什么?肾囊肿?!
是肿瘤么?
需要手术治疗吗?
会发生恶变吗?

随着社会经济的飞速发展以及居民健康意识的不断增强,大家会定期进行健康体检,然而在查看体检报告时的心情就像过山车一样,最怕看到的字眼除了“肿瘤”,就是各种“囊肿“和“结节“。 肾脏就是一个易患囊肿的器官 ,接下就让我们一起来认识一下肾囊肿。

肾囊肿就是肾肿瘤吗?
很多患者都有这个疑问:
肾囊肿和肾肿瘤有什么区别?
其实肾囊肿就是肾肿瘤的一种。
肾肿瘤可以分为实性肿瘤和囊性肿瘤。实性肿瘤我们可以从字面意思上理解为肿瘤内部是实性的,有组织存在;而囊性肿瘤多为液体,可能是组织液,也可能是坏死物液化的液体,也有可能是带有血性的混合型液体,肾囊肿就属于肾脏的囊性肿瘤。
肾脏囊性疾病的Bosniak分级
要想判断肾囊肿恶性程度怎么样,就需要先明白它的四个分型:
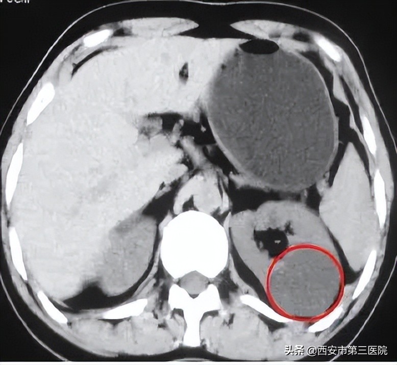
• I级(单纯性):单纯液体密度囊肿,界限清楚,边缘锐利 囊肿壁薄,无分隔、钙化及固体成分。(CT表现)呈水样均质密度,无增强效应。


我们拿这张CT影像图举个例子,肾脏中颜色稍深的部位就是肾囊肿(已用红色圆圈标记出来),我们可以发现这个囊肿内部颜色一致,类圆形,无壁;均匀水样密度灶;边界清晰,边缘光滑锐利,CT无强化表现。增强CT:囊肿内部并无增强组织,也就是说肿瘤内部的组织比较单一,这样的囊肿我们基本可以断定为良性,极少可能为恶性。切除后一般不会复发。
•II级(良性):囊内容物少许混杂,边缘锐利,囊肿可有分隔(<1mm),可有小钙化。均质的高密度囊肿(<3cm;CT值>20HU),囊肿边缘清楚,增强CT囊肿密度无改变。处理:通常认为是良性的,不用处理。但是如果囊肿的体积较大≥ 3 cm,CT值>20HU或者出现较厚的结节样钙化,可能囊肿会被归为IIF级囊肿,IIF 级囊肿有相对较高的恶性倾向,建议严密随访每半年随访CT 或MRI增强,出现变化建议手术。

我们可以从上面CT影像图看出,在囊肿的内部出现了分隔(箭头标记的位置为分隔),这个分隔将整个囊肿分为上下两个部分,但是分隔比较小且规则。
II型囊肿一般来讲大部分为良性,恶性比例可能仅有5%-10%,这类肿瘤我们暂时不用手术切除,但是需要定期复查。
•III级(拟恶性):非常复杂囊肿,此类囊肿往往呈现为不确定的囊性包块,包含大量不规则的厚壁分隔,增强CT上有明显的造影剂增强。

我们来看上面这张图,在这个囊肿上我们发现了较多的间隔并且间隔的形态不规则,内部液体的密度也不太均匀。
这类的囊肿的恶性程度就相比前两种类型要高了很多,恶性程度为大约为50%,对于这类我们的建议是手术切除。
•IV级(恶性):厚而不规则的囊壁和(或)粗大、结节状增厚的分隔,此外可见壁结节,囊内可见软组织密度成分或沿囊壁的絮状成分,囊壁及分隔明显钙化。

我们直接看增强CT图,想必大家已经很清楚地看到肾脏内部已经出现了众多密度不均匀的肿物,并且有很多细小分隔,这些分隔形状不规则,大小不一。这类囊肿大多是恶性的,超过80%-90%以上是囊性肾癌,通常建议及时手术切除。
医生建议: 划重点啦!搬好小板凳前排就坐吧!

肾囊肿没有特效的药物能够口服或者静脉注射让囊肿缩小或消失。 小的肾囊肿没有症状,不需要处理,定期复查观察即可。 定期复查不仅可以判断囊肿的变化情况,最终直接影响后续的诊疗计划。
肾囊肿患者常缺乏典型的临床症状 (腹部肿块、胀痛、高血压等) , 该疾病的诊断主要依靠影像学手段,泌尿系彩超作为首选检查。如果B超检查没法明确囊肿性质,需要做CT检查。
一般认为需要外科治疗的单纯肾囊肿有哪些呢?一是有腰痛症状或心理压力大的;二是囊肿直径超过4cm,或短期内体积明显增大的;三是囊肿产生压迫、肾积水症状的,或囊肿有出血、感染、破裂等情况的;四是怀疑有癌变的。这其中如果囊肿太大并且有肾积水的,需要警惕肾功能恶化的问题。
肾囊肿常用的外科手术方法

常用方法有腹腔镜肾囊肿去顶,肾囊肿穿刺抽液硬化,经尿道软输尿管镜钬激光囊肿切开内引流,经皮肾囊肿激光去顶术。
腹腔镜肾囊肿去顶为微创手术。该手术方式最彻底,可以处理肾脏各部位囊肿,复发几率小。
彩超引导下肾囊肿穿刺抽液硬化方法简单、局麻进行、创伤小、痛苦少,对直径小于5cm囊肿有效率近80%。但是囊腔残留,囊肿复发几率较高。
当囊肿靠近肾盂和肾窦时,可以考虑选择输尿管软镜激光切开囊肿壁,留置输尿管支架内引流。该手术方式没有切口,较腹腔镜手术更微创,但仍存在囊腔残留的问题。
经皮肾镜囊肿激光去顶术也是微创手术,手术麻醉较腹腔镜手术简单,但只能局限于肾脏背侧表面囊肿,对肾脏里面,肾盂或肾窦旁囊肿效果欠佳。

文:泌尿外 科 刘磊
图:泌尿外 科 刘磊
编辑:宣传科 李伟华
审核:宣传科 宫浩翔
部分图片转自网络,版权归原作者所有
如有侵权请及时联系删除