俗话说“嘴巴美不美 全靠牙齿给”,走在大街上漂亮的女孩往往会吸引大部分人的眼球,然而当你在赞赏女孩皮肤白的时候,她却露出一口黄牙,甚至还有黑色的牙菌斑,这样的形象肯定会让人对她的印象分大打折扣。而现代人的生活往往都是注重外在的“光鲜亮丽”,却忽视了牙齿的健康。

牙龈不好 手再巧的医生也修复不了那口牙
牙齿为我们行使语音、美观、咀嚼、保健等重要功能,有了它,我们不仅可以品尝各种美食,还能自信和他人交流。而由于大部分人对牙齿健康的忽视,造成了很多牙齿的疾病,中华口腔医学会做过一次全国口腔健康流行病学调查,结果显示,我国30岁以上成年人中大概90%患有不同程度的牙周病,哪怕是儿童,牙周情况也并不乐观。

儿童牙周情况也并不乐观
而随着经济的发展,越来越多的人愿意为了健康而投资,牙齿的修复、美白等现象已经屡见不鲜,这也是很多的用户平时不注重牙齿健康,后期弥补的办法。修复科医生将牙龈、牙齿构成的修复艺术亚学科称为“红白美学”。但是这份美学并非简简单单的修复艺术,还有一位默默无闻的功臣,那就是牙龈。

牙齿修复牙龈至关重要
当一个对自己上前牙不满意的患者来到修复科医生面前选择固定修复时,医生除了为患者选择合适的牙体预备方式和修复体外形,还会停下来去看一样更重要的东西--牙龈。牙龈的生理健康不仅为前牙提供坚实的支持,其外形、美观状态和与牙齿的关系都会直接影响前牙的美学修复。如果你的牙龈不好,手再巧的医生也修复不了那口牙。
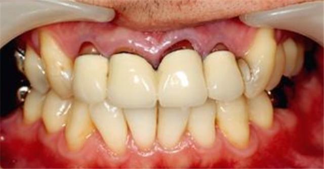
口腔内食物残渣残留后分解的细菌不仅危害牙齿,还会直接导致牙龈炎症的发生,出现红肿、疼痛甚至更严重的感染,发展成牙周炎,造成牙槽骨退缩。最终,龈乳头无法维持完美的三角形,牙龈充血、水肿甚至持续炎症状态,牙龈固有形态被破坏,无法保持稳定的高度和形态。那么,为了使修复后的牙齿更健康更美观,平时我们应该如何保护牙齿呢?其实不管是修复前的刷牙习惯,还是修复后的牙齿呵护,用户日常口腔卫生的维护才是关键。

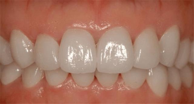
瓷贴面修复后健康的牙龈

烤瓷冠修复后维护不佳、出于炎症状态的牙龈
口腔的维护,最为有效的方法还是日常的刷牙,每天两次每次两分钟的科学刷牙方式有助于牙齿的保护。而手动牙刷因为力度和方式的原因,只停留在牙齿表面的清洁,存在很多的盲区,从而引发牙齿疾病。配合巴氏刷牙法虽然可以有效的解决牙齿清洁问题,但是由于难度较大,一般人不容易掌握和正确执行。所以,对于大部分的患者来说,电动牙刷使用方便,具备独特的优势,可以帮助其形成良好的口腔护理习惯,弥补手动刷牙清洁不到位的缺点。

手动牙刷清洁牙齿不到位
但是对于电动牙刷的选择也是有技巧的,并不是所有的电动牙刷都可以呵护口腔健康。根据原理电动牙刷可以分为两类:旋转式电动牙刷、声波震动牙刷,而清洁的效果也有明显的不同。旋转式电动牙刷主要是依靠传动轴带动刷头作圆周转动,利用摩擦力清洁牙齿,通俗点说就是“摩擦出奇迹”。这种牙刷在前期使用的时候确实有不错的清洁效果,但是长时间的使用就有些力不从心了,不仅加重了牙龈红肿,出血等症状,牙龈敏感期根本无法使用。

旋转式电动牙刷只能清洁牙齿表面
而声波震动牙刷以高频宽幅的刷毛震动清洁牙齿表面,同时驱动口腔内水流,产生流动洁力,深入齿间,能更好地清洁日常口腔清洁盲区,包括牙间隙、龈缘下、磨牙区等部位,最终实现旋转式电动牙刷难以达到的清洁效果,告别大力摩擦而引起的牙龈问题。不管是牙龈敏感还是牙龈状况良好无忧时,都可以正常使用。目前最受消费者青睐的还数飞利浦Sonicare声波震动牙刷。
飞利浦Sonicare声波震动技术在每分钟31000次刷毛震动频次的基础上,加以5.5毫米的刷毛上下摆幅,在口腔和牙齿间创造出了超强的流动洁力。不仅可以有效清洁牙齿上的牙菌斑、牙垢和牙结石,还可以通过振动口腔内的水、牙膏和唾液等液体产生大量微小气泡,在牙齿周围气泡瞬间爆裂产生高压冲击水流,从而有效地清除包括牙间隙在内的清洁盲区,并且能覆盖牙龈线、磨牙区以及牙齿表面微小的不平滑的地方,实现口腔清洁零死角的目标。

飞利浦声波震动技术
在进行牙齿修复的过程中,由于修复体可能刺激牙齿的边缘,所以要对牙龈及牙体有额外的保护。飞利浦Sonicare声波震动牙刷内置压力传感器,可以感应刷牙力度,温柔呵护牙釉质,可避免过大力度对牙龈造成的额外伤害,非常适合牙齿敏感的用户

飞利浦声波震动牙刷对牙龈有保护作用
另外,刷头和普通牙刷、旋转式电动牙刷也有所不同,飞利浦声波震动牙刷刷毛采用先进的无锚定点植毛技术,三维立体剪裁,刷毛剪裁呈现出钻石菱形,温和不伤害牙龈,而且刷毛粗细、长度各异,贴合牙弓曲线和牙齿表面,从而做到温和舒适的清洁牙齿,深度清洁的同时,降低了牙齿的磨损率,为牙齿美学修复患者的牙龈健康提供多重保障。

刷毛采用先进的无锚定点植毛技术
飞利浦声波震动牙刷为了提升刷牙的效率和体验,也应用了更多的新设计,智能时间设定,确保达到口腔医生推荐的2分钟刷牙时间。30秒时段计时器,把口腔分为4个区域确保刷牙时间均匀,连细小的缝隙都不会落下。
写在最后:
在牙齿修复这一领域,牙龈一直都扮演着十分关键的角色,其外形的美观状态会直接影响着牙齿的美学修复。想要一口健康、菲薄、粉红编贝状的牙龈,在于日常口腔卫生的维护。飞利浦声波震动牙刷,让你告别大力摩擦式的刷牙历程,给你更舒适、更健康的洁齿方案。牙龈不好,手再巧的医生也修复不了那口牙,所以想要健康、美观牙齿的用户,飞利浦声波震动牙刷就是你不错的选择。