鞍上池脑囊虫性脑积水,三脑室造瘘术无效,2次分流术却均堵管分流重感染致脑室重度粘连,李小勇脑脊液科经3次艰难治疗后获“满意”结果
患者男,34岁,河南省郑州市人。
一、李小勇脑脊液科入院前病史
患者于2018年1月初出现头痛,就诊河南省某中医院,查脑核磁检查示鞍区可疑囊性病变脑积水并间质水肿,左侧前联合异常信号,考虑神经上皮囊肿(片子丢失)。
3天后2018年1月9日,转至上级的河南郑州某三甲医院,诊断颅内占位,脑积水(片子丢失);入院后10天即2018年1月19日,进行了“鞍上池脑囊虫切除术+三脑室造瘘术”。术后病检提示猪囊虫病,给予预防感染、脱水、抗虫等对症支持治疗;住院1月零9天即2018年2月13日,症状缓解后出院。
但出院后17天即2018年3月2日,出现头痛,3天后2018年3月5日(出院后20天),第2次就诊给予手术的医院,诊断脑积水,入院后第2天即2018年3月7日,进行了右侧脑室腹腔分流术,住院半月出院,但出院时虽头痛缓解,但偶有视物重影的症状。
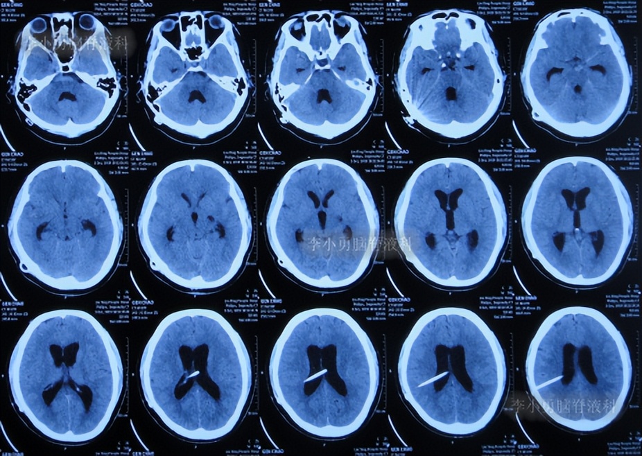
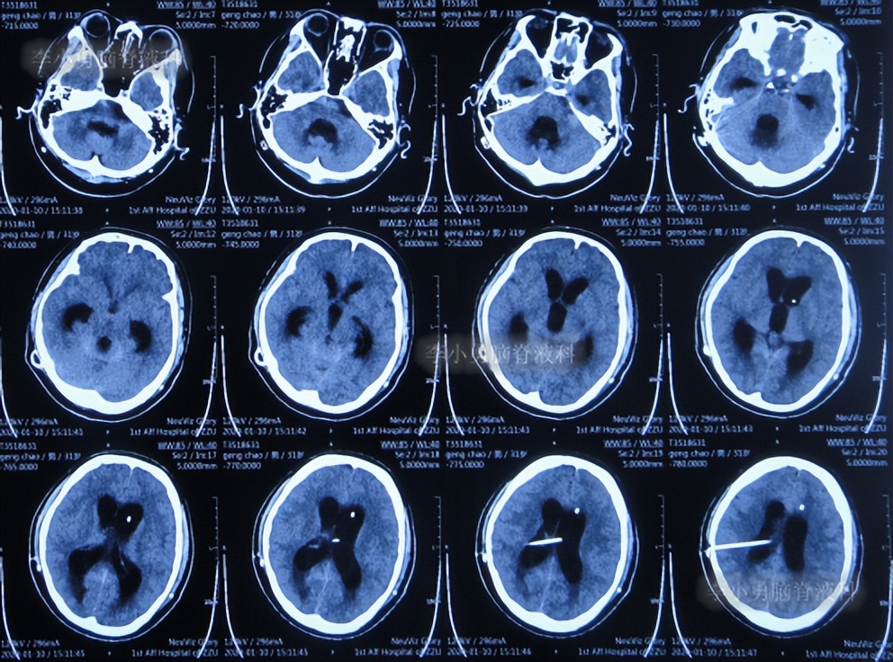
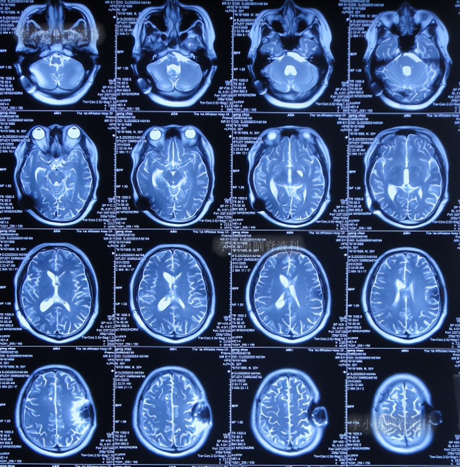
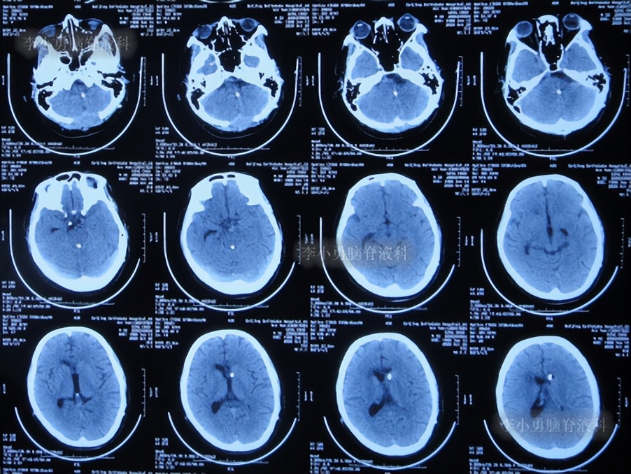
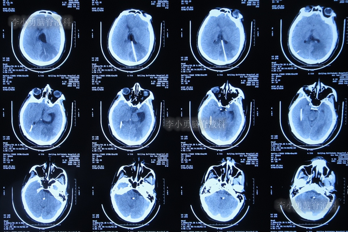
出院后1年半期间,仍时有视物重影的症状,并未给予处理,但到2019年9月27日(脑室腹腔分流术后1年零6个半月),出现头晕,恶心呕吐,视物重影加重,5天后因症状无缓解,就诊于当地的河南省临颍县某医院,查脑CT示脑积水(图-1);给予腰穿检查示颅内压力高220mmH2O。

图-1:2019年10月3日头颅CT
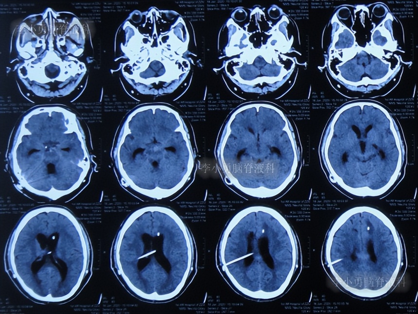
于是次日即2019年10月4日,第3次就诊于给予手术的省级三甲医院,入院次日查头颅核磁(图-2)后考虑引流管堵塞,给予了脑室分流管探查调整术。

图-2:2019年10月5日头颅核磁
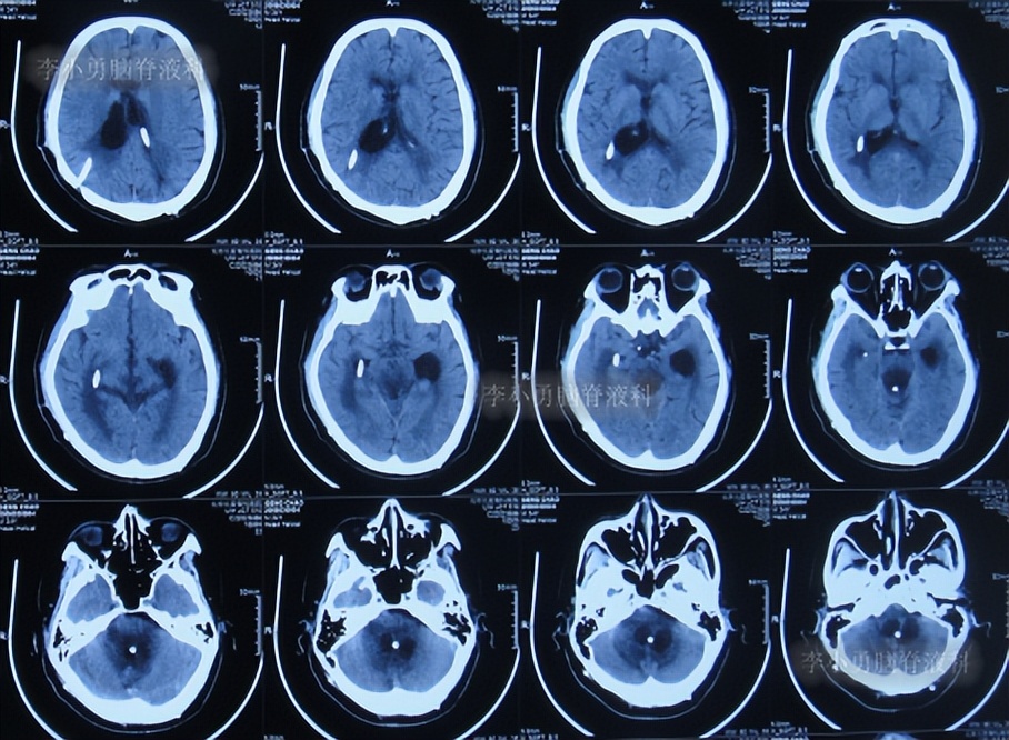
脑室分流管探查调整术后5天即2019年10月10日,患者症状好转,查头颅CT示脑室缩小(图-3)。

图-3:2019年10月10日头颅CT
第3次在该院治疗13天即2019年10月17日出院,出院时身体基本正常。
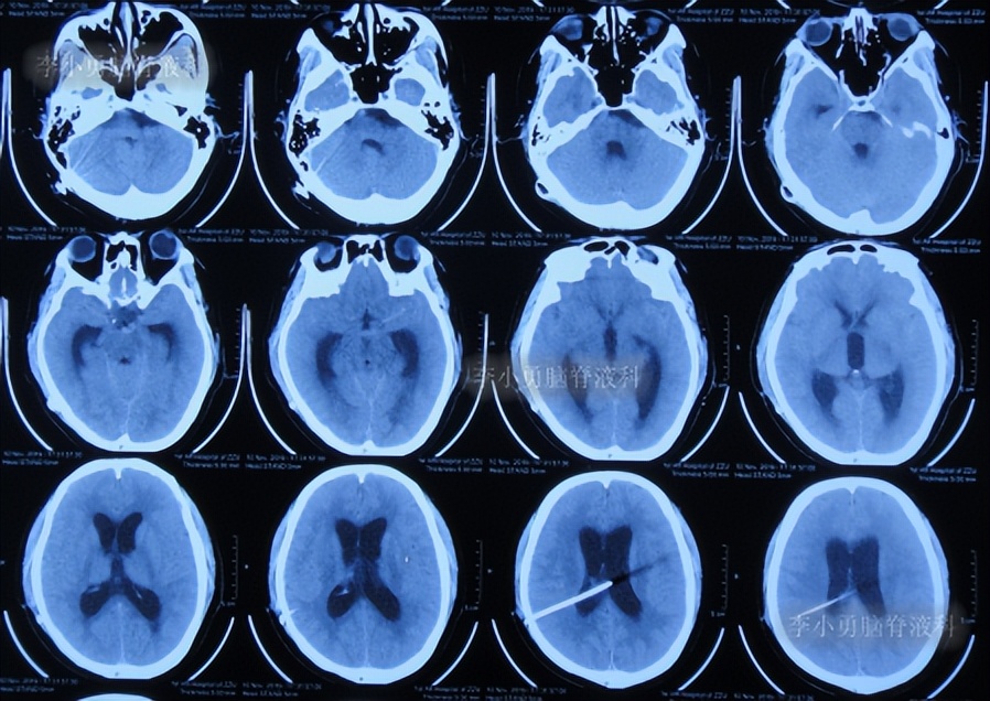
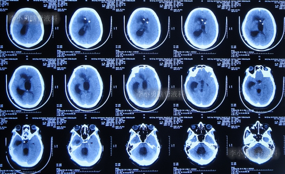
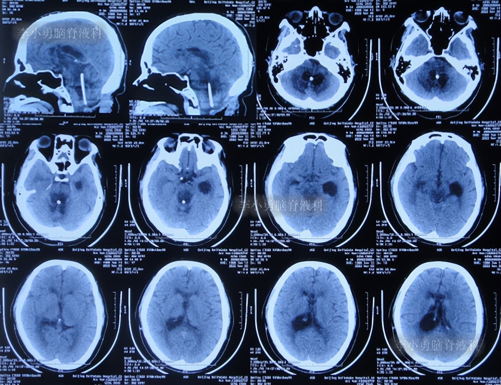
第3次出院后24天即2019年11月10日,因视物又出现模糊,在当地医院查头颅CT示脑室又有扩张(图-4),给予手术的医生建议继续观察。

图-4:2019年11月10日头颅CT
第3次出院后72天即2019年12月28日,再次出现头晕伴有恶心,在当地的医院查头颅核磁(图-5)后微信传给给予手术的医生,医生建议到院治疗。

图-5:2019年12月28日头颅核磁
于2019年12月30日(鞍上池脑囊虫切除术+三脑室造瘘术后近2年,第3次出院后74天即脑室腹腔分流术后1年零9个月;又即脑室分流管探查调整术近3个月),第4次就诊于给予手术的医院,考虑脑积水加重。
入院次日2019年12月31日,进行了第2次的左侧脑室腹腔分流术(图-6)。

图-6:2019年12月31日头颅CT
术后患者症状慢慢缓解,但腰椎穿刺检查示脑脊液蛋白非常高,患者虽神志清楚,可是下颌不自主震颤,伴有复视。
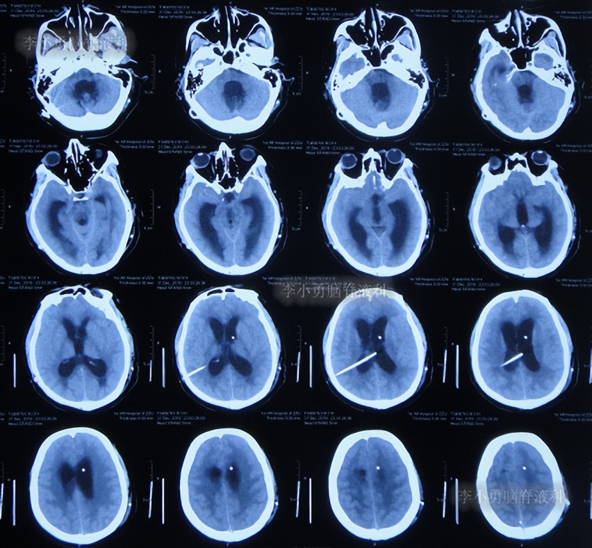
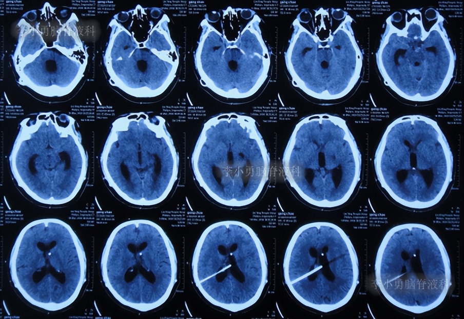
第2次的左侧脑室腹腔分流术后10天即2020年1月10日,查头颅CT示脑室仍有扩张(图-7)。

图-7:2020年1月10日头颅CT
第2次的左侧脑室腹腔分流术后18天即2020年1月18日,查头颅CT示脑室有缩小(图-8)。

图-8:2020年1月18日头颅CT
第2次的左侧脑室腹腔分流术后38天即2020年2月7日,查脊髓核磁示未见明显异常(图-9)。

图-9:2020年2月7日脊髓核磁
第2次的左侧脑室腹腔分流术后40天即2020年2月9日,查头颅核磁示脑室稍有扩张(图-10)。

图-10:2020年2月9日头颅核磁
第2次的左侧脑室腹腔分流术后44天即2020年2月13日,查头颅核磁示脑室较2020年2月9日有扩张(图-11),未给予特殊处理。

图-11:2020年2月13日头颅核磁
第4次在该院治疗2个月即2020年2月28日出院,但仍有视物模糊。
第4次出院后2个月时间内,期间曾4次查头颅影像均示脑室有进一步扩张(图-12、图-13、图-14、图-15),且患者精神逐渐变差。

图-12:2020年3月14日头颅CT

图-13:2020年3月31日头颅核磁

图-14:2020年4月18日头颅CT

图-15:2020年5月9日头颅核磁
第5次住院治疗
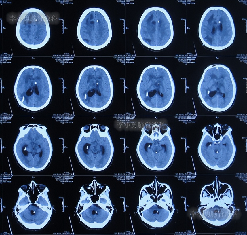
第4次出院后2个半月即2020年5月14日,患者意识变差,且不能下地活动,第5次就诊于给予手术的医院,查头颅CT示脑室扩张加重(图-16)。

图-16:2020年5月14日头颅CT
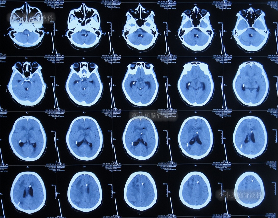
第5次在该院治疗20天,期间2次查头颅CT示脑室有所缩小(图-17、图-18)。

图-17:2020年5月21日头颅CT

图-18:2020年5月25日头颅CT
第5次住院治疗21天后即2020年6月4日,因患者意识仍差,当地的一位医生好心的建议可以到北京的李小勇脑脊液科试试。
二、第1次在李小勇脑脊液科治疗过程和结果
2020年6月4日(脑囊虫切除术+第三脑室造瘘术后2年5个月,2次脑室腹腔分流术均堵管,期间历经5次住院但脑积水仍反复复发)住入李小勇脑脊液科,入院时:神志朦胧,饮食差,问答有误,自己站立不稳,双眼对视(图-19);既往史:口服抗癫痫药物,青霉素过敏。头颅CT示鞍上占位术后,脑室内可见引流管,脑室系统扩张(图-20)。

图-19:2020年6月4日入院时

图-20:2020年6月4日头颅CT
入院后2天即2020年6月6日,进行了脑室腹腔分流管拔除术+脑室穿刺外引流术(图-21)。

图-21:2020年6月6日头颅CT
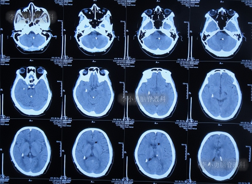
2020年6月8日(住院治疗4天),查头颅CT示脑室有所缩小,有少量积血(图-22),引流管培养出表皮葡萄球菌感染。

图-22:2020年6月8日头颅CT
2020年6月10日(住院治疗6天),查头颅CT示脑室缩小(图-23)。

图-23:2020年6月10日头颅CT
2020年6月11日(入院治疗7天),引流出的脑脊液呈淡红色(图-24)。

图-24:2020年6月11日
2020年6月22日(住院治疗18天),进行了双侧脑室腹壁外引流术(图-25)。

图-25:2020年6月22日头颅CT
2020年6月29日(住院治疗25天),一侧引*脑流**脊液变清亮,一侧仍呈淡红色(图-26)。

图-26:2020年6月29日
2020年7月3日(入院治疗29天),查头颅CT示双侧脑室缩小,但第四脑室稍有增大(图-27)。

图-27:2020年7月3日头颅CT
2020年7月27日(住院治疗53天),查头颅CT示第四脑室进一步扩张(图-28),继续观察。

图-28:2020年7月27日头颅CT
2020年7月28日(住院治疗54天),因第四脑室扩张意识变差,进行了第四脑室腹壁外引流术,术前术后头颅CT对比(图-29)。

图-29:2020年7月28日术前术后头颅CT
2020年8月20日(住院治疗77天),意识变清楚,能遵嘱活动(图-30)。

图-30:2020年8月20日
2020年9月14日(住院治疗102天),拔除了一侧脑室引流管(图-31)。

图-31:2020年9月14日头颅CT
于2020年10月21日(住院治疗139天),进行了侧脑室和四脑室腹腔分流术。
于2020年10月30日(住院治疗148天),查头颅CT示脑室未见异常(图-32)。

图-32:2020年10月30日头颅CT
2020年11月3日(住院治疗152天)出院,出院时:意识变清,自己站立变稳,能自己走路,双眼对视有好转(图-33)。

图-33:2020年11月3日出院时
三、第2次在李小勇脑脊液科治疗过程和结果
出院后10个月期间患者身体基本正常,生活能自理,但出院后11个月即2021年10月12日,出现嗜睡的症状,在当地的医院查头颅CT示脑室有扩张(图-34)。

图-34:2021年10月12日头颅CT
于3天后即2021年10月15日,住入河南省郑州某医院,头颅核磁示脑室扩张(图-35),给予保守治疗。

图-35:2021年10月15日头颅核磁
为再次治疗脑积水,于出院后11个半月即2021年10月17日,第2次住入李小勇脑脊液科,查头部CT示左侧脑室扩张(图-36),入院时:嗜睡,肢体刺痛后能动(图-37);当天急诊进行了透明隔造瘘术,留置脑室外引流管(图-38)。

图-36:2021年10月17日入院时头颅CT

图-37:2021年10月17日入院时

图-38:2021年10月17日术后当天头颅CT
术后次日嗜睡症状减轻,肢体变得能遵嘱抬起,三处引流管引流出的脑脊液颜色不同(图-39)。

图-39:2021年10月18日
透明隔造瘘术后9天即2021年10月26日,查头颅CT示脑室缩小(图-40)。

图-40:2021年10月26日头颅CT
2021年10月29日(住院治疗12天),拔除了一跟脑室引流管(图-41)。

图-41:2021年10月29日头颅CT
2021年11月1日(住院治疗15天),意识变差,肚子不舒服,查头颅CT示颞角变大,给予右侧颞角外引流术(图-42)。

图-42:2021年11月1日术前术后头颅CT
2021年11月12日(住院治疗26天),查头颅CT示颞角缩小(图-43)。

图-43:2021年11月12日头颅CT
2021年11月16日(住院治疗30天),肢体遵命活动变快,言语交流基本正常,肚子不舒服也变好(图-44)。

图-44:2021年11月16日
2021年11月25日(住院治疗39天),查头颅CT示引流术后状态(图-45)。

图-45:2021年11月25日头颅CT
2021年11月29日(住院治疗43天),进行了右侧颞角腹壁外引流术。
2021年12月16日(住院治疗60天),查头颅CT示引流术后状态(图-46)。

图-46:2021年12月16日头颅CT
2021年12月28日(住院治疗72天),查头颅CT示脑室缩小(图-47)。

图-47:2021年12月28日头颅CT
2022年1月29日(住院治疗104天),右侧颞角引流管不通,查头颅CT示颞角扩张,给予颞角调整引流管,术前术后头颅CT对比(图-48)。

图-48:2022年1月29日术前术后头颅CT
2022年2月14日(住院治疗120天),查头颅CT示有水肿(图-49)。

图-49:2022年2月14日头颅CT
2022年4月21日(住院治疗186天),进行了脑室腹腔分流术。
2022年4月28日(住院治疗193天)出院,出院时:意识清楚,言语交流正常,肢体活动、走路基本正常(图-50);查头颅CT示未见异常(图-51)。

图-50:2022年4月28日出院时

图-51:出院时头颅T
四、第3次在李小勇脑脊液科治疗过程和结果
第2次出院后1个月即2022年5月30日,出现头晕,不能行走,在当地医院查头部CT示右侧颞角增大(片子丢失)。
半月后即2022年6月17日,第3次住入李小勇脑脊液科,入院时:进食差,言语混乱,记忆力差,行走差(图-52);查头颅CT示右侧颞角增大,四脑室也稍大(图-53);肺部CT有感染(图-54)。

图-52:2022年6月17 日入院时

图-53:入院时头颅CT

图-54:肺部CT
2022年6月20日(入院后3天),进行了脑室腹壁外引流术,术前术后头颅CT对比(图-55)。

图-55:2022年6月20日术前术后头颅CT
2022年6月23日(入院治疗6天),查头颅CT示脑室周有水肿(图-56)。

图-56:2022年6月23 日头颅CT
2022年10月7日(入院治疗112天),查头颅CT示脑室周水肿消失,脑室变小(图-57)。

图-57:2022年10月7日头颅CT
2022年10月25日(入院治疗130天),肺部 CT示感染有好转(图-58);常规检查头颅CT示脑室引流术后状态,未见异常(图-59),考虑夹闭侧脑室和颞角引流管。

图-58:2022年10月25日头颅CT

图-59:2022年10月25日肺部 CT
夹闭引流管后10天左右,脑室未扩张,于是拔除了侧脑室和颞角的引流管,进行了脑室腹腔分流术。
2022年11月15日(李小勇脑脊液科治疗151天)出院,出院时:意识正常,言语交流基本正常,自己走路差点(图-60);头颅CT示未见异常(图-61)。

图-60:2022年11月15日

图-61:出院时头颅CT