宝宝误食硬币


叮铃铃~,急促的门铃声打破了夜间病房的平静。深夜23时,一位焦急的年轻妈妈抱着一个三岁多的小宝宝奔入了市中心医院耳鼻喉科病房,“我的孩子吞硬币了,医生在哪啊?”
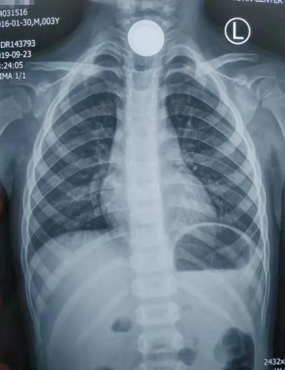
耳鼻喉科值班的主治医师王占江闻讯赶紧把孩子带进检查室,一问才知道,原来宝宝拿硬币玩,不小心将一枚一块钱硬币咽下去卡嗓子里了。孩子难受指着嗓子不停哭泣,痛苦的都说不清话了,家长心急如焚,经过详细的专科检查,王医生赶紧让孩子去拍了片子,出乎意料的是——宝宝食道里竟然卡顿了两枚硬币,一枚一元硬币一枚一角硬币!
通过急诊绿色通道,孩子顺利办好了入院手续,王医生给孩子完善急诊手术相关检查,联系手术室及麻醉科人员,禁食时间足够后安排急诊全麻手术。在手术医师、麻醉医师、手术护士紧张有序的配合下,终于将紧紧卡顿在孩子食道的一大一小两枚硬币顺利取出,孩子终于转危为安了,妈妈悬着的心也终于放下了。

专家提醒
权博源主任医师:儿童误咽硬币、笔帽等食管异物常见,严重时危及生命。要纠正儿童将硬币或玩具等放入口中玩耍的不良习惯,误咽异物后,切忌强行吞咽食物将其咽下,以免加重食管损伤,增加手术难度,应立即到有条件的医院就诊。
(文中部分图片源自网络,如有侵权请联系删除)
The End
The End
西安市中心医院

医院院训:尚德 精术 和谐 创新
门诊时间:
平 诊:8:00——12:00 14:00——17:30
假日门诊:8:00——12:00 14:00——16:00
急 诊:24小时(全天候服务)
就医指南:门诊大厅——咨询台——分诊挂号——就诊——检查——取药(或治疗)——住院或离院
联系方式:
预约诊疗方式:
手机APP、微信预约、网上预约、电话(95169)预约、诊间预约、自助机预约
西安市中心医院网址:
http://www.xaszxyy.com
预约网址:
www.zxyyyy.com www.guahao.com
邮编:710001
医院地址:
西安市西五路161号(南院)
西安市后宰门185号(北院)
乘车方式:地铁1号线、2号线北大街站D口出站
公交车:4路、6路、9路、10路、11路、12路、26路、33路、36路、37路、102路、103路、182路、205路、208路、229路、235路、236路、301路、600路、601路、606路、608路、609路、616路、618路北大街站下车




