在小编的记忆中,村里总有老太太老大伯,在吃东西的时候,吃着吃着吐出他假牙,捣鼓一下,然后又装回去。

常说的“活动假牙”,专业术语叫 可摘义齿 。
相对于自行取戴的固定义齿, 可摘义齿是患者可自行摘戴、能恢复美观及咀嚼功能的一种修复方式。
可摘义齿戴在口腔里,吃饭时义齿跟真牙一样要承受大致10 多公斤的咀嚼力。日久天长,义齿及下方的承受黏膜、牙槽骨和余留天然牙都可能出现一些状况。

因此,戴用可摘义齿后需要患者定期复诊,以便早发现问题、早解决问题,避免出现不良反应。
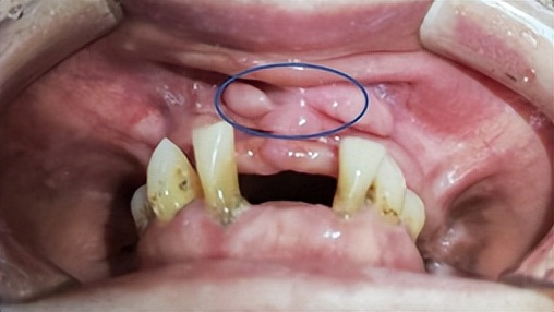
不久前,六十七岁的陈大妈因戴上颌活动假牙吃东西疼、假牙在口腔里戴不牢,在女儿的陪同下来到浙二医院口腔修复科,找到董研主任诊疗。
陈大妈口内上颌可摘义齿已经佩戴了十余年,虽然多颗人工牙脱落但咀嚼时没有不舒服,所以很多年没去看医生复诊。最近一年多,她发现自己的上牙床长出了很多“肉赘”。开始时不疼就没在意,而最近一段时间假牙就根本不能用了。戴着义齿吃东西牙床就痛,而且义齿也戴不牢,吃东西会脱落,已经影响到大妈的饮食和身体健康。


经董研主任医师的仔细问诊和口腔检查,发现陈大妈口腔里那些“肉赘”是不良增生物,需要马上切除再考虑重新制作义齿。后经病理检查证实确是良性肿物。
陈大妈这个病例告诉大家:由于牙齿缺失后牙槽骨终生不断的吸收,可造成可摘义齿的基托边缘变长从而压迫周围软组织,导致牙槽黏膜的增生有时甚至恶变。因此, 戴义齿应遵医嘱定期复查。

戴活动假牙还有一个不能忽视的问题是患者的误吞误咽。戴用可摘义齿的患者中老年人居多,而年纪大的人常伴有全身系统性疾病。有的患者手抖的比较厉害,摘戴义齿时手的稳定性不好。还有的患者出现老年痴呆症,对义齿是否在口腔里都感觉不到。这些状况都可能造成义齿的误吞误咽。下图是食管镜下取误吞误咽的的齿照片,该异物距离主动脉比较近,非常危险。
因此,配戴可摘义齿以及其他形式的义齿(固定义齿或种植义齿),都需要定期看医生,检查义齿的状态,避免出现危险的状况。
戴可摘义齿
需要注意哪些主要问题呢?
1
初戴义齿时,口内可能暂时会有异物感、恶心或呕吐等不良反应,有时发音亦可能受到影响,同时也会感到咀嚼不便。一般经耐心戴用 1~2 周后能改善。
2
感觉戴义齿有不适的地方特别是疼痛时,应及时复诊,不要勉强戴用。可暂时取下义齿泡在冷水中,复诊前2~3小时戴上义齿,以便能准确地找到痛点。
3
初戴义齿,最好先吃软的小块食物,不宜吃硬食。若是前牙义齿,也不宜咬切食物,暂用后牙咀嚼食物。逐渐过度到正常饮食。
4
为减轻支持组织负荷,使之有一定时间休息,最好夜间不戴义齿。取下义齿浸泡在冷水中或义齿清洁液中,但不要放在开水或酒精溶液中。饭后和睡前应取下义齿刷洗干净,用清水蘸牙膏刷洗即可。
5
若义齿发生损坏或折断时,应及时修理,并同时将折断的部分带给医生复诊。
6
一般如果义齿没有不适,也建议每半年至一年复诊1次。

随着人均寿命的延长,许多牙齿缺失的患者一生需更换多副义齿。由于有些患者的适应能力较强,很多轻微的不适经常不被察觉,或者被忽视。而有些患者即使义齿已有明显问题,仍坚持勉强使用,直到义齿完全不能使用时才来寻求帮助。我们建议:为维护口颌系统的健康,恢复口腔功能,应及时修复缺失牙;可摘义齿修复后每年应复查一次,检查义齿材料老化、磨损程度以及基托密合程度。做到及时发现问题及时进行调改。
口腔修复专科团队
浙二医院口腔临床医学是浙江大学口腔医学的发源地,浙江省重点学科。口腔修复专科及正畸专科前身是由刘克恭、郭慧芬等老一辈浙江省著名口腔专家学者,于1977年首先在省内创建的口腔矫形科,是浙江省最早开展口腔修复和口腔正畸治疗的科室。目前,口腔修复专科是一支朝气蓬勃、勇于担当、团结进取的团队。在口腔修复领域的临床技术力量雄厚,特别在口颌面缺损系列化赝复治疗、颞下颌关节紊乱病个性化治疗、牙周病-修复联合治疗及正畸-修复联合治疗等技术方面,在浙江省内具有鲜明特色。对复杂牙列缺损等疑难病例的咬合重建具有非常丰富的病例积累和经验。
素材提供:口腔矫形科审核:陈国忠、董研责编:朱俊俊