李先生今年40岁,身体还算比较健康,每次体检时各项指标都很正常,但李先生的妻子刘女士总是说他迟早会得病,因为 李先生长期吸烟,已经吸了有五六年了 ,一包烟能吸上一周,相比很多人来说,李先生已经算烟“瘾”比较小的了。刘女士这么说也是想要李先生把烟戒掉,只是李先生不听而已。
李先生 一直有些干咳 ,症状不严重,长时间不吸烟就不会咳嗽,李先生也知道是吸烟引起的,所以他一直没在意。
不知道从什么开始, 咳嗽加重了,每天早上起床时都会剧烈咳嗽,睡觉时也会阵咳,咳嗽严重时还会出现白色泡沫样痰液 ,李先生还以为是感冒了,咳嗽才这么严重,吃了几天感冒药也不见好, 反而更严重了,咳出的痰液中都带血了 。李先生不太放心,打算去医院看看。

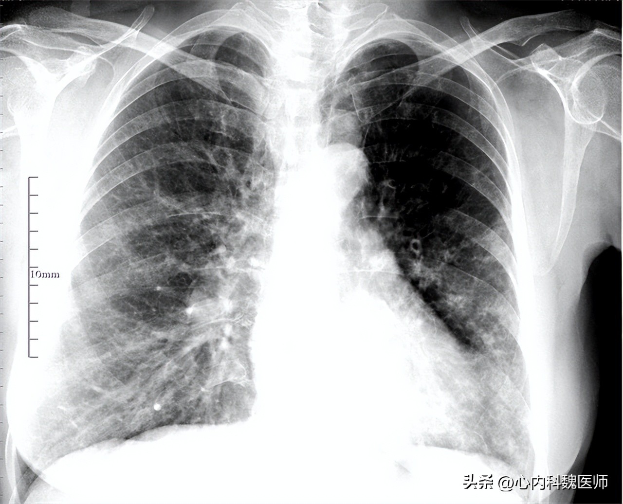
李先生挂了呼吸科,并与医生说明了这段时间表现的症状,医生猜测可能有肺部感染等问题,于是开了相关检查。血液检查结果显示白细胞计数、中性粒细胞计数都有所升高, X线检查提示肺纹理增粗、紊乱,并表现出条索状阴影,痰液检查可培养出肺炎链球菌, 根据李先生表现的症状及检查结果分析, 李先生是患上了慢性支气管炎 。
所幸李先生的病情不是很严重,不需要住院治疗,医生给李先生开了几种药,其中包括有盐酸氨溴索缓释片,医生叮嘱他要按时服用,如果症状未缓解及时就诊。

李先生回去后照着医生说的按时吃药,一周后,症状有了明显好转,不过还是有些轻微的咳嗽咳痰,特别是咳痰又咳不出来,李先生难受得很。他的妻子看这样不是办法,于是在药店工作人员的指导下 购买了右美沙芬止咳药 ,想着能止咳。
李先生服用了几天,确实 咳嗽止住了,但李先生总觉得胸闷,特别是干活后喘不过气来。

这加起来吃了半个月的药也没见好,李先生决定还是再去医院找医生看看,李先生带了之前吃的这几种药,并与医生说明了现在的情况。
医生看到右美沙芬就明白怎么回事了,“ 右美沙芬和盐酸氨溴索最好不要一起服用啊 ,盐酸氨溴索是化痰的,服用过后能帮助将痰排出体外,而右美沙芬是强力止咳的,无法咳嗽,大量痰液排不出来,当然会引发身体不适了。”
李先生和妻子也没想到这两种药不能一起服用,这其中还有这么大的学问。在医生的指导下,李先生回去后没再服用右美沙芬,果然胸闷、气喘的症状就消失了。之后李先生服用一段时间的盐酸氨溴索,咳嗽咳痰等症状也消失了。

盐酸氨溴索可治疗多种疾病,不过患者在服用期间需要注意3点,才能真正发挥它的作用。今天这篇文章我们就一起来了解盐酸氨溴索的相关知识,它能治疗哪些疾病,服用期间需要注意哪3点。
一:盐酸氨溴索有哪些作用功效?
盐酸氨溴索是一种黏液溶解剂 ,常用的使用类型有片剂、口服液、注射液等,比如盐酸氨溴索颗粒、胶囊、糖浆、葡萄糖注射液、氯化钠注射液等,不管使用哪一种类型,它带来的疗效都是一样的。
- 盐酸氨溴索具有化痰祛痰的功效 ,服用此药物后一方面能促进气道气管内的上皮纤毛加速运动,促进堆积在里面的痰液能顺利排出,从而达到祛痰的作用。
另一方面服用此药物能稀释痰液,通过调节支气管腺体分泌,可以降低分泌物的浓稠度,从而达到化痰的作用,痰液稀释,也更容易排出来。

- 盐酸氨溴索具有镇咳的功效, 在化痰祛痰的作用下,它还能起到止咳的作用,不过对于那种咳嗽严重的患者,盐酸氨溴索还无法解决。此药通过抑制机体咳嗽中枢的兴奋性,并刺激气道上皮组织,使其平滑肌放松,从而达到镇咳的目的。
- 盐酸氨溴索还有舒张支气管的功效, 也是因为它能促进支气管平滑肌松弛,可以减轻平滑肌出现痉挛的情况,它还能抑制体内磷酸二酯酶的活性,进一步使平滑肌松弛,支气管舒张,因此它对于治疗喘息、气短气促等症状也有一定的效果。

盐酸氨溴索的功效作用之多,在临床上常用于治疗这些疾病。
二:盐酸氨溴索可以治疗哪些疾病?
盐酸氨溴索在临床上常用来 治疗肺炎 ,肺炎是指肺部、肺泡、气管等部位出现的感染性炎症,能引起感染的,多为细菌、病毒、真菌等病原体。
引发肺炎的基本病因是由于这些病原体侵犯到肺部,免疫功能下降,无法*制抵**这些致病菌,致病菌在肺部肆意生长,并感染到其他部位,从而导致肺泡腔内出现渗出物,并表现出一些不适症状。
致病菌的感染方式有很多种,比如呼 吸道传播, 携带致病菌的患者与其他人在同一空间内进行交流,致病菌可通过空气吸入传染给其他人。致病菌还可通过 接触传播 ,细菌、病毒等病原体附在某一物品上,如果机体接触到这些病原体,也有可能被感染。还有 血液传播 ,比如与他人共用注射器,伤口被带有病原体的血液感染等。

日常生活中还有一些诱发因素,比如 年龄 ,年龄越大,肺部功能越差,患肺炎的几率也会越高。 长期吸烟 ,会导致肺部免疫功能下降,病原体更容易损害肺部,而且吸烟可直接引发肺部疾病,比如慢性支气管炎、慢性阻塞性肺气肿等。
患上肺炎, 早期典型症状为咳嗽,多为刺激性干咳,长时间未采取治疗措施,干咳就会变为咳痰,常表现为浓痰或血痰 ,这种情况下还会出现气短气促等呼吸困难症状。因此肺炎患者痰液过多或有脓痰时,就可以服用盐酸氨溴索,可以起到很好地缓解作用。

盐酸氨溴索在临床上还可以用来 治疗慢性支气管炎 ,李先生就是一个很好的例子,慢性支气管炎是指支气管、气管黏膜等周围部位由于各种因素引起的慢性炎症。
引发慢性支气管炎原因有感染 ,常见的病毒感染有流感病毒、腺病毒等。常见的细菌感染有肺炎链球菌、金黄色葡萄球菌等。与肺炎一样,吸烟也是导致慢性支气管炎的主要诱发因素,香烟中的有毒物质不管是对气管、支气管还是肺部等,造成的伤害都非常大。

长期居住在空气污染严重的地方 也容易诱发慢性支气管炎,空气中的二氧化硫、二氧化氮等有害物质会损伤气道黏膜,长期以往,就会引发炎症。还有长期接触粉尘、生物燃料等化学物质,也会诱发慢性支气管炎。

患上此病, 典型症状为咳嗽咳痰,痰液多为白色泡沫样或浆液样 ,患者在治疗期间就可以服用盐酸氨溴索,来化痰祛痰,缓解症状。盐酸氨溴索除了治疗这两种疾病外,还可以治疗支气管哮喘、支气管扩张、肺结核等疾病,不过 此药并不能完全治愈疾病,它只能缓解这些疾病带来的咳嗽咳痰等症状,有效化痰祛痰。
要想有效化痰祛痰,我们在服用期间要注意以下3点。
三:科学服用盐酸氨溴索,要注意3点

1. 注意遵医嘱服药
上面也说到盐酸氨溴索药物有多种不同的使用方式,就连口服用药也有多种类型,这也代表服用时间、服用剂量等也会有所不同,因此 患者要引起注意,严格遵医嘱服药 ,不能因为自己之前用过此药就按之前的服用剂量来,有可能医生开的药物类型不一样。
而且 患者在服用期间不得擅自更改剂量 ,很有可能降低药物的药效,无法做到有效祛痰化痰,服用过多,对身体也会有所损害。

2. 注意不良反应
盐酸氨溴索虽对于治疗肺炎、慢性支气管炎等疾病有很好的效果,但它有副作用, 常见的不良反应有胃肠道症状 ,恶心呕吐、消化不良、胃内有烧灼感等。还有些患者会出现过敏反应,表现为皮肤瘙痒、皮疹。
所以 当出现这些症状时,及时停药并就诊,在医生的指导下用药 。还有服用此药,如果长时间未缓解咳嗽咳痰等症状,也应该及时咨询医生。

3. 注意联合用药
上面也说到 盐酸氨溴索不能与中枢性镇咳药联合使用 ,比如右美沙芬、复方可待因、福尔可定等,以 免痰液堵塞在气道无法咳出,反而造成胸闷等不适症状 。盐酸氨溴索可以与抗生素联合服用,比如阿莫西林、头孢呋辛等,可以增加其抗炎的作用。
借着李先生的例子,我们了解了盐酸氨溴索这种药物, 此药在临床上常用于治疗肺炎、慢性支气管等疾病 ,对于患者出现的咳嗽咳痰等症状有很好的治疗功效,不过 患者在服用期间需注意以上3点,做到科学服药、正确服药, 才能发挥其最大疗效。
参考文献:
【1】张环宇.跳过误区,合理使用盐酸氨溴索[J].中国处方药,2013,v.11(02):17-18.