肺部非感染性病变在临床工作中经常碰到。对于一些少见的肺血管炎,临床上诊断比较困难,应引起医生足够的重视。本病例用实例来与大家分享血管炎的肺部累及应如何正确的诊断与治疗。
男性, 46 岁
主诉:活动后气急2年余。
现病史:患者活动后气急2年余,当时无喘鸣,在当地医院做肺功能提示轻度限制性通气功能障碍、激发试验阳性,故当地医院考虑"支气管哮喘?",给予舒利迭使用5个月后,患者无好转,遂来我院门诊就诊。
辅助检查:
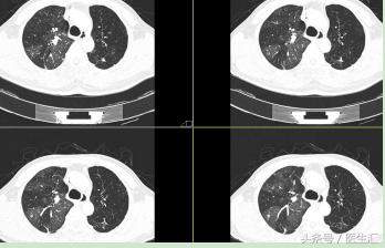
CT 图片示:



患者右肺肺野密度不对称,左肺尚可,出现的是 “马赛克征”。可考虑:小气道病变或肺栓塞。
P.S :“马赛克”征是肺小气道病变时高分辨力CT或薄层CT所示的一种非特异性征象。表现为肺密度不均匀,补丁状的异常透光区+斑片状的磨玻璃密度影镶嵌存在,形似“马赛克”。
因为患者是一个活动后呼吸困难的表现, 除了肺部的原因外,我们还需要排除心脏的原因,故做完了肺部的CT检查后,我们需要对其心脏进行一个排查。薇 xin:vzb0066
所以患者做了一个心脏彩超。
心脏彩超如下所示:

到这里,我们可以分析出,患者心肺功能都存在问题,所以之前支气管哮喘的诊断应该算是一个误诊,再者根据患者的病史,支气管哮喘应该是一个阻塞性通气功能障碍,而患者是一个限制性的通气功能障碍;而激发试验阳性也不是唯一能确认支气管哮喘的金标准,因为其假阳性的可能性比较高,特别是当患者有感冒或者感染的时候,都可能会影响气管粘膜的反应性增强,出现假阳性的表现。
那么到这里,患者应该怎么办?为什么会出现肺源性心脏病?没有哮喘病史和COPD的病史,肺动脉高压为什么这么高呢?所以接下来我们为了排除患者肺栓塞的问题,做了一个血气分析。
血气分析如下图所示:

患者40多岁,氧分压这么低肯定是不正常的。所以我们要回过头来结合之前的病史和CT等检查充分分析患者肺动脉高压的原因。因为患者没有左心相关的先天性心脏病,也没有特别的肺部疾病的病史,那么我们需要再做一个增强检查确认是否是血栓栓塞的原因引起的肺动脉高压。
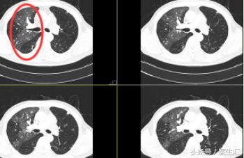
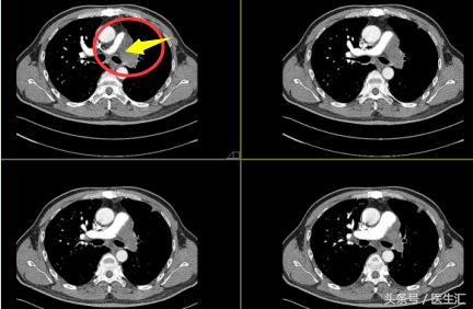
故患者 CTPA 如下图所示:

根据CTPA的图像显示,患者主动脉尚可,肺动脉只有右边的分支还行,另一边完全被栓塞了。那么和一般的肺栓塞也不完全一样,故医院先以“肺动脉栓塞?”收入院。
住院期间患者反复高热,CT提示左肺空洞。

抗生素治疗效果不佳,高热持续,再因为患者肺动脉分支堵牢严重(猜想是血栓或者是肿瘤的原因),为明确具体的原因,故最后决定采取手术治疗,与家属充分沟通后,让胸外科行剖胸探查。

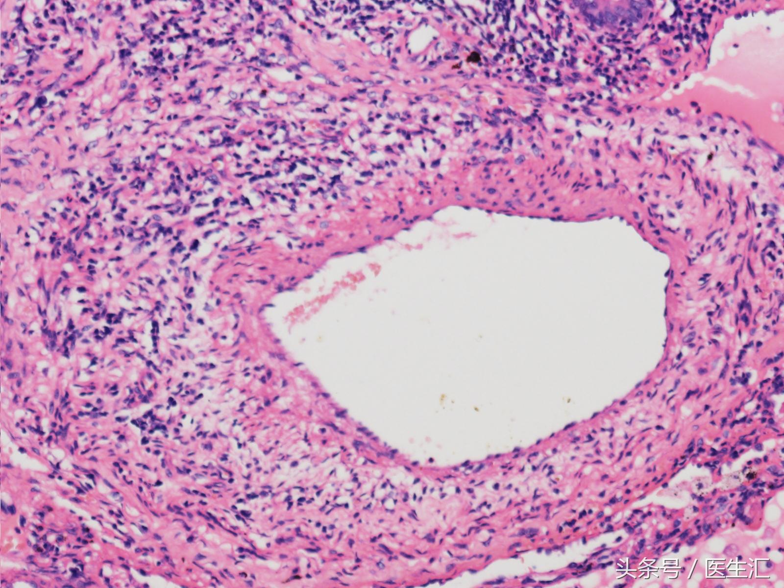
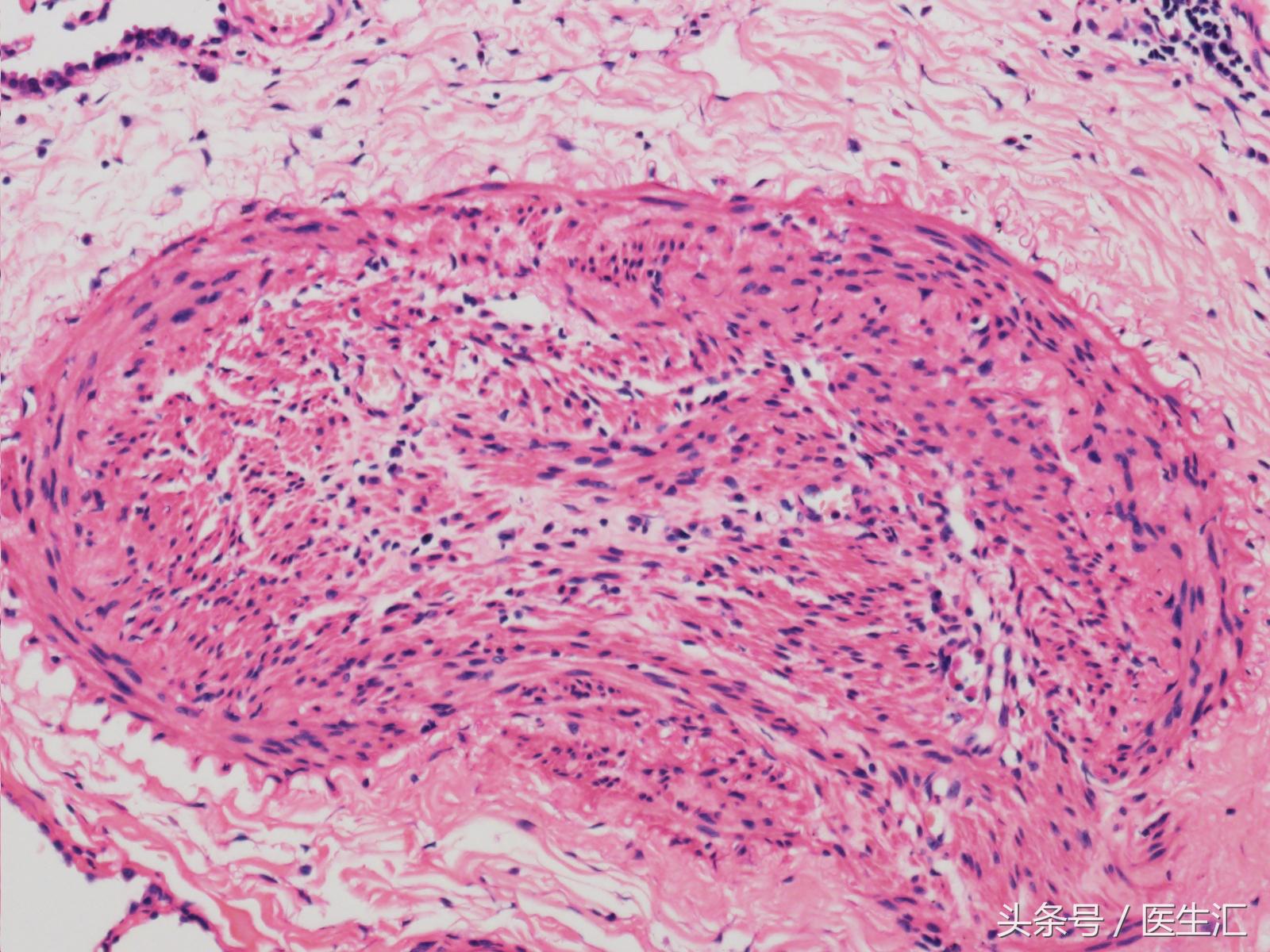
其后送病理检查,示:

但因为内科治疗期间用过泰能、伏立康唑、斯沃,患者的体温仍不能控制,并不像一般的肺脓肿,让人产生疑惑,故将病理送到协和医院进行会诊。
结果如下:



根据结果可以看出,因为患者血管壁整体增厚,血管管腔狭窄,所以出现在肺里必定会引起肺动脉高压的表现,因为血管窄,所以肺血管的阻力是大大增加的。
最终治疗:
手术+激素+免疫*制剂抑**
更多病例可到医学V直播(医生汇)观看。