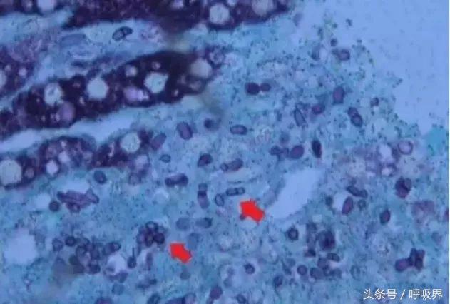
当检验人员看到这样的椭圆形小体,是放过还是刨根问底,慧眼识君?

图1:外周血涂片椭圆形小体
病史简要回顾
患儿,7个月。2017年12月15日行活体肝移植术。2018年1月3日出现发热,家属未重视和治疗,1月12日仍有发热,外院门诊诊断为「肺炎」,治疗5天,未见好转,1月17日来我院门诊复查,发现肝功能受损入院。
患儿诊断为肺炎,肝移植术后的1个月患者的感染多是细菌感染,因此移植科的医生经验抗细菌治疗。1月12日患儿再次发热,肝功能异常,怀疑排斥反应存在,立即进行肝穿,病理染色发现多发性肉芽肿,确实存在排斥反应,进行激素的冲击治疗。然而患儿的体温仍旧高烧不退,好不容易移植成功有了生的希望,又在抗感染的关口上命悬一线,此时治疗陷入了迷茫期。
患儿移植才1个月,肺炎多是细菌感染,原有的细菌抗感染方案没有疗效?抗菌谱没有覆盖?还是急性排斥反应,激素冲击是否起到了作用?难道还有其他我们不知道的因素?
1月22日,常规的血常规检查,细心的临检老师发现这个宝宝的血里出现了如图1椭圆形的小体,经验提示他这不是一个很好的东西,更像是某种孢子?又是肝移植的患儿,免疫力低下……此时如果是你,你会怎么做呢?是索性放过,还是刨根问底?
大家考虑有两个方向,你的选择是?

组织胞浆菌?
马尔尼菲蓝状菌?
解答疑惑
且看临检的老师和微生物的老师是怎么合作的:立马请了微生物经验丰富的张老师进行会诊,随后将患儿血常规的血离心弃上清血细胞打入儿童BD血培养瓶进行培养,因患儿为重症肺炎,及时和临床沟通进行痰涂片,痰培养。患儿因感染严重转入外院ICU进行治疗。分子的方法比培养的方法更为灵敏一些,以防漏检,同时做了痰液的16S+18S混合引物PCR扩增及测序,多管齐下,争取抓出凶手。
1月26日痰液16S+18S混合引物PCR扩增及测序:马尔尼菲蓝状菌(penicillium marneffei),鉴定率99%,无其他条件致病细菌检出。
1月29日血培养:报阳时间36小时,转沙堡弱培养基典型马尔尼菲蓝状菌生长(下方图2)。
结果出来了,马尔尼菲蓝状菌。真是梦里寻他千百度,那菌却在外周血涂片中。然而令我们遗憾的是,1月22日患者出现反复干咳和低热,肺CT:双肺重度感染,右侧胸腔积液。
当日,患儿病情加重,转入外院picu,1月24日,患儿抢救无效死亡。由于发病迅速,留给医生的治疗窗口短,还没来得及睁眼好好看看这美好世界的宝宝,就因为感染,生命戛然而止,留下的是医生的惋惜无奈和父母的痛苦。
真凶现行
马尔尼菲蓝状菌(TM)是条件致病菌,在25度培养为青霉相,显微镜下曾帚状枝双轮生相,37度培养为酵母相,生长缓慢,可见关节孢子。其孢子易与荚膜组织胞浆菌孢子相混淆,但前者孢子常有横隔,从不出芽。

图2:沙堡弱培养基生长五天马尔尼菲蓝状菌25度菌丝相和37度酵母相菌落形态及高倍镜下棉酚蓝染色形态
TM多侵犯免疫功能低下的患者。主要是侵犯单核吞噬细胞系统,其中以肺及肝最为严重。临床表现为寒战,发热,咳嗽,腹泻,贫血,皮肤多发性脓肿,贫血,淋巴结肿大,肝脾肿大等。病变常全身播散,死亡率高。1985年中国首次报道此类病例,桑葚状细胞团、腊肠状细胞和横壁3大特点是PM的在组织中生长形态学特征。
该菌若不及时治疗,死亡率高达91.3%。两性霉素B可用于严重马尔尼菲感染的患者,常用剂量为1mg/(kg.d),疗程为两周。治疗显效后,改用伊曲康唑200-400mg/d或酮康唑400mg/d,继续使用6周。中度感染开始就用伊曲康唑或酮康唑。
病例总结
1、患者的病史,各项检查及临床表现,符合播散性马尔菲尼青霉菌病,然而比较遗憾的在发热之初未及时血培养,临床医生抽血培养的意识应有待提高;
2、患儿年龄较小,肝移植后免疫抑制等免疫低下因素是其发病基础;激素冲击是马尔菲尼青霉菌播散的诱因。
3、肝脏穿刺中虽然找到了肉芽肿组织,但常规HE染色和PAS染色都不易查见青霉菌,直到1月26日痰液DNA测序结果后,加做了六胺银染色,才在肉芽肿组织里找到了大量的腊肠样细胞,以及桑椹样小体(图3)。
4、外周血涂片染色镜检是早期发现马尔菲尼青霉菌病的手段之一,镜检工作者需对其予以重视,为临床诊断和治疗提供线索。

图3:2018.1.26 肝穿刺活检六胺银染色可见腊肠样细胞和桑椹样小体
本文转载自订阅号「京港感染论坛」
(ID:PIDMIC)
投稿:上海交通大学医学院附属仁济医院 - 顾怡、秦娟秀、李敏;审稿:王占伟