
01
脑卒中是“人类健康的头号杀手”是不是就没治了呢?
脑卒中是人类健康的头号“杀手”,俗称“中风”,是具有高患病率、高发病率、高致残率、高死亡率的疾病,一旦患病后往往需要花费大量人力、物力、财力,不但带来沉重的负担,而且预后差。
但卒中完全可以预防,如筛查高危人群,鼓励健康的生活方式,用一级预防和二级预防的有效药物。
02
脑卒中,从本质上说是供血血管的疾病,为什么?
脑卒中首先是脑的供血动脉的疾病,其中80-85%是缺血性的(颅内或颈部的动脉阻塞不通,造成脑部缺血即缺血性脑卒中),15-20%是出血性的(血管破裂出血即出血性脑卒中)。其中,缺血性脑卒中的预防和个体化治疗方案的选择都要求了解每个高危人群的血管的具体情况。
03
早发现,早诊断,早治疗,可以预防卒中,那么简便易行的血管动脉粥样硬化的筛查手段是什么?
国内外已经将超声技术广泛用于血管病变的诊断和随访。鉴于血管超声技术的简单易行、实时成像、无创伤性、可反复使用、价格实惠的特点,已经成为动脉粥样硬化首选的筛查手段,而且在血管诊断方面优势明显。
04
针对头、颈血管,头、颈血管超声能发现什么问题?
目前用于脑卒中高危人群筛查的血管超声包括颅内血管超声(TCD)及颈部血管超声。卒中本质上是供血动脉的疾病,一方面是头、颈部动脉重度狭窄或闭塞导致颅内动脉的血液供应降低导致脑缺血,另一方面颈动脉粥样硬化性斑块脱落,上行堵到颅内动脉导致脑血液供应降低的脑缺血。
所以,通过血管检查,需要明确脑、颈部动脉狭窄或闭塞性病变的性质和严重程度;了解颈部动脉的动脉粥样硬化斑块的大小、是否稳定,大动脉狭窄后是否存在栓子等。
05
已经检查了头CT/MR,为什么还要查头、颈部血管?
头、颈部血管狭窄的患者初期可能没有症状,或者仅仅表现为头痛、头晕及短暂性脑缺血发作症状,因尚未引起脑实质细胞的坏死,故头CT或MR平扫检查是正常的,但头/颈部血管超声能够早期发现动脉是否存在狭窄并且评估侧支循环判断严重程度,实现早发现早预防的针对病因的治疗,可以避免脑梗死的发生。
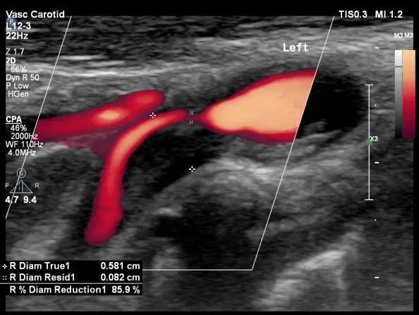
实例分析

患者,男,52岁,发作性左侧肢体活动不灵就诊。头MRI提示未见异常病灶。TCD提示右侧大脑中动脉重度狭窄。通过血管超声的筛查,找到了临床事件的“始作俑者”-责任血管。

“健康”体检者。颈动脉超声提示颈动脉重度狭窄。TCD提示颅内侧支循环代偿充分。无创的头颈血管超声的一体化评估是筛查脑血管病高危人群的首选,是“前哨兵”。
06
哪些人群是脑卒中的高危人群,需要筛查头、颈血管超声?
1 高血压病史。
2 血脂异常或未知。
3 糖尿病。
4 心脏病(房颤和心脏瓣膜病)。
5 吸烟。
6 很少进行体育锻炼(体育锻炼的标准是每周锻炼≥3次,每次≥30分钟,持续时间超过一年,从事中重度体力劳动者,视为经常有体育锻炼)。
7 肥胖(BMI≥26kg/m2)。
8 有脑卒中家族史。以上具有≥3项危险因素,或既往有脑卒中,或短暂性脑缺血发患者,为脑卒中高危人群,需要进行高危人群的筛查干预。
07
到哪里筛查血管超声?
深圳市光明区圳园路628号,中山大学附属第七医院门诊3楼神经医学中心
预约电话:0755-81206389
附:中山大学附属第七医院神经医学中心神经血管超声简介。
中山大学附属第七医院神经医学中心神经血管超声拥有高端彩色多普勒超声诊断仪1台,经颅多普勒血流分析仪3台,多功能血管超声仪2台(包括便携式床边/术中超声仪1台),脑血流调节诊断系统1套(包括经颅多普勒血流分析仪1台、无创实时血压监测仪1台、直立倾斜诊断系统1套)、神经监护仪1台。配备了智能型超声图文管理系统,分别实现了依托头颈超声诊断模版,规范了临床诊断流程;依托大数据库,满足了科研需求;依托预约等分诊功能,简化了患者就诊流程。
目前开展的诊疗技术包括:①针对动脉粥样硬化相关人群及脑卒中慢病防控人群及心脑同治人群,开展了头、颈部血管狭窄或闭塞性病变及侧枝循环的超声筛查工作;②血流动力学的术中监测、TCD发泡试验、微栓子监测、卧立位脑血流、直立倾斜试验、脑血流自动调节、脑血管储备功能、视神经鞘高颅压评估、脑实质超声、肌肉超声、头颈静脉超声等,为神经系统疾病的临床个体化诊治提供了精准评估。
其*特中**色诊疗项目包括:①围手术期血管超声评估,尤其是术中监测,可以预警术中低灌注、术后高灌注,及术中血压界值,降低手术并发症。手术包括颈动脉内膜剥脱术、颈动脉介入术、及头颈血管狭窄或闭塞者的外科手术如腹腔镜手术或开腹手术等。②直立倾斜试验,兼顾脑血流、心排量、体位、实时无创的血压等参数,目前国内鲜少开展,用于晕厥及自主神经功能失调的病因分型和危险分型,为精准诊疗提供依据。③脑血流自动调节,国内率先实现实时在线分析脑血流调节能力,利用脑灌注调控存在多器官疾病者的血压,为复杂患者的血压的精准调控提供依据。④头颈静脉超声联合视神经鞘超声评估,通过视神经鞘评估是否存在高颅压,及通过头颈静脉回流评估静脉狭窄或发育不良及静脉源性高颅压,为进一步的介入治疗提供依据。
“世界卒中日”线上讲座
专题1
“缺血性脑卒中的急诊救治”
重播时间:11月1日
专题2
“缺血性脑血管病的介入治疗”
重播时间:11月2日
专题3
“出血性脑血管病的介入治疗”
重播时间:11月3日
专题4
“脑卒中高危人群筛查”
重播时间:11月4日
专题5
“急性脑卒中的重症救治”
重播时间:11月5日
专题6
“脑卒中患者的康复治疗”
重播时间:11月6日
专题7
“脑卒中的全程管理和科*运学**动的意义”
重播时间:11月7日

扫描上方二维码进入5G云课堂,专家教授干货满满,视频授课~免费的医学小课堂。
通讯员:韩珂
编辑:黄宗远
初审:周列民、侯清华
审核:刘畅
审核发布:苗伟
