脑、脑室旁、脑干等区域的小的梗死灶,直径一般在0.1~0.2毫米,病理基础是微小动脉硬化、闭塞造成的脑组织缺血性微梗死,缺血、梗死后的脑组织液化后被体内的吞噬细胞清除,形成小的腔隙。这些腔隙小的直径仅为0.2毫米,大的可达15~20毫米,大多数为2~4毫米。
腔隙性脑梗死有哪些临床表现?

腔隙性脑梗死的高发年龄在50~70岁,男性发病率是女性的2~6倍。由于梗死的面积很小,临床症状一般较轻,如一侧面部和上下肢体的麻木或无力、言语不清、动作笨拙、行走不稳、头晕、呛咳等,部分患者可无任何不适,仅在影像学检查时发现。
发现腔梗,该如何正确对待?

随着CT和MRI的广泛应用,一些过去不太容易发现的亚临床基本越来越多的被发现,很多中老年患者朋友因为头痛、头晕就诊,CT检查后发现有腔隙性梗死灶后就认为自己得了中风,精神高度紧张,再三要求医生开各种各样的活血药,每天打点滴,以为这样就可以疏通血管,让病灶消失。其实这种做法完全没有必要,因为已经形成的梗死灶是不会消失的。
其实,一般来说腔隙性脑梗死的预后大多是良好的,致残率很低,完全可以正常生活和工作。对于一些有症状的患者可以考虑短期输注一些活血化淤的药物来缓解症状,如果没有明显症状,是不需要过度干预的。
需要注意的是,腔梗容易复发,虽然少量的梗死灶不会对健康造成严重损害,但是如果腔梗反复发作,小的腔隙性病灶累积达到一定的数量和程度时,临床上称之为腔隙状态时,就可能导致比较严重的后果,如血管性痴呆、假性延髓麻痹、类帕金森综合征、尿便*禁失**等。
反复发生的腔隙性脑梗死容易演变成痴呆,因此,要及时、有的放矢地进行预防和治疗:
1、要养成良好的生活习惯,戒烟戒酒,饮食要以清淡为主,病做到定时定量,同时还要控制好血糖、血压、血脂、降低卒中风险。
2、加强对颈动脉粥样硬化的重视,尤其是那些已经有动脉粥样硬化但还未出现临床症状的人群。所以有条件的中老年朋友应该在定期的体检时增加颈部血管多普勒超声(TCD)检查(相关链接:如何有效预防和避免脑卒中?不妨做个颈动脉彩超检查),以便及早发现问题,尽早干预。
3、对于哪些已经因腔隙性脑梗死后遗症影响了日常生活的中老年朋友,除了要遵医嘱服药外,更要保持积极乐观的生活态度,坚持不懈地进行科学规范的康复训练,也能有个不错的预后。家属一定要理解、包容他们,帮助他们树立起战胜疾病的信心。
腔梗的危险因素有哪些?

高血压、糖尿病、高血脂、动脉硬化、高血液黏度、吸烟等都被认为时腔梗的危险因素,尽早控制这些危险因素是预防腔梗发作或复发的关键。此外,风湿性或非风湿性心脏病的心源性栓子和来自颈动脉粥样硬化斑块、夹层动脉瘤的瘤源性栓子等,也是引起腔隙性脑梗死的常见原因。
了解更多:什么是腔隙性脑梗死?它有哪些临床表现?会留后遗症吗?

放射科那点事儿原创,未经授权,禁止转载!