视力下降、“停经”
原是垂体瘤作怪
家住茂名的陈娟(化名)今年刚满30岁。自2020年8月生完二宝后,陈娟就没再来月经。起初她以为是产后哺乳二宝的缘故,所以并不在意。后来停经的时间长了,陈娟也担心过是内分泌失调,曾到妇科就诊。在接受药物调理后,依旧没有来月经。
今年2月起,陈娟觉得自己的视力变差了许多,经常看东西模糊不清。由于那段时间经常加班,以为是工作劳累所致,直到后来视力进一步下降,影响了正常的工作生活,她才到眼科医院去检查。没曾想,却查出“脑子有病”!外院MRI检查提示“鞍区占位性病变”。在朋友介绍下,陈娟来到了广东三九脑科医院。

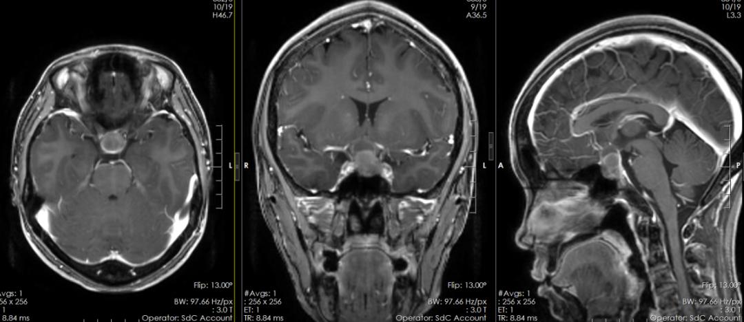
▲术前磁共振

▲术前性激素
我院神经外九科主任穆林森接诊了患者。穆林森仔细查看了患者过往的影像检查资料后,分析患者鞍内及鞍上示一范围约21mm×15mm×18mm的团块状不均匀稍高低混杂信号影,考虑垂体腺瘤可能性大。
穆林森分析,由于肿瘤部分包绕颈内动脉,视交叉及垂体柄受压,鞍底下陷、鞍隔膨隆,这才引起患者出现明显的视力下降。此外,患者性激素检查结果提示泌乳素明显升高,患者出现“停经”的问题极可能与垂体瘤有关。
不用开刀,
经鼻窦即可切除
“由于垂体瘤已经较大,压迫脑神经,为避免引发更多严重的并发症,需尽早进行切除肿瘤的手术。”穆林森介绍,可以运用神经导航内镜技术,经鼻蝶窦入路进行手术。该手术无需开颅、不需要缝合拆线、外观不留伤口,且术中能够提供全景式的视野和成角观察,使得垂体腺瘤的切除更彻底,能够很好地保护正常垂体、神经和血管。
征得患者及家属同意后,神经外九科团队在全麻下为患者实施神经内镜下经鼻蝶垂体病损切除术。

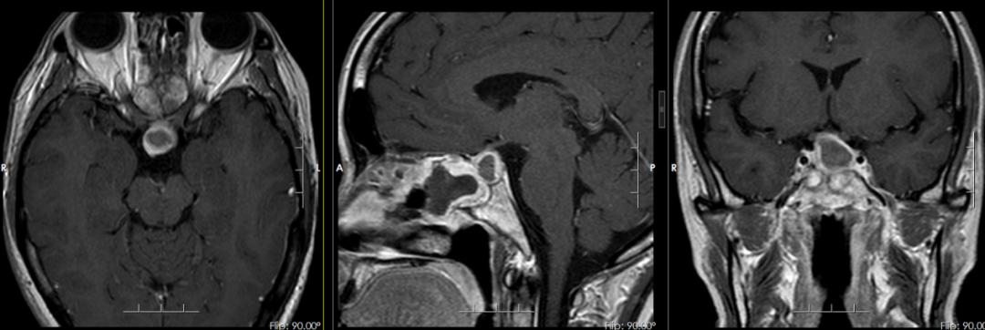
▲术后磁共振
术后复查磁共振提示肿瘤完全切除无残留,性激素检查结果提示泌乳素明显下降。陈娟恢复得也很快,术后住院一段时间后,便顺利出院。
穆林森提醒,对于不明原因引起的视力下降、育龄妇女“停经”、不孕等,应及时到医院就诊。垂体瘤虽是良性肿瘤,但会随着时间的推移而增长,因此越早发现,风险越小、治疗效果越好,如果发现得晚,瘤体过大,手术风险也随之变大。